Морфологические особенности различных вариантов течения склеротического лихена вульвы
- Авторы: Колесникова Е.В.1, Жаров А.В.1,2, Тодоров С.С.3, Пенжоян Г.А.1, Мингалева Н.В.1
-
Учреждения:
- Кубанский государственный медицинский университет
- Краевая клиническая больница № 2
- Ростовский государственный медицинский университет
- Выпуск: Том 27, № 1 (2023): ГИНЕКОЛОГИЯ
- Страницы: 17-38
- Раздел: ГИНЕКОЛОГИЯ
- URL: https://journals.rudn.ru/medicine/article/view/34086
- DOI: https://doi.org/10.22363/2313-0245-2023-27-1-17-38
- EDN: https://elibrary.ru/SCGIRK
- ID: 34086
Цитировать
Полный текст
Аннотация
Актуальность. Большинство представленных в литературе научных работ указывают на морфологические особенности стадий развития склеротического лихена вульвы, либо в сравнении с другими поражениями кожи вульвы. В то же время данных об особенностях морфологического исследования биоптатов вульвы, в зависимости от клинических вариантов течения склеротического лихена вульвы, на сегодняшний день недостаточно. Цель исследования - определить наличие или отсутствие отличительных морфологических особенностей склеротического лихена вульвы, в зависимости от клинических вариантов его течения. Материалы и методы. В исследование были включены 292 больных склеротическим лихеном вульвы (20-70 лет). На основе разработанной нами шкалы оценки объективных и субъективных клинических признаков склеротического лихена вульвы были выделены 3 клинических группы: 101 пациентка с атрофическим вариантом течения, 154 - со склерозирующим вариантом и 37 пациенток со склероатрофическим вариантом течения склеротического лихена вульвы. Кроме клинико-лабораторных, инструментальных и иммунологических исследований всем пациенткам выполнялась инцизионная биопсия вульвы с последующим морфологическим исследованием биоптатов. Результаты и обсуждение. Описаны и представлены в виде изображений особенности результатов морфологического исследования различных клинических вариантов течения склеротического лихена вульвы. Выявлены характерные морфологические признаки для каждой клинической группы, а также общие признаки, свойственные всем вариантам течения данной патологии. В ходе исследования установлено, что морфологическое исследование тканей вульвы информативно лишь для подтверждения диагноза «Склеротический лихен вульвы», определения стадии заболевания, а также для исключения злокачественного процесса, в то время как для четкой дифференцировки вариантов клинического течения склеротического лихена вульвы обычного морфологического исследования недостаточно, что требует проведения дальнейших исследований с применением иммуногистохимических и молекулярно-генетических методов. Выводы. Выявленные отличия в морфологических показателях различных вариантов течения склеротического лихена вульвы являются недостаточно специфичными, что исключает возможность точной морфологической верификации вариантов течения склеротического лихена вульвы и подтверждает целесообразность использования предложенной нами клинической классификации вариантов течения склеротического лихена вульвы на основе объективных и субъективных клинических признаков.
Полный текст
Введение
Склеротический лихен вульвы (СЛВ) является хроническим воспалительным заболеванием и одной из наиболее частых патологий вульвы. Информационным центром по генетическим и редким заболеваниям (GARD) Национального института здравоохранения (NIH) и Национальной организацией редких заболеваний (NORD) СЛВ был признан редким заболеванием [1, 2]. В то же время Европейский дерматологический форум признает СЛВ как распространенное заболевание [3]. Необходимо учитывать недооценку заболеваемости СЛВ в связи с занижением сведений из-за нераспознания врачом патологии или постановки ошибочного диагноза, страха и стеснения пациенток при обращении к врачу, ведения пациенток со СЛВ различными специалистами, бессимптомных случаев заболевания и других факторов [4]. Первое описание патологии было представлено еще в 1887 г. [5], однако дискуссии о его патогенезе, клинических и гистологических диагностических критериях и подходов к терапии до настоящего времени остаются спорными [6, 7]. Долгое время в терминологии СЛВ преобладали довольно расплывчатые термины, такие как лейкоплакия, крауроз, дистрофия вульвы, что вносило определенную путаницу в его диагностику среди клиницистов. В настоящее время в классификации ISSVD СЛВ включен в дерматозы вульвы неопухолевого и неинфекционного характера [8]. В то же время классификации самого СЛВ не существует, не смотря на большое разнообразие клинических симптомов заболевания. Отсутствие клинической классификации СЛВ, как и неоднозначность его номенклатурной принадлежности, обусловливает недостаточную диагностику заболевания и зачастую неадекватные результаты стандартного лечения. В то время как клинические проявления СЛВ имеют довольно разнообразный характер, остается вопрос о месте и значимости морфологического исследования биоптата вульвы в диагностике СЛВ. Согласно современным данным морфологическое исследование тканей вульвы при СЛВ проводится только в определенных ситуациях: при наличии атипичных проявлений (например, стойкий участок утолщенной шелушащейся кожи, стойкая эрозия или эритема, бородавчатые или папулезные/узелковые поражения), при неясности клинической картины СЛВ (с целью дифференциальной диагностики), отсутствии ответа на адекватную терапию, а также при выявлении гиперпигментированных участков кожи [9]. При этом гистологическое исследование позволяет подтвердить диагноз СЛВ, типичными гистологическими признаками которого являются гипер/паракератоз, атрофия эпидермиса, дегенерация базальных клеток, гиалинизация кожи и лентообразный лимфоцитарный инфильтрат [10], а главный отличительный признак — папиллярный дермальный склероз [11]. Некоторые авторы указывают также на морфологические особенности стадий развития СЛВ: ранняя или предсклеротическая стадия (интерфейсный дерматит лихеноидного или вакуолярного типа), стадия прогрессирующего склероза верхних слоев кожи, подкрепленного полосой воспалительного клеточного инфильтрата, а также поздняя стадия (скудные клеточные инфильтраты с потерей придатков, сосудистых структур и гомогенизацией дермы) [12]. Таким образом, большинство представленных в литературе научных работ указывают на морфологические особенности стадий развития СЛВ либо в сравнении с другими поражениями кожи вульвы [13, 14]. В то же время данных об особенностях морфологического исследования биоптатов вульвы, в зависимости от клинических вариантов течения СЛВ, на сегодняшний день недостаточно.
