Proliferation and apoptosis features of ovarian follicles after local irradiation with electrons and platelet-rich plasma administration
- Authors: Demyashkin G.1,2, Murtazalieva Z.1, Pugacheva E.1, Vadyukhin M.3, Bimurzaeva M.3, Milovanova A.3, Dengina T.3
-
Affiliations:
- RUDN University
- National Medical Radiological Research Center
- Sechenov University
- Issue: Vol 28, No 3 (2024): PHYSIOLOGY. EXPERIMENTAL PHYSIOLOGY
- Pages: 311-318
- Section: PHYSIOLOGY. EXPERIMENTAL PHYSIOLOGY
- URL: https://journals.rudn.ru/medicine/article/view/36985
- DOI: https://doi.org/10.22363/2313-0245-2024-28-3-36985
- EDN: https://elibrary.ru/FZDMOW
- ID: 36985
Cite item
Full Text
Abstract
Relevance. The ovary is strongly radiosensitive organ. Exposure to ionizing radiation can lead to decreased reproductive function, including infertility. One of the promising regenerative substrates is platelet-rich plasma, which contains a large number of biologically active substances. It is necessary to conduct research in this direction in order to determine the dose-dependent effects of electron irradiation on the cell cycle of oocytes and granulosa cells and to assess the risks of developing radiation-induced ovarian failure. It is important to develop methods for the prevention of acute post-radiation complications, which may include platelet-rich plasma injections. Aim: immunohistochemical analysis of ovarian structures’ cell cycle after administration of platelet-rich plasma in a model of radiation-induced ovarian failure. Materials and methods. We divided the animals (Wistar rats; n=40) into four groups: I — control (n=10); II (n=10) — electron irradiation; III (n=10) — administration of platelet-rich plasma before electron irradiation; IV (n=10) — administration of platelet-rich plasma. A morphological assessment and immunohistochemical (Ki-67, caspase 3) examination of the ovaries were performed. Results and Discussion. Number of Ki-67-positive granulosa cells were sharply decreased in group II, but in theca cells the level of expression of this marker exceeded control values. Besides, the number of caspase-3-stained cells increased sharply, mainly due to granulosa cells. The immunohistochemical patterns described were less pronounced in the pre-radiation platelet-rich plasma group. Conclusion. Components of platelet-rich plasma have radioprotective properties, maintaining the cell cycle of follicular cells and reducing the depth and range of radiation damage to the ovary after 20 Gy electron exposure, confirmed by the Ki‑67 and caspase 3 expression levels.
Keywords
Full Text
Introduction
One of the most unfavorable consequences of radiotherapy for malignant neoplasms of the pelvic organs is irradiation of the ovaries, which can lead to the radiation-i nduced ovarian failure and, as a consequence, infertility [1].
The ovary is very radiosensitive organ [2]. At the molecular level, electron exposure leads to the direct (single and double DNA breaks/crosslinks, chromosomal mutations) and indirect (generation of reactive oxygen (ROS) and nitrogen (RNS) species and lipid peroxidation products) pathomechanisms activation. The life cycle of oocytes is regulated by proliferation (Ki-67), apoptosis (caspase 3) and proapoptosis (p53) factors [3, 4]. There is no effective substrate that can prevent radiation-i nduced apoptosis in ovarian structures for today, and therefore research into new potential radioprotectors remains relevant.
One of the popular regenerative substrates is platelet-rich plasma (PRP) with a large number of biologically active substances containing in the platelets’ α-granules: insulin-like growth factor-1 (IGF-1), platelet- derived growth factor (PDGF), transforming growth factor‑β (TGF‑β1), vascular endothelial growth factor (VEGF), fibroblasts growth factor (FGF), interleukin‑8, fibronectin, etc. [5]. These molecules promote tissue repair and remodeling by initiating cell proliferation, angiogenesis, chemotaxis, re-epithelization, extracellular matrix synthesis, etc.
