Ключевая роль гистологического и ПЦР-исследований в дифференциальной диагностике поражения клапанов сердца при артериите Такаясу, инфекционном эндокардите и миксоматозной дегенерации
- Авторы: Писарюк А.С.1, Котова Е.О.1, Моисеева А.Ю.1, Домонова Э.А.2, Цимбалист Н.С.1, Мерай И.А.1, Сафарова А.Ф.1, Богданова Т.Г.1, Толоконникова Н.Е.1, Кобалава Ж.Д.1
-
Учреждения:
- Городская клиническая больница имени В.В. Виноградова
- Центральный научно-исследовательский институт эпидемиологии
- Выпуск: Том 27, № 2 (2023): ЗАБОЛЕВАНИЯ СЕРДЕЧНО-СОСУДИСТОЙ СИСТЕМЫ
- Страницы: 195-206
- Раздел: ЗАБОЛЕВАНИЯ СЕРДЕЧНО-СОСУДИСТОЙ СИСТЕМЫ
- URL: https://journals.rudn.ru/medicine/article/view/35097
- DOI: https://doi.org/10.22363/2313-0245-2023-27-2-195-206
- EDN: https://elibrary.ru/ZYUJRE
- ID: 35097
Цитировать
Полный текст
Аннотация
Поражение аортального клапана является частой патологией, однако причины могут быть крайне разнообразными и представленными от дегенеративных, врожденных и инфекционных заболеваний до аутоиммунной патологии. Представлено редкое наблюдение молодой пациентки с артериитом Такаясу и тяжелым поражением сердца вследствие миксоматозной дегенерации створок аортального и митрального клапанов с развитием инфекционного эндокардита (ИЭ), осложненного абсцессом, фистулой, перфорацией клапанов и рецидивирующей острой декомпенсацией сердечной недостаточности. Комплексное патогистологическое и ПЦР-исследование тканей клапанов имело принципиальное значение в дифференциальной диагностике клапанных поражений, позволившее выявить истинную причину развития структурной патологии сердца в рамках миксоматозной дегенерации и перенесенного ИЭ. Наличие артериита Такаясу имело определяющее значение, способствовало развитию иммуносупрессивного состояния и определяло тяжесть и скорость прогрессирования заболевания.
Полный текст
Introduction
Takayasu arteritis (TA) is an inflammatory disease of unknown etiology and affects the aorta, its branches and the pulmonary arteries [1]. By involving the aortic root and the heart valves, arteritis can lead to the development of aortic regurgitation (AR). The possible causes of valve insufficiency include aortic root dilation, recurrent inflammation, and development of aortic valve defect. The literature describes cases where TA could be misdiagnosed as infectious endocarditis (IE) [2]. Also, a long-term immunosuppressive therapy for TA may be a predisposing factor of IE [3]. There have been no earlier reports of a single case combining IE and TA.
IE remains a serious disease with a high fatality rate, that can severely damage heart valves [4, 5]. In the developed countries, despite the decreasing risk factors, such as chronic rheumatic and uncorrected congenital cardiac diseases, the incident of IE is increasing, which is associated with the use of intracardiac devices, medical interventions and hemodialysis, as well as degenerative changes in the heart valves [4, 5]. As concerns the latter, the most common factor predisposing to IE is valve cusp calcification and, somewhat less common, myxomatous degeneration of valve cusps [4, 5].
Objective: to present a clinical case of TA in a female patient with a history of IE associated with degenerative heart defect and to demonstrate the key role of histopathologic and PCR findings in the differential diagnosis of valve lesion genesis.