Цель исследования — определить наличие или отсутствие отличительных морфологических особенностей СЛВ, в зависимости от клинических вариантов его течения.
Материалы и методы
В исследование были включены 292 больных СЛВ в возрасте 20–70 лет. Исследование проводили в соответствии с признанными стандартами Хельсинской декларации (Declaration Helsinki, 2013). Все пациенты, включенные в исследование, давали письменное информированное согласие на участие в исследовании, в том числе на публикацию описания клинических случаев и фотоматериалов. Протокол исследования был одобрен локальным этическим комитетом Кубанского государственного медицинского университета, г. Краснодар (протокол № 103 от 12 октября 2021 г.).
На основании разработанной нами шкалы оценки объективных и субъективных клинических признаков склеротического лихена вульвы (табл.) все пациентки были распределены на 3 клинические группы: 1 — группа пациенток с атрофическим вариантом течения СЛВ (n=101), 2 — со склерозирующим вариантом течения СЛВ (n = 154), 3 — пациентки со склероатрофическим вариантом течения СЛВ (n = 37).
Шкала оценки объективных и субъективных клинических признаков склеротического лихена вульвы
Признаки | Варианты течения склеротического лихена (СЛ) | ||||||
Атрофический | Отметка (+ или V) | Склерозирующий | Отметка (+ или V) | Склеро-атрофический | Отметка (+ или V) | Комментарии | |
Объективные | |||||||
Пигментация | отсутствует | ярко выраженная | умеренно выраженная | *сочетается с атрофией НПО | |||
слабо выраженная | ярко выраженная* | ||||||
Атрофия наружных половых органов (НПО) | промежуточная стадия | отсутствует | промежуточная стадия* | *обязательно сочетается с депигментацией | |||
окончательная стадия | начальная стадия | окончательная стадия* | |||||
Склероз и утолщение кожи | отсутствуют | ярко выраженные | умеренно выраженные* | *сочетаются с атрофией НПО | |||
ярко выраженные* | |||||||
Стеноз преддверия влагалища* | отсутствует | отсутствует | отсутствует | *Признак зависит от длительности заболевания ** развивается быстро, в течение 2-5 лет ***развивается долго, только после 10 лет от начала заболевания | |||
1 степень** | 1 степень** | 1 степень** | |||||
2 степень** | 2 степень** | 2 степень** | |||||
3 степень** | 3 степень** | 3 степень** | |||||
Состояние кожи | Сухая, гладкая, блестящая по типу «пергаментной» | Сморщена и резко утолщена по типу «шагреневой» | Сочетание участков кожи по типу «пергаментной» и «шагреневой» | ||||
Субъективные | |||||||
Зуд вульвы | отсутствует | легкий* | тяжелый** | *при длительности процесса менее 3 лет | |||
легкий | умеренный | ||||||
тяжелый | |||||||
Диспареуния/вульводиния | поверхностная | глубокая | смешанная | ||||
Примечание: выбирается вариант клинического течения СЛВ с наибольшим количеством отметок (+ или V).
Scale for assessing objective and subjective clinical signs of lichen sclerosus of the vulva
signs | Variants of the course of lichen sclerosus (SL) | ||||||
atrophic | mark (+ or V) | Sclerosing | mark (+ or V) | Sclero-atrophic | mark (+ or V) | Comments | |
objective | |||||||
Pigmentation | missing | pronounced | moderately pronounced | * associated with atrophy of the vulva | |||
mild | pronounced* | ||||||
Atrophy of the external genitalia | intermediate stage | missing | intermediate stage* | * necessarily combined with depigmentation | |||
final stage | initial stage | final stage* | |||||
Sclerosis and thickening of the skin | missing | pronounced | moderately pronounced * | * associated with atrophy of the vulva | |||
pronounced* | |||||||
Stenosis of the vestibule* | missing | missing | missing | * The symptom depends on the duration of the disease ** develops rapidly, within 2-5 years *** develops for a long time, only after 10 years from the onset of the disease | |||
1 degree ** | 1 degree ** | 1 degree ** | |||||
2 degree ** | 2 degree ** | 2 degree ** | |||||
3 degree ** | 3 degree ** | 3 degree ** | |||||
Skin condition | Dry, smooth, shiny like «parchment» | Wrinkled and sharply thickened like «shagreen» | The combination of skin areas according to the type of «parchment» and «shagreen» | ||||
subjective | |||||||
Itching of the vulva | missing | light * | heavy** | * with a process duration of less than 3 years | |||
light | moderate | ||||||
heavy | |||||||
Dyspareunia/Vulvodynia | superficial | deep | mixed | ||||
Note: the variant of the clinical course of SLV with the largest number of marks (+ or V) is selected.
Кроме стандартных клинико-лабораторных и инструментальных исследований (опрос, сбор анамнеза, осмотр общеклинический, осмотр вульвы и вульвоскопия, гинекологическое исследование, микроскопическое исследование отделяемого мочеполовых органов женщин для исключения воспалительного процесса, ультразвуковое исследование органов малого таза), пациенткам из всех трех клинических групп, а также 30 условно- здоровым женщинам из группы контроля проводилось иммунологическое исследование в виде определения концентрации цитокинов IL-20, IL-23, IL-10, TNFα, IFNγ. Результаты иммунологического исследования подтвердили не только иммунопатогенез СЛВ, но и целесообразность разделения СЛВ на предложенные нами клинические варианты его течения ввиду достоверных различий уровней большинства исследуемых цитокинов у пациенток из разных клинических групп [15]. Кроме того, исследуемым из всех трех групп выполнялась инцизионная биопсия вульвы под местной анестезией с использованием 2 % раствора лидокаина. После вырезки биоптата его немедленно погружали в фиксатор (10 % раствор формалина, что соответствует 4 % формальдегиду), в 10–15 раз превышающий объем биоптата. Морфологическая оценка тканей вульвы проводилась с использованием окраски гематоксилином и эозином, окраски по Хочкиссу (ШИК-реакция), окраски по Маллори, а также окраски пикрофуксином по Ван-Г изону. При проведении исследования использовался микротом ротационный Leica Германия с толщиной срезов 2 мкм, а также микроскоп Leica Германия 1000 DM с фотокамерой и разрешением 8,5 мегапикселей (увеличение микроскопа 100, 200, 400).