A team of authors at the annual conference of the European Society of Human Reproduction and Embryology presented the results of using PRP as a regenerative substrate in gynecology [6]. Intraovarian administration of PRP in women with perimenopause, premature ovarian failure and poor ovarian response to in vitro fertilization led to morphofunctional restoration of the ovaries with stabilization of anti-müllerian hormone (AMH), follicle stimulating hormone (FSH) levels and the number of antral follicles within three months after treatment.
Based on the listed positive effects, it is possible to take a PRP as a regenerative substrate for research not only for wounds healing [7], but also in the radiation-i nduced damage treatment in certain organs such as the ovary [8, 9].
It is necessary to conduct research in this direction in order to determine the dose-dependent effects of electron irradiation on the proliferation / apoptosis ratio of oocytes and granulosa cells, and to assess the risks of developing radiation- induced ovarian failure. Such work is also necessary to determine the optimal doses of electron therapy for pelvic organs cancer to level out radiation damage. Particularly important are the search and development of substances with radioprotective properties.
The aim of this study: immunohistochemical analysis of ovarian structures’ cell cycle after administration of platelet-rich plasma in a model of radiation-i nduced ovarian failure.
Materials and methods
Animals for in vivo study
For this research we divided the experimental animals (Wistar rats; n=40) into four groups: Group I (n=10) — control;
Group II (n=10) — fractional local irradiation with electrons in a summary dose (SD) of 20 Gy;
Group III (n=10) — intraperitoneal administration of leukocyte-poor platelet-rich plasma (LP-PRP) 1 hour before local electron irradiation in a SD of 20 Gy;
Group IV (n=10) — intraperitoneal administration of LP-PRP.
High doses of ketamine + xylazine (i/p) used for animal removing on the 7th day and the first experimental day was the day of the last fraction. All manipulations were kept according to the standard rules: Declaration of Helsinki of the World Medical Association and “International Guidelines for Biomedical Research Using Animals” and approved by the protocol No. 25 of 11/10/23 of the Local Ethics Committee of the National Medical Radiological Research Center.
Morphological study
The ovaries were cut parallel to the sagittal plane (2 mm) and fixed in 10 % formaline after extraction. Then the processing (tissue histological processing apparatus, Leica Biosystems, Germany) were kept under standard conditions and tissues were embedded in paraffin from which serial sections were made (3 μm thick). Micropreparations were deparaffinized, dehydrated and then stained for morphological research with hematoxylin and eosin.
Morphological examination was carried out at a magnification of ×400 in 10 randomly selected fields of view of the light microscope in 5 random sections per sample. Digital scanned preparations were obtained using a video microscopy system (Leica DM3000 microscope, Germany; DFC450 C camera) and image processing software (Leica Application Suite V. 4.9.0) for morphometric analysis.
Immunohistochemical (IHC) study
IHC staining was performed according to the standard manufacturer’s protocols with monoclonal antibodies to Ki-67 (ThermoFisher, Clone MM1) and Caspase 3 (ThermoFisher, Clone 74T2) as a primary antibodies [10, 11]. A universal two-component HiDef Detection™ HRP Polymer system (Cell Marque, USA), mouse/rabbit anti- IGG, horseradish peroxidase (HRP) and DAB substrate were used to determine secondary antibodies. Antigen unmasking was carried out in a citrate buffer with pH≈6.0 in a water bath with a pT Link microprocessor (Dako, Denmark) at a temperature of 95ºС for 40 minutes and then by cooling at a temperature of 20ºС for 20 minutes. For cell nuclei counterstaining a Mayer’s hematoxylin was used. The number of IHC positively stained cells (in %) was counted at a magnification of ×400 in 10 randomly fields of view.
Statistical analysis
For analytical processing of the research results, the Windows package SPSS 12 (IBM Analytics, USA) statistical program was used. The obtained data are presented as mean ± standard error. Comparisons between groups were carried out using statistical packages and differences were considered significant at p-value <0.05.