Clinical description
A 22-year-old female, Asian, no bad habits. Absent pulse in the left arm was first noted at the age of 16, no further examinations or treatment followed. In February 2019 (21 yrs), the patient had tonsillitis and received antibiotic therapy (ABT) (amoxiclav 1500 mg/day). In May 2019, she presented with subfebrile fever, complaints of difficult, painful urination (Klebsiella spp. growth in urine), and was administered ABT (ciprofloxacin 1000 mg/day). Since early June 2019, the patient began complaining of shortness of breath, cough, and decreased exercise tolerance. Computed tomography (CT) of the chest found no abnormalities, echocardiography (echo) diagnosed a partial tear of the right coronary cusp of the aortic valve (AV) with severe aortic regurgitation (AR). The patient refused the proposed surgical treatment. In July 2019, a repeated echo revealed not only the separation of the right coronary cusp of AV but also moderate insufficiency of the mitral (MV) and tricuspid valves (TV) with dilated left heart chambers and right atrium, and pulmonary hypertension. Other findings included pericardial effusion and fluid accumulation in both pleural cavities (600ml on the right side, 570ml on the left side). Ultrasound of the extracranial brachiocephalic arteries showed a significantly increased intima-media thickness and stenosis of the common carotid artery on both sides, and of the subclavian artery on the left.
Fig. 1. Diagram of disease development and management. Echo — echocardiography; AV — aortic valve; AR — aortic regurgitation; CH — heart failure; C-RP — C-reactive protein; ESR — erythrocyte sedimentation rate; GFR — glomerular filtration rate calculated by the CKD-EPI formula; USDG — ultrasound vascular Dopplerography; CIM — intima complex-media; CCA — common carotid artery; SCA — subclavian artery; MR — mitral regurgitation, TR — tricuspid regurgitation; PH — pulmonary hypertension; ADHF — acute decompensation of chronic heart failure; CT — computed tomography; EF — ejection fraction; MV — mitral valve; IE — infectious endocarditis.
Blood tests showed a moderate inflammatory reaction [WBC 7.0 (4–9×109/L), CRP 18.8 (0–5 mg/L), ESR 25 (2–15 mm/h)] and mild anemia [Hb 111 (120–160 g/L)]. The results of blood chemistry, coagulation tests and urinalysis were within normal.
The main diagnostic concept was a cardiac valve disease due to type IIa TA with involvement of the common carotid arteries, the trunk of the right pulmonary artery and the ascending aorta, with the development of severe aortic insufficiency and right coronary cusp separation, which resulted in left heart and right atrium dilation and the development of moderate MR and TR, pulmonary hypertension and, later, to NYHA class III heart failure.
The prescribed treatment included: methotrexate 10mg per week, folic acid 3 mg per week, prednisolone 25 mg/day, carvedilol 6.25mg/day, acetylsalicylic acid 75 mg/ day, torasemide 5mg/day, spironolactone 25 mg/ day, omeprazole 20mg/day. The therapy improved the symptoms: shortness of breath decreased, whereas tolerance to physical exertion increased. After discharge, the patient continued taking the same medications, gradually reducing the prednisolone dose from 15 mg until complete withdrawal, by 2.5 mg every 4 weeks.
In December 2019, heart failure symptoms recurred with progression, and in early January 2020 the patient was hospitalized with complaints of severe shortness of breath on minimal physical exertion, abdominal enlargement, lower limb swelling.
On physical exam, the patient’s condition was severe, the skin and visible mucous membranes pale yellowish, an orthopneic position, symmetrical edema at foot and ankle level (2+). Blunted percussion sound on both sides below the 6th — 7th rib. Harsh respiration; diffuse sibilant fine moist rales in the lower lungs. RR 29 per min. SpO2 90 % on unassisted spontaneous breathing. The heart percussion borders were enlarged to the left, there was an apical systolic murmur radiating to the axillary region, and a diastolic aortic murmur. The pulse was 120 bpm, rhythmic, almost undetectable on the left. BP 96/62 mmHg. The abdomen was enlarged due to ascites. The liver size according to Kurlov was 12/3x11x9cm. The liver edge was smooth, soft and elastic. The spleen was not palpable.
Blood tests: no signs of inflammation [leukocytes 4.5×109/L, CRP 4.5 mg/L, ESR 10 mm/h], hypocoagulation [prothrombin time 24.1 (9.4–12.5 s), prothrombin index 35 (70–140 %), INR 2.17 (0.9–1.3 IU/mL)], mild anemia [Hb 101 g/L], increased D-dimer [447 (0–250 ng/mL)], hyperbilirubinemia [total bilirubin 44 (3–21 mmol/L), direct bilirubin 23 (0–3.4 mmol/L)], hypoalbuminemia [30 (35–52 g/L)], labile renal function [creatinine 50–79 (45–84 mmol/L), GFRCKD-EPI 132–91,85 (90–140 mL/min)].