Результаты и обсуждение
Задачами проводимого исследования были морфологическое подтверждение диагноза «склеротический лихен вульвы», а также выявление наличия или отсутствия характерных особенностей в состоянии тканей вульвы, таких как выраженность атрофии, гиалиноза, склероза тканей, воспалительных процессов, поражении сосудов и других признаков у пациенток с различными вариантами течения СЛВ. Кроме того, необходимо было исключить злокачественный процесс вульвы.
В результате проведенного морфологического исследования у всех пациенток из трех клинических групп был подтвержден диагноз «Склеротический лихен вульвы» и исключены признаки злокачественных изменений.
Далее представлено описание морфологического исследования биоптатов вульвы у пациенток с различными клиническими вариантами течения СЛ вульвы.
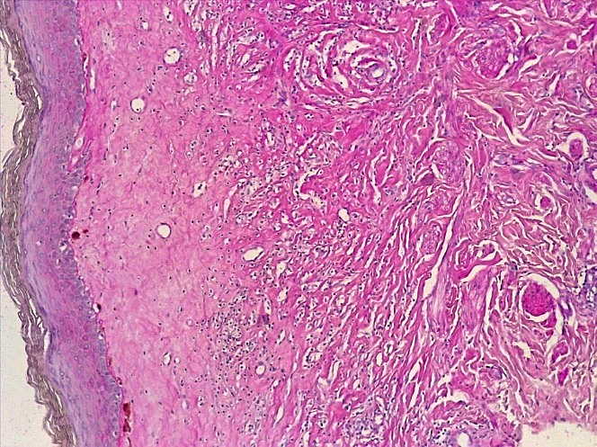
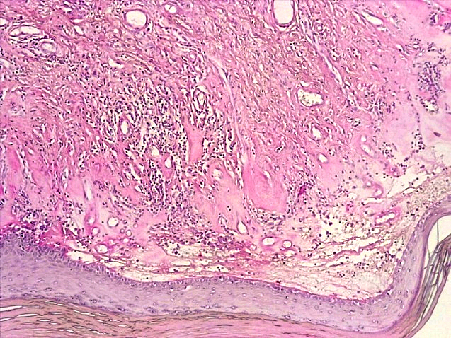
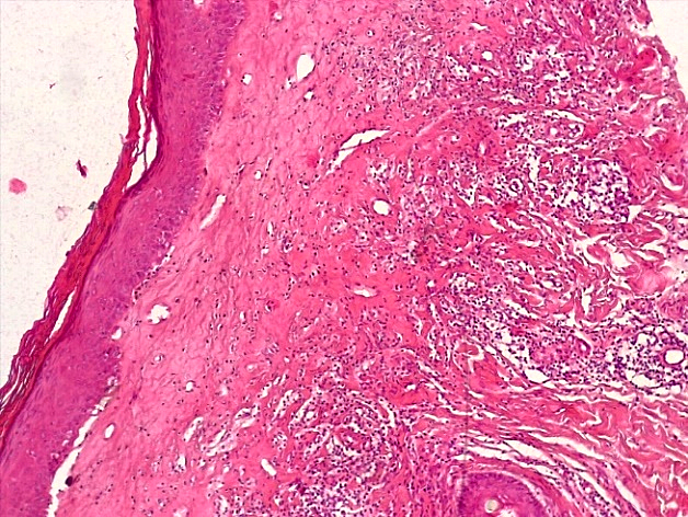
При морфологическом исследовании биоптатов вульвы пациенток с атрофическим вариантом течения СЛВ наибольшие изменения наблюдались со стороны эпидермиса и поверхностных слоев дермы. В эпидермисе отмечалась резкая атрофия клеток многослойного плоского эпителия (МПЭ) с участками повышенного ороговения (гиперкератоза и паракератоза), в некоторых случаях были выявлены участки фибриноидного некроза с окружающей лейкоцитарной клеточной инфильтрацией (рис. 1), указывающие на наличие очагов острого язвенного повреждения эпидермиса на фоне дистрофических и регрессивных изменений многослойного плоского эпителия. При этом количество клеточных слоев эпидермиса было уменьшено в среднем до 3–4 с избыточным образованием роговых чешуек в поверхностных слоях, а количество базальных клеток эпидермиса в 1 мкм не превышало 10, что свидетельствовало об атрофии резервного слоя эпидермиса (рис. 2).
Что касается изменений со стороны дермы при атрофическом варианте СЛВ, то как в поверхностных, так и в глубоких слоях дермы отмечалось развитие плотной волокнистой соединительной ткани с лимфо-гистиоцитарной клеточной инфильтрацией, неравномерным ангиоматозом и кровенаполнением сосудов микроциркуляторного русла. При специальных окрасках на гликоген (ШИК-реакция по Хочкиссу) сосочковый слой в большинстве случаев был резко сглажен, замещен фиброзной соединительной тканью с признаками отека и гиалиноза за счет инфильтрации белковыми эозинофильными ШИК + массами (рис. 3), а в глубоких слоях кожи имелись признаки хронического воспаления разной степени выраженности за счет лимфо-плазмоцитарной и гистиоцитарной инфильтрации с отложением белковых скоплений гиалина.
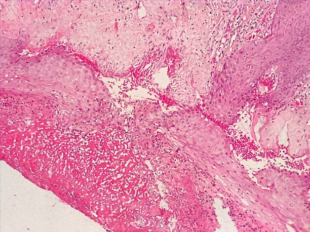
Рис. 1. Атрофический вариант течения СЛ вульвы. Участок фибриноидного некроза с лейкоцитарной инфильтрацией многослойного плоского эпителия с развитием паракератоза, дискератоза. Развитие плотной волокнистой соединительной ткани в поверхностных слоях дермы с умеренной лимфо-гистиоцитарной инфильтрацией (окраска гематоксилином-эозином, х100)
Fig. 1. Atrophic variant of the course of the vulva SL. A site of fibrinoid necrosis with leukocyte infiltration of multilayer squamous epithelium with the development of parakeratosis, dyskeratosis Development of dense fibrous connective tissue in the superficial layers of the dermis with moderate
Рис. 2. Атрофический вариант течения СЛ вульвы. Неравномерная атрофия и хроническое воспаление кожи с развитием фиброзной ткани (окраска гематоксилином-эозином, х100)
Fig. 2. Atrophic variant of the course of the vulva SL. Uneven atrophy and chronic inflammation of the skin with the development of fibrous tissue ((hematoxylin-eosin staining, x 100)
Важно отметить, что при атрофическом варианте СЛВ морфологическая картина имела некоторые различия, в зависимости от длительности патологического процесса, что согласуется с данными научной литературы [12].