Results and discussion
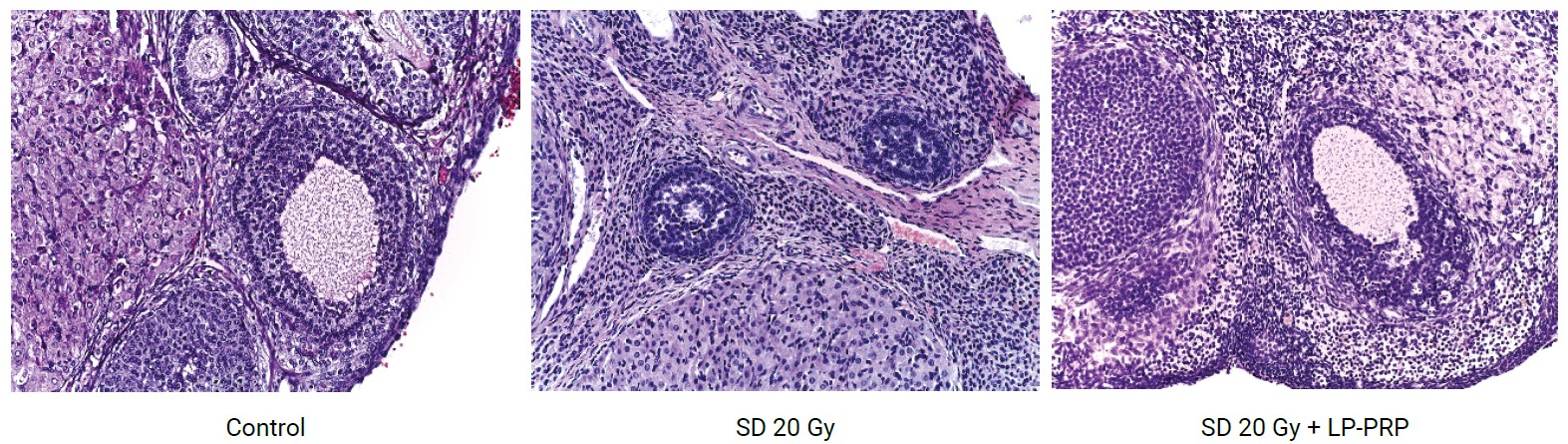
In animals of the control and IV groups, the ovary is covered on the outside with single- layer squamous epithelium (mesothelium), deeper — the tunica albuginea, formed by dense fibrous connective tissue with cords extending from it. The ovarian parenchyma is represented by numerous follicles in different stages of development (Fig. 1).
Fig. 1. Ovaries in experimental groups; hematoxylin and eosin stain, magn. ×200
Note: SD — summary dose, LP-PRP — leukocyte poor platelet-rich plasma.
Fractional local electron irradiation led to the radiation- induced ovarian failure within a week. The number of primordial follicles was sharply reduced, and the number of atretic follicles was increased. In some follicles, oocytes with signs of pyknosis, fragmentation of granulosa cells, and cellular detritus in the antrum were noted. In the stroma of the organ, multiple hemorrhages, stasis of most blood vessels, and proliferation of connective tissue were found compared to the control (Fig. 1).
Administration of platelet-rich plasma before irradiation led to a decrease in the degree of radiation- induced ovarian damage compared to the morphological pattern of group II: the primordial and primary follicles counts was slightly reduced unevenly distributed over the area of the ovary; isolated hemorrhages and stasis of red blood cells in vessels’ lumen (Fig. 1).
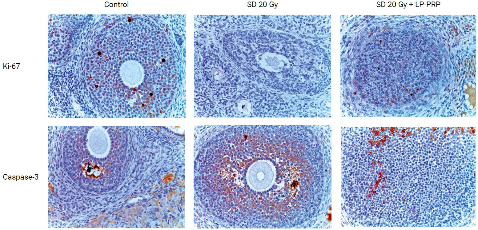
An immunohistochemical study of ovaries irradiated with a summary dose of 20 Gy revealed a decrease in Ki-67 expression level in the follicles (3.9 times) and the corpus luteum (1.5 times), while the proportion of Ki-67-positive theca cells sharply increased (7.5 times) compared to the control group. Number of caspase-3-immunopositive granulosa cells increased 3.8 times, while practically no differences in the corpus luteum and theca cells were observed compared to the control (Fig. 2–4).