Так, в случае длительного патологического процесса на вульве отмечалось снижение количества гранул гликогена в цитоплазме клеток многослойного плоского эпителия как поверхностных, так и глубоких его слоев (рис. 4). Эти изменения локализовались в участках паракератоза и акантотических тяжах, что вероятнее всего, было обусловлено, тяжелыми дистрофическими процессами в клетках эпителия.
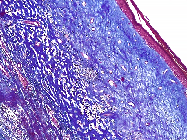
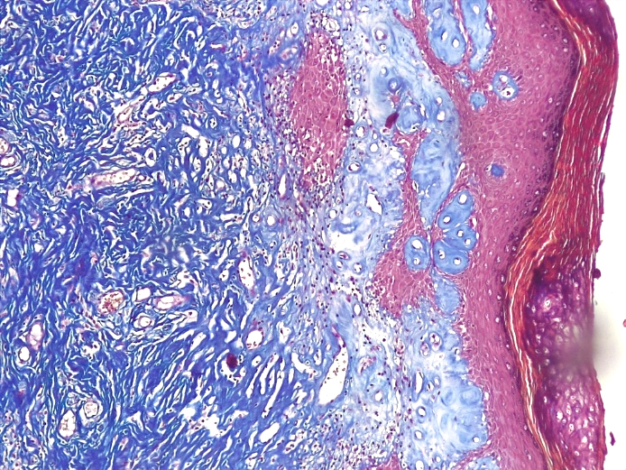
При специальном окрашивании методом пикро-Маллори обращало на себя внимание наличие сети толстых коллагеновых волокон в дерме с ее неравномерным ангиоматозом. Причем количество сосудов микроциркуляторного русла было резко снижено в поверхностных слоях дермы, в то же время в участках хронического воспаления глубоких слоев дермы отмечался выраженный ангиоматоз за счет формирования новообразованных тонкостенных сосудов капиллярного типа. В случае длительного течения СЛВ в поверхностных слоях дермы отмечалась фиброзная ткань с участками гиалиноза, умеренно выраженная лимфо-гистиоцитарная инфильтрация стромы, а также большое количество толстых коллагеновых волокон, окружающих сосуды различного калибра — мелкие артерии и артериолы (рис. 5). Последние были муфтообразно сдавлены, а просветы их были щелевидные.
Рис. 3. Атрофический вариант течения СЛ вульвы. Резкая атрофия эпидермиса с развитием выраженного фиброза поверхностных и глубоких слоев дермы. Умеренновыраженная лимфо-плазмоцитарная и гистиоцитарная инфильтрация стромы, выраженный ангиоматоз дермы, инфильтрация белковыми эозинофильными массами (ШИК-реакция по Хочкиссу, х100)
Fig. 3. Atrophic variant of the course of the vulva SL. Sharp atrophy of the epidermis with the development of pronounced fibrosis of the superficial and deep layers of the dermis. Moderate lymphoplasmocytic and histiocytic infiltration of the stroma, pronounced angiomatosis of the dermis, infiltration by protein eosinophilic masses (CHIC-Hotchkiss reaction, x 100)
Рис. 4. Атрофический вариант течения СЛ вульвы в участках паракератоза отмечается снижение количества гликогена в клетках многослойного плоского эпителия, умеренно-выраженная лимфо-гистиоцитарная инфильтрация дермы с ангиоматозом (ШИК-реакция по Хочкиссу, х100).
Fig. 4. Atrophic variant of the course of the vulva SL. In the areas of parakeratosis, there is a decrease in the amount of glycogen in the cells of the multilayer squamous epithelium, moderate lympho-histiocytic infiltration of the dermis with angiomatosis (CHIC-Hotchkiss reaction, x 100)
Рис. 5. Атрофический вариант течения СЛ вульвы. Паракератоз, гиперкератоз многослойного плоского эпителия. Выраженный фиброз поверхностных и глубоких слоев дермы со сдавлением просветов кровеносных сосудов, умеренновыраженной лимфо-гистиоцитарной инфильтарцией стромы (окраска по пикро-Маллори, х100)
Fig. 5. Atrophic variant of the course of the vulva SL. Parakeratosis, hyperkeratosis of the multilayer squamous epithelium. Pronounced fibrosis of the superficial and deep layers of the dermis with compression of the lumen of blood vessels, moderate lymph-histiocytic infiltration of the stroma (picro-Mallory coloration, x 100)
Отдельные мелкие сосуды и в поверхностных слоях дермы были окружены и сдавлены плотной соединительной тканью, содержащей толстые коллагеновые волокна (рис. 6), причем количество эластических волокон в дерме было резко снижено вплоть до развития гипоэластоза, что указывало на значительную морфологическую перестройку ткани с преобладанием процессов атрофии эпидермиса и дермы с признаками хронического воспаления глубоких слоев дермы (рис. 7).
Таким образом, наиболее характерными морфологическими особенностями атрофического варианта течения СЛВ являются резкая атрофия клеток многослойного плоского эпителия резервного слоя эпидермиса, резкое снижение количества сосудов микроциркуляторного русла в поверхностных слоях дермы с участками хронического воспаления глубоких слоев дермы, а также выраженный ангиоматоз за счет формирования новообразованных тонкостенных сосудов капиллярного типа; резкое снижение количества эластических волокон в дерме вплоть до развития гипоэластоза (преобладание процессов атрофии эпидермиса и дермы с признаками хронического воспаления глубоких слоев дермы).