Administration of LP-PRP in group III led to a partial restoration of the proliferative activity of granulosa cells (2.4 times) compared to the irradiation group, however, the proportion of Ki-67-positive theca cells decreased (1.3 times) compared to Group II. A significant decrease (1.6 times) in the expression of caspase-3 in group III was observed only in granulosa cells compared to the results of the irradiation group.
Although, no statistically significant differences were found between the levels of immunoreactivity in group IV compared to the control.
Fig. 2. Count of Ki‑67‑positive cells in experimental ovaries
Note: GC — granulosa cells, CL — corpus luteum, TC — theca cells, SD — summary dose. For comparison the Kruskal- Wallis test and the Mann – Whitney U test were performed; * — significant differences SD 20 Gy vs control (p <0.05). ** — significant differences SD 20 Gy vs SD 20 Gy + LP-PRP (p <0.05).
Fig. 3. Count of caspase‑3‑positive cells in experimental ovaries
Note: GC — granulosa cells, CL — corpus luteum, TC — theca cells, SD — summary dose. For comparison the Kruskal- Wallis test and the Mann – Whitney U test were performed. * — significant differences SD 20 Gy vs control (p <0.05). ** — significant differences SD 20 Gy vs SD 20 Gy + LP-PRP (p <0.05).
Fig. 4. Immunohistochemical analysis of Ki‑67 and caspase‑3 expression in experimental ovaries, magn. ×400
Local electron irradiation in group II led to a marked decrease in the Ki-67 expression in granulosa and corpus luteum cells in combination with a sharp increase of caspase-3-stained follicular cells. This is probably because of the effect of electrons on proliferatively active cells which lead to both direct (single and double DNA damages and chromosomal mutations) and indirect (ROS and RNS generation, lipid peroxidation and molecular water radiolysis) activation of pathways including in post-radiation toxicity in ovaries [12]. Then it leads to a strongly decrease in the primordial follicles number, fibrous connective tissue overgrowth which results in radiation- induced premature ovarian failure with ovarian reserve decrease, early menopause and infertility [13].
Post-radiation cell death most often occurs by apoptosis with activation of the cytochrome c and caspase cascade pathways, and in our study, granulosa cells turned out to be the most sensitive to the effects of electron irradiation, which was accompanied by a sharp induction of their apoptosis, confirmed by a high level of caspase-3 expression. Almost similar results were obtained by other researchers [14]. In our opinion a secretory disruption in granulosa cells results to the decreased synthesis of steroid hormones and growth factors. These changes led to the secondary violation of ovofolliculogenesis. In addition, theca cells hyperplasia is also responsible for the secretory follicular dysfunction, and it is the compensatory response to decreased hormone levels in blood.
Due to the fact that electrons lead to a decrease in the synthesis of key growth factors responsible for the restoration and regeneration in ovary, it was advisable to use platelet‑rich plasma where the platelets’ α‑granules contain high concentrations of biologically substances capable of inducing the follicular cells’ regenerative activity and metabolism (through neoangiogenesis stimulation) [15, 16]. Thus, the most important of these in PRP are IGF-1, PDGF, TGF-β1, VEGF, FGF, interleukin‑8, fibronectin, etc. [17]
These biologically active molecules are the key factors in proliferation and differentiation of many cell types. Due to this it can restore proliferative- apoptotic balance, probably responsible for the regenerative and radioprotective LP-PRP properties discovered in the present study: higher levels of proliferative activity of granulosa cells combined with significantly lower rates caspase‑3 immunoreactivity compared with the irradiation group. In addition, pre-irradiation administration of LP-PRP led to a less pronounced increase in the theca cells proliferation, which may indirectly indicate the body’s low need for compensatory-a daptive hyperplasia of these cells and the preservation of close to physiological levels of steroid hormones.