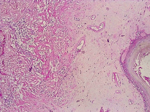
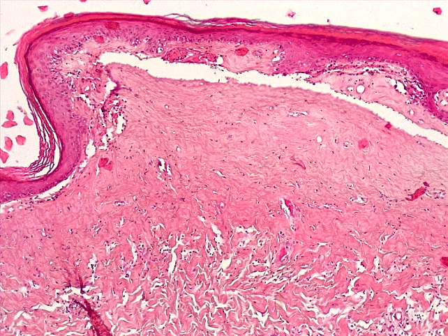
Морфологическое исследование кожи вульвы при склерозирующем варианте течения СЛВ также выявило наличие неравномерной, в большинстве случаев резко выраженной атрофии всех ее слоев, в том числе эпидермиса. Количество клеточных слоев эпидермиса было в среднем снижено от 2–3 до 3–4, а на его поверхности имелись немногочисленные эозинофильные роговые массы. В некоторых случаях в атрофичном многослойном плоском эпителии с признаками ороговения выявлялись участки паракератоза и акантотические тяжи, а базальные клетки формировали отдельные клеточные скопления в очагах акантоза (до 6–7 в 1 мкм) (рис. 8).
Рис. 6. Атрофический вариант течения СЛ вульвы. Резкая атрофия эпидермиса. Развитие плотной фиброзной ткани в поверхностных и глубоких слоях дермы с умеренно-выраженной лимфо-гистиоцитарной инфильтрацией и ангиоматозом дермы (окраска по пикро-Маллори, х100)
Fig. 6. Atrophic variant of the course of the vulva SL. Sharp atrophy of the epidermis. Development of dense fibrous tissue in the superficial and deep layers of the dermis with moderate lymphohistiocytic infiltration and angiomatosis of the dermis (picro-Mallory coloration, x 100)
Рис. 7. Атрофический вариант течения СЛ вульвы Гипоэластоз. На фоне умеренно-выраженного хронического воспаления дермы отмечается резкий дефицит эластических волокон (окраска орсеином, х100)
Fig. 7. Atrophic variant of the course of the vulva SL. Hypoelastosis. Against the background of moderate chronic inflammation of the dermis, there is a sharp shortage of elastic fibers (orsein staining, x 100)
С одной стороны, данные изменения можно расценивать как результат дистрофических процессов клеток эпидермиса, с другой — как признак базальноклеточной гиперактивности в участках акантоза, что является резервной зоной роста эпидермиса. Поверхностные и глубокие слои дермы содержали плотную волокнистую соединительную ткань с большим количеством грубых коллагеновых волокон, переплетающихся в разных направлениях (рис. 9).
Что касается состояния микроциркуляторного русла при склерозирующем варианте течения СЛВ, то количество кровеносных сосудов было резко редуцировано как в поверхностных, так и в глубоких отделах дермы. В стенках кровеносных сосудов отмечалось развитие склероза и гиалиноза, что указывало на длительное нарушение сосудистой проницаемости в этой зоне (рис. 10 и 11).
Кроме того, наряду с развитием фиброзной соединительной ткани, в глубоких отделах дермы отмечалась разной степени выраженности (от умеренно выраженной до резко выраженной) лимфо-гистиоцитарная клеточная инфильтрация, что указывало на наличие очагового хронического воспаления (рис. 10). Хроническое воспаление было представлено клеточными популяциями лимфоцитов и макрофагов с окружающим развитием плотной соединительной ткани.
Как и при атрофическом варианте течения СЛВ, морфологические характеристики тканей вульвы при склерозирующем варианте течения зависели от длительности (или стадии развития) патологического процесса. Так, при длительном течении заболевания и клинически более выраженном склерозе вульвы в поверхностных и глубоких слоях дермы отмечалось новообразование тонкостенных сосудов микроциркуляторного типа, окруженных белковыми ШИК+ массами и воспалительным клеточным инфильтратом из лимфоцитов и гистиоцитов.
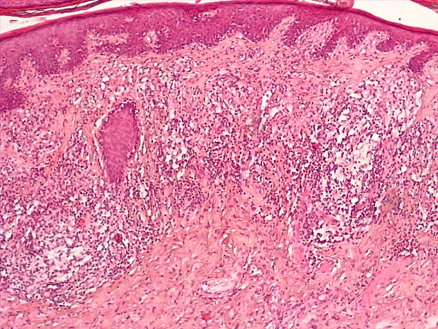
Рис. 8. Склерозирующий вариант СЛ вульвы. На фоне неравномерной атрофии и акантоза многослойного плоского эпителия в поверхностных и глубоких слоях дермы резко выраженная лимфо-гистиоцитарная клеточная инфильтрация, развитие плотной соединительной ткани в дерме (окраска гематоксилин-эозином, х100)
Fig. 8. The sclerosing variant of the vulva SL. Against the background of uneven atrophy and acanthosis of the multilayer squamous epithelium in the superficial and deep layers of the dermis, pronounced lymph-histiocytic cell infiltration, the development of dense connective tissue in the dermis((hematoxylin-eosin staining, x 100)
Рис. 9. Склерозирующий вариант СЛ вульвы. Резкая атрофия клеток эпидермиса, неравномерный гиперкератоз, развитие плотной соединительной ткани в дерме (окраска гематоксилин-эозином.х100).
Fig. 9. The sclerosing variant of the vulva SL. Sharp atrophy of epidermal cells, uneven hyperkeratosis, development of dense connective tissue in the dermis (hematoxylin-eosin staining.x 100)
Рис.10. Склерозирующий вариант СЛ вульвы. Под атрофичным многослойным плоским эпителием находится фиброзная ткань с единичными редуцированными тонкостенными сосудами в поверхностных слоях дермы с отложением масс гиалина, умеренно выраженной лимфо-гистиоцитарной инфильтрацией глубоких слоев дермы (ШИК-реакция по Хочкиссу, х100)
Fig.10. The sclerosing variant of the vulva SL. Under the atrophic multilayered squamous epithelium there is fibrous tissue with single reduced thin-walled vessels in the surface layers of the dermis with deposition of hyaline masses, moderate lymph-histiocytic infiltration of the deep layers of the dermis (CHIC-Hotchkiss reaction, x 100)
Рис.11. Склерозирующий вариант СЛ вульвы. Резкая атрофия клеток эпидермиса с участками гиперкератоза с выраженным фиброзом поверхностных и глубоких слоев дермы со склерозом и гиалинозом немногочисленных сосудов микроциркуляторного русла (окраско по пикро-Маллори, х200)
Fig.11. The sclerosing variant of the vulva SL. Sharp atrophy of epidermal cells with areas of hyperkeratosis with pronounced fibrosis of the superficial and deep layers of the dermis with sclerosis and hyalinosis of a few vessels of the microcirculatory bed (picro-Mallory coloring, x 200)
При этом кровеносные сосуды были «задавлены» толстыми коллагеновыми волокнами, а просветы их нередко были деформированы (рис. 12 и 13).