Thus, based on histological and immunohistochemical studies, it was occured that pre-radiation administration of LP-PRP contributed to the restoration of the proliferation/apoptosis ratio of follicles, which does not exclude the protective effect of this regenerative substrate, which is especially important for the prevention of the development of radiation- induced ovarian failure.
Conclusion
Components of platelet-rich plasma have radioprotective properties, maintaining the cell cycle of follicular cells and reducing the depth and range of radiation damage to the ovary after 20 Gy electron exposure, confirmed by the Ki‑67 and caspase 3 expression levels.
About the authors
Grigory Demyashkin
RUDN University; National Medical Radiological Research Center
Email: dr.dga@mail.ru
ORCID iD: 0000-0001-8447-2600
SPIN-code: 5157-0177
doc. med. sci., leading researcher at the Scientific and Educational Resource Center "Innovative Technologies of Immunophenotyping, Digital Spatial Profiling and Ultrastructural Analysis" of the Patrice Lumumba Peoples' Friendship University of Russia; Head of the Department of Pathomorphology of the National Medical Research Center for Radiology of the Ministry of Health of the Russian Federation
Russian Federation, 117198, Russia, Moscow, st. Miklouho-Maclay, 6; 125284, Russia, Moscow, 2nd Botkinsky proezd, 3Zaira Murtazalieva
RUDN University
Email: ZARIA.ALIEVA.90@BK.RU
ORCID iD: 0009-0000-2361-7618
SPIN-code: 2847-2984
graduate student of ITMB Sechenov University
Russian Federation, Moscow, Russian FederationEkaterina Pugacheva
RUDN University
Email: rouzella@mail.ru
ORCID iD: 0009-0009-2268-3838
SPIN-code: 5784-9384
graduate student of ITMB Sechenov University
Russian Federation, Moscow, Russian FederationMatvey Vadyukhin
Sechenov University
Email: vma20@mail.ru
ORCID iD: 0000-0002-6235-1020
SPIN-code: 9485-7722
student at the Institute of Clinical Medicine named after N.V. Sklifosovsky
Russian Federation, 119991, Russia, Moscow, st. Trubetskaya, 8/2Makka Bimurzaeva
Sechenov University
Email: bimakka@mail.ru
ORCID iD: 0000-0002-3065-0755
SPIN-code: 2637-5894
student at the Institute of Clinical Medicine named after N.V. Sklifosovsky
119991, Russia, Moscow, st. Trubetskaya, 8/2Aigul Milovanova
Sechenov University
Email: Ovezberdiyevaayka@gmail.com
ORCID iD: 0009-0007-9681-5704
SPIN-code: 9590-8578
student at the Institute of Clinical Medicine named after N.V. Sklifosovsky
Russian Federation, 119991, Russia, Moscow, st. Trubetskaya, 8/2Tamara Dengina
Sechenov University
Author for correspondence.
Email: larobrine@mail.ru
ORCID iD: 0009-0002-0651-9711
SPIN-code: 5877-3869
student at the Institute of Clinical Medicine named after N.V. Sklifosovsky
119991, Russia, Moscow, st. Trubetskaya, 8/2References
- Ahmed Y, Khan AMH, Rao UJ, Shaukat F, Jamil A, Hasan SM et al. Fertility preservation is an imperative goal in the clinical practice of radiation oncology: a narrative review. Ecancermedicalscience. 2022;16:1461. doi: 10.3332/ecancer.2022.1461
- Terenziani M, Piva L, Meazza C. Oophoropexy: a relevant role in preservation of ovarian function after pelvic irradiation. Fertility and Sterility. 2009;91(3):935.e15–935.e16. doi: 10.1016/j.fertnstert.2008.09.029
- Kaur S, Kurokawa M. Regulation of Oocyte Apoptosis: A View from Gene Knockout Mice. International Journal of Molecular Sciences. 2023;24(2):1345. doi: 10.3390/ijms24021345