Стенки сосудов содержали ШИК+ вещества, указывающие на наличие плазматического пропитывания, что свидетельствовало о нарушении сосудистой проницаемости в зоне хронического воспаления и фиброза.
Таким образом, наиболее характерными морфологическими особенностями склерозирующего варианта течения СЛВ являются атрофия разной степени выраженности за счет клеток эпидермиса с повышенным его ороговением, снижение функционального резерва эпидермиса (но менее выраженное, чем при атрофическом варианте), а также фиброз и отложение масс гиалина в поверхностных слоях дермы с резко выраженным сдавлением мелких кровеносных сосудов за счет фиброзной соединительной ткани с гиалинозом стромы.
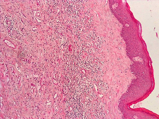
При проведении морфологического исследования тканей вульвы пациенток со склероатрофическим вариантом течения СЛВ также отмечалась резкая атрофия кожи за счет клеток эпидермиса и дермы, уменьшение клеточных слоев эпидермиса от 2–3 до 4–5 с участками повышенного ороговения (гипрекератоз). Количество базального слоя было снижено в разных случаях от 2–3 до 5–6 клеток в 1 мкм, что указывало на снижение функционального резерва эпидермиса. В случае длительного течения заболевания клетки базального слоя имели признаки дистрофии. В поверхностных слоях дермы отмечался фиброз с отложением масс гиалина, а также редукция кровеносных сосудов мелкого калибра, окруженных клеточным воспалительным инфильтратом из лимфоцитов и макрофагов (рис. 14–17).
Рис.12. Склерозирующий вариант СЛ вульвы. Под атрофичным многослойным плоским эпителием с признаками ороговения и гиперкератоза отмечается умеренно выраженное хроническое воспаление поверхностных и глубоких слоев дермы с ангиоматозом, плазматическим пропитыванием стенок сосудов микроциркуляторного русла (ШИК-реакция по Хочкиссу, х100)
Fig.12 The sclerosing variant of the vulva SL. Under the atrophic multilayered squamous epithelium with signs of keratinization and hyperkeratosis, there is a moderately pronounced chronic inflammation of the superficial and deep layers of the dermis with angiomatosis, plasma impregnation of the walls of the vessels of the microcirculatory bed (CHIC-Hotchkiss reaction, x 100)
Рис.13. Склерозирующий вариант СЛ вульвы. Под атрофичным многослойным плоским эпителием с признаками ороговения отмечается выраженный фиброз дермы с умеренной лимфо-гистиоцитарной инфильтрацией и неравномерным ангиоматозом (окраска по Пикро-Маллори, х100)
Fig.13. The sclerosing variant of the vulva SL. Under the atrophic multilayered squamous epithelium with signs of keratinization, there is pronounced fibrosis of the dermis with moderate lymph-histiocytic infiltration and uneven angiomatosis (Picro-Mallory coloring, x 100)
Рис.14. Склероатрофический вариант СЛ. Резкая атрофия клеток эпидермиса с участками повышенного ороговения с развитием фиброзной соединительной ткани с лимфо-гистиоцитарной инфильтрацией дермы (окраска гематоксилином-эозином, х100).
Fig.14. Scleroatrophic variant of SL. Sharp atrophy of epidermal cells with areas of increased keratinization with the development of fibrous connective tissue with lympho-histiocytic infiltration of the dermis (hematoxylin-eosin staining, x 100)
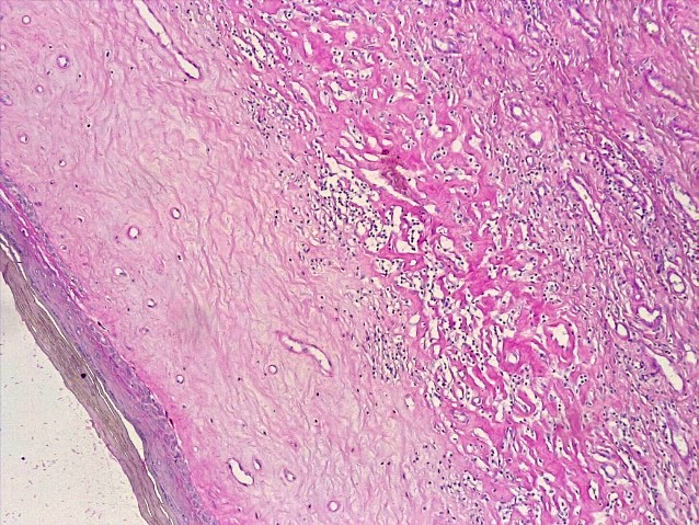
Рис.15. Склероатрофический вариант СЛ. Резкая атрофия и дистрофия клеток эпидермиса, выраженный фиброз и гиалиноз поверхностных слоев дермы с редукцией сосудов микроциркуляторного русла, развитием фиброзной ткани в глубоких слоях дермы (ШИК-реакция по Хочкиссу, х100)
Fig.15. Scleroatrophic variant of SL. Sharp atrophy and dystrophy of epidermal cells, pronounced fibrosis and hyalinosis of the superficial layers of the dermis with reduction of microcirculatory vessels, development of fibrous tissue in the deep layers of the dermis (CHIC-Hotchkiss reaction, x 100)
Рис.16. Склероатрофический вариант течения СЛ. Неравномерная атрофия и гиперкератоз многослойного плоского эпителия, умеренновыраженное хроническое воспаление дермы с развитием фиброзной ткани (окраска гематоксилином-эозином, х100)
Fig.16. Scleroatrophic variant of the course of SL. Uneven atrophy and hyperkeratosis of the multilayer squamous epithelium, moderate chronic inflammation of the dermis with the development of fibrous tissue ((hematoxylin-eosin staining, x 100)
Рис. 17. Склероатрофический вариант течения СЛ. Резкая атрофия клеток эпидермиса, слабовыраженная лимфо-гистиоцитарная инфильтрация поверхностных слоев дермы, фиброзная ткань в дерме (окраска гематоксилином-эозином, х100)
Fig.17. Scleroatrophic variant of the course of SL. Sharp atrophy of epidermal cells, weakly expressed lymphohistiocytic infiltration of the surface layers of the dermis, fibrous tissue in the dermis (hematoxylin-eosin staining, x 100)
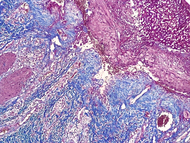
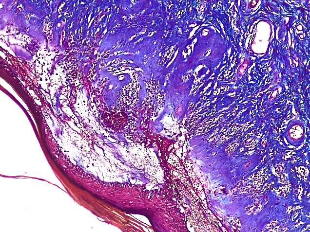
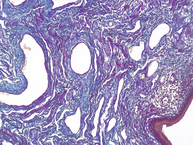
При наличии у пациенток клинически участков экскориаций, при морфологическом исследовании в поверхностных слоях дермы кровеносные сосуды были неравномерно эктазированы, а в их стенках отмечалось развитие рыхлой и плотной соединительной ткани (рис. 18). В глубоких слоях дермы отмечалось развитие плотной соединительной (фиброзной) ткани, содержащей немногочисленные кровеносные сосуды с признаками склероза стенок и перекалибровкой их просветов (рис. 19). В некоторых случаях в поверхностных и глубоких слоях дермы в большом количестве присутствовали мелкие кровеносные сосуды, что указывало на компенсаторный ангиоматоз — неоангиогенез.
В случае длительного течения склероатрофического варианта течения СЛВ отмечалось резко выраженное сдавление мелких кровеносных сосудов в поверхностных слоях дермы за счет фиброзной соединительной ткани с гиалинозом стромы (рис. 20).
Таким образом, для склероатрофического варианта течения СЛВ также были характерны как резкая атрофия дермы и эпидермиса, так и выраженный гиперкератоз клеток эпидермиса. При этом в случаях длительного течения заболевания клетки базального слоя имели признаки дистрофии. В глубоких слоях дермы отмечалось развитие плотной соединительной (фиброзной) ткани, содержащей немногочисленные кровеносные сосуды с признаками склероза стенок и перекалибровкой их просветов.
В то же время у всех пациенток с различными вариантами течения СЛ были выявлены общие морфологические признаки: уменьшение количества клеточных слоев эпидермиса и кровеносных сосудов, снижение функционального резерва эпидермиса; наличие плотной волокнистой соединительной ткани в поверхностных и глубоких слоях дермы с большим количеством грубых коллагеновых волокон, переплетающихся в разных направлениях; развитие склероза и гиалиноза в стенках кровеносных сосудов; наличие ШИК+ веществ в стенках сосудов, указывающих на наличие плазматического пропитывания, свидетельствующего о нарушении сосудистой проницаемости в зоне хронического воспаления и фиброза. Важно отметить, что признаки хронического воспаления глубоких слоев дермы были характерны для всех вариантов течения СЛВ.
Рис.18. Склероатрофический вариант течения СЛ. Резкая эктазия просветов кровеносных сосудов дермы с развитием фиброзной ткани в дерме с лимфо-гистиоцитарной инфильтрацией стромы (окраска по Пикро-Маллори, х100)
Fig.18. Scleroatrophic variant of the course of SL. Sharp ectasia of the lumen of the blood vessels of the dermis with the development of fibrous tissue in the dermis with lymphohistiocytic infiltration of the stroma (Picro-Mallory coloration, x 100)
Рис.19. Склероатрофический вариант течения СЛ. Резкая атрофия клеток эпидермиса, фиброз и гиалиноз поверхностных слоев дермы, склероз и перекалибровка сосудов мелкого калибра глубоких слоев дермы (окраска по Пикро-Маллори, х100)
Fig.19. Scleroatrophic variant of the course of SL. Sharp atrophy of epidermal cells, fibrosis and hyalinosis of the superficial layers of the dermis, sclerosis and recalibration of small-caliber vessels of the deep layers of the dermis (Picro-Mallory staining, x 100)
Рис. 20. Склероатрофический вариант течения СЛ. Под атрофичным многослойным плоским эпителием с признаками гиперкератоза отмечается фиброзная отечная ткань со сдавлением кровеносных сосудов и умеренновыраженной лимфо-гистиоцитарной инфильтрацией дермы (окраска по Пикро-Маллори, х100)
Fig. 20. Scleroatrophic variant of the course of SL. Under the atrophic multilayer squamous epithelium with signs of hyperkeratosis, fibrous edematous tissue with compression of blood vessels and moderate lymph-histiocytic infiltration of the dermis (Picro-Mallory coloration, x 100)
Нельзя не отметить, что морфологическое исследование биоптатов вульвы в данном исследовании проводилось с помощью классических методик с использованием стандартных методов окрашивания. С учетом полученных результатов исследования можно сделать вывод, что морфологическое исследование тканей вульвы информативно лишь для подтверждения диагноза «Склеротический лихен вульвы», определения стадии заболевания, а также для исключения злокачественного процесса. Данный вывод согласуется с результатами многих научных работ других авторов [10–12, 16, 17]. В то же время для четкой дифференцировки вариантов клинического течения СЛВ обычного морфологического исследования недостаточно, что требует проведения дальнейших исследований с применением иммуногистохимических и молекулярно- генетических методов.
Выводы
Не смотря на некоторые выявленные отличия в морфологических показателях различных вариантов течения СЛВ данные признаки являются недостаточно специфичными, во многом перекликаются друг с другом, а выраженность и распространенность их значительно колеблется даже в пределах одной клинической группы, в первую очередь в зависимости от длительности заболевания. Последнее исключает возможность точной морфологической верификации вариантов течения СЛ вульвы, что, в свою очередь, подтверждает целесообразность использования клинической классификации вариантов течения СЛВ на основе объективных и субъективных клинических признаков, без обязательного проведения морфологического исследования.