- Zhang W, Huang L, Kong C, Liu J, Luo L, Huang H. Apoptosis of rat ovarian granulosa cells by 2,5‑hexanedione in vitro and its relevant gene expression. Journal of Applied Toxicology. 2013;33(7):661–669. doi: 10.1002/jat.2714
- Dawood AS, Salem HA. Current clinical applications of platelet-rich plasma in various gynecological disorders: An appraisal of theory and practice. Clinical and Experimental Reproductive Medicine. 2018;45(2):67–74. doi: 10.5653/cerm.2018.45.2.67
- Sfakianoudis K, Simopoulou M, Grigoriadis S, Pantou A, Tsioulou P, Maziotis E et al. Reactivating Ovarian Function through Autologous Platelet-Rich Plasma Intraovarian Infusion: Pilot Data on Premature Ovarian Insufficiency, Perimenopausal, Menopausal, and Poor Responder Women. Journal of Clinical Medicine. 2020;9(6):1809. doi: 10.3390/jcm9061809
- Xu P, Wu Y, Zhou L. Platelet-rich plasma accelerates skin wound healing by promoting re-epithelialization. Burns Trauma. 2020;8: tkaa028. doi: 10.1093/burnst/tkaa028
- Demyashkin GA, Vadyukhin MA, Shekin VI. The Influence of Platelet-Derived Growth Factors on the Proliferation of Germinal Epithelium After Local Irradiation with Electrons. Journal of Reproduction and Infertility. 2023;24(2):94–100. doi: 10.18502/jri.v24i2.12494
- Ozcan P, Takmaz T, Tok OE, Islek S, Yigit EN, Ficicioglu C. The protective effect of platelet-rich plasma administrated on ovarian function in female rats with Cy-induced ovarian damage. Journal of Assistant Reproduction and Genetics. 2020;37(4):865–873. doi: 10.1007/s10815-020-01689-7
- Kudryavtsev GY, Kudryavtseva LV, Mikhaleva LM, Kudryavtseva YY, Solovyeva NA, Osipov VA, et al. Immunohistochemical study of P53 protein expression in different prostate cancer Gleason grading groups. RUDN Journal of Medicine. 2020;24(2):145–155. doi: 10.22363/2313-0245-2020-24-2-145-155
- Kudryavtsev GY, Kudryavtseva LV, Mikhaleva LM, Babichenko II. Immunohistochemical Study of Tumor Cells Proliferative Activity at Different Graduations of Prostate Cancer. RUDN Journal of Medicine. 2019;23(4):364–372. doi: 10.22363/2313-0245-2019-23-4-364-372
- Reisz JA, Bansal N, Qian J, Zhao W, Furdui CM. Effects of ionizing radiation on biological molecules — mechanisms of damage and emerging methods of detection. Antioxidants Redox Signals. 2014;21(2):260–292. doi: 10.1089/ars.2013.5489
- An J, Du X, Zhang F, Chen J, Dai J, Huang M et al. Effect of radiotherapy on ovarian function in patients with cervical cancer undergoing radical surgery. Chinese Journal of Radiation Oncology. 2019;28(10):753–756.
- Almeida CP, Ferreira MCF, Silveira CO, Campos JR, Borges IT, Baeta PG et al. Clinical correlation of apoptosis in human granulosa cells-A review. Cell Biology International. 2018;42(10):1276–1281. doi: 10.1002/cbin.11036
- Seckin S, Ramadan H, Mouanness M, Kohansieh M, Merhi Z. Ovarian response to intraovarian platelet-rich plasma (PRP) administration: hypotheses and potential mechanisms of action. Journal of Assistant Reproduction and Genetics. 2022;39(1):37–61. doi: 10.1007/s10815-021-02385-w
- Bos-Mikich A, de Oliveira R, Frantz N. Platelet-rich plasma therapy and reproductive medicine. Journal of Assistant Reproduction and Genetics. 2018;35(5):753–756. doi: 10.1007/s10815-018-1159-8
- Sills ES, Wood SH. Autologous activated platelet-rich plasma injection into adult human ovary tissue: molecular mechanism, analysis, and discussion of reproductive response. Bioscience Rep. 2019;39(6): BSR20190805. doi: 10.1042/BSR20190805
Supplementary files