Об авторах
Е. В. Колесникова
Кубанский государственный медицинский университет
Автор, ответственный за переписку.
Email: jokagyno@rambler.ru
ORCID iD: 0000-0002-6537-2572
Краснодар, Российская Федерация
А. В. Жаров
Кубанский государственный медицинский университет; Краевая клиническая больница № 2
Email: jokagyno@rambler.ru
ORCID iD: 0000-0002-5460-5959
Краснодар, Российская Федерация
С. С. Тодоров
Ростовский государственный медицинский университет
Email: jokagyno@rambler.ru
ORCID iD: 0000-0001-8476-5606
Ростов-на- Дону, Российская Федерация
Г. А. Пенжоян
Кубанский государственный медицинский университет
Email: jokagyno@rambler.ru
ORCID iD: 0000-0002-8600-0532
Краснодар, Российская Федерация
Н. В. Мингалева
Кубанский государственный медицинский университет
Email: jokagyno@rambler.ru
ORCID iD: 0000-0001-5440-3145
Краснодар, Российская Федерация
Список литературы
- Lichen sclerosus. Genetic and Rare Diseases. StatPearls Publishing. Treasure Island (FL). 2019. 1435 p.
- Lichen Sclerosus. NORD (National Organization for Rare Disorders). 2019. https://rarediseases.org/gard-rare-disease/lichen- sclerosus/ Access date: 12.11.2022.
- Kirtschig G, Becker K, Günthert A, Jasaitiene D, Cooper S, Chi CC, Kreuter A, Rall KK, Aberer W, Riechardt S, Casabona F, Powell J, Brackenbury F, Erdmann R, Lazzeri M, Barbagli G, Wojnarowska F. Evidence-b ased (S3) Guideline on (anogenital) Lichen sclerosus. J Eur Acad Dermatol Venereol. 2015;(10): e1-43. doi: 10.1111/jdv.13136.
- Tran DA, Tan X, Macri CJ, Goldstein AT, Fu SW. Lichen Sclerosus: An autoimmunopathogenic and genomic enigma with emerging genetic and immune targets. Int J Biol Sci. 2019;15(7):1429-1439. doi: 10.7150/ijbs.34613.
- Hallopeau H. Lichen plan scléreux. Ann. Dermatol.Syph. 1889;20:447-449.
- Simpson RC, Cooper SM, Kirtschig G, Larsen S, Lawton S, McPhee M, Murphy R, Nunns D, Rees S, Tarpey M, Thomas KS; Lichen Sclerosus Priority Setting Partnership Steering Group. Future research priorities for lichen sclerosus - results of a James Lind Alliance Priority Setting Partnership. Br J Dermatol. 2019;180(5):1236- 1237. doi: 10.1111/bjd.17447.
- Krapf JM, Mitchell L, Holton MA, Goldstein AT. Vulvar Lichen Sclerosus: Current Perspectives. Int J Womens Health. 2020;12:11-20. doi: 10.2147/IJWH.S191200.
- Lynch PJ, Moyal-B arracco M, Scurry J, Stockdale C. 2011 ISSVD Terminology and classification of vulvar dermatological disorders: an approach to clinical diagnosis. J Low Genit Tract Dis. 2012;16(4):339-44. doi: 10.1097/LGT.0b013e3182494e8c.
- Papini M, Russo A, Simonetti O, Borghi A, Corazza M, Piaserico S, Feliciani C, Calzavara- Pinton P; Mucous Membrane Disorders Research Group of SIDeMaST. Diagnosis and management of cutaneous and anogenital lichen sclerosus: recommendations from the Italian Society of Dermatology (SIDeMaST). Ital J Dermatol Venerol. 2021;156(5):519-533. doi: 10.23736/S2784-8671.21.06764-X.
- Fistarol SK, Itin PH. Diagnosis and treatment of lichen sclerosus: an update. Am J Clin Dermatol. 2013;14(1):27-47. doi: 10.1007/s40257-012-0006-4.
- Regauer S, Liegl B, Reich O. Early vulvar lichen sclerosus: a histopathological challenge. Histopathology. 2005;47(4):340-7. doi: 10.1111/j.1365-2559.2005.02209.x.
- Attili VR, Attili SK. Clinical and histopathological spectrum of genital lichen sclerosus in 133 cases: Focus on the diagnosis of presclerotic disease. Indian J Dermatol Venereol Leprol. 2022;88(6):774 doi: 10.25259/IJDVL_640_20
- Pope E, Laxer RM. Diagnosis and management of morphea and lichen sclerosus and atrophicus in children. Pediatr Clin North Am. 2014;61(2):309-19. doi: 10.1016/j.pcl.2013.11.006
- Yadav D, Agarwal S, Thakur S, Ramam M. Lymphocyte- Peppered Sclerotic Collagen: An Additional Histological Clue in Lichen Sclerosus, Morphea, and Systemic Sclerosis. Am J Dermatopathol. 2021;43(12):935-938. doi: 10.1097/DAD.0000000000002071.
- Колесникова Е.В., Жаров А.В., Пенжоян Г.А. Роль цитокинов в патогенезе, диагностике и оценке эффективности иммунотерапии различных вариантов течения склеротического лихена у женщин // Медицинская иммунология. 2021. Т. 23. № 1. С. 63-72. doi: 10.15789/1563-0625-ROC-2085.
- Соколова А.В., Аполихина И.А., Зайцев Н.В., Чернуха Л.В. Клинико-морфологические стадии склерозирующего лихена вульвы // Гинекология. 2020. Т. 22. № 4. C. 22-27. doi: 10. 26442/20795696.2020.4.200278.
- Micheletti L, Preti M, Radici G, Boveri S, Di Pumpo O, Privitera SS, Ghiringhello B, Benedetto C. Vulvar Lichen Sclerosus and Neoplastic Transformation: A Retrospective Study of 976 Cases. J Low Genit Tract Dis. 2016;20(2):180-183 doi: 10.1097/LGT.0000000000000186
Дополнительные файлы






