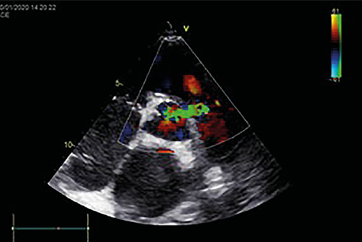
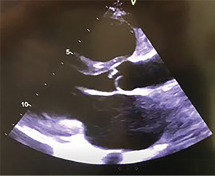
ECG: right EHA deviation, sinus tachycardia with HR 120 bpm, ST segment on the isoline. Echo: LV EF 54 %, vegetation on the aortic cusp 1.2 x 2.0 cm (Fig. 2), severe aortic insufficiency, an open abscess of the aortic root with a fistula between the aortic root and the right ventricular outflow track (Fig. 3), an open abscess of the MV anterior cusp with a developed perforation, severe insufficiency of the MV (Fig. 4). Dilation of left and right atria, moderate tricuspid valve insufficiency, stage 2 pulmonary hypertension, fluid in both pleural cavities.
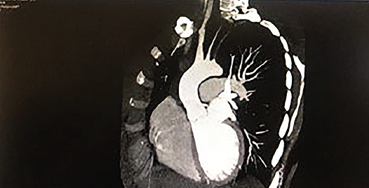
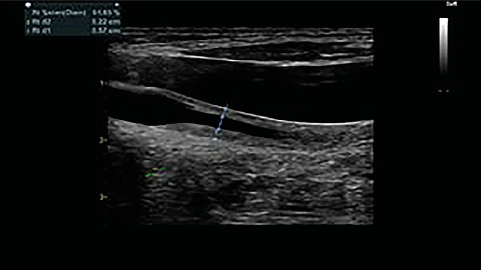
Triplex ultrasound scan of head and neck great vessels: a concentric thickening of the left common carotid artery intima-media, with a hemodynamically significant increase in the blood flow (Fig. 5), stenosis of the distal part of the left subclavian artery, signs of blood flow disturbance the internal jugular vein. CT angiography of the aorta with trunk branches showed similar changes (Fig. 6).
The TA activity according to BVAS was 1, that did not require specific treatment before cardiac surgery.
Fig. 2. Vegetations on the AV cusps
Fig. 3. An open abscess of the aortic root with a fistula between the aortic root and the right ventricular outflow track
Fig. 4. Perforation of anterior cusp of mitral valve
Fig. 5. Concentric thickening of intima-media of left common carotid artery
Fig. 6. CT angiography: stenosis of common carotid and subclavian arteries on the left
Treatment
Oxygen therapy, furosemide 40 mg/day intravenously, spironolactone 25 mg/day, enoxaparin sodium 4000 anti-Xa IU 0.4 mL/day subcutaneously, omeprazole 20 mg/day, iron sulfate 150 mg/day were prescribed. The administered therapy alleviated the signs and symptoms of heart failure.
On Day 4, the patient was transferred to a cardiac surgery hospital, where she underwent a surgery for heart valve disease. Intraoperative findings included newly revealed myxomatous changes in the AV and MV cusps, confirmed fistula between the aortic root and the right ventricular outflow track, a perforation of the MV cusp without signs of active infection. A complex cardiac surgery was performed: MV reconstruction (chordal translocation and annuloplasty), AV replacement with a mechanical prosthesis, TV pasty under artificial circulation. The postoperative period was without complications on ABT (ceftriaxone 2g/day for 8 days in the hospital and cefixime 400 mg/day for 7 days on outpatient basis).
There were difficulties in establishing the true causes of the heart valve defects. First, we discussed the potential contribution of TA into the heart disease. However, our attention was drawn to a massive destruction of the AV and MV cusps with a fistula, valve perforation, and suspected open abscesses, which is not quite common in TA. Therefore, we suspected a past IE that could have been responsible for the developed changes but, by the time of the surgery, there were no macroscopic evidence of active infection and no history of prior IE. During the surgery we discovered the myxomatous degeneration of the mitral and aortic valve cusps. Hence, only combined histopathologic and etiologic examinations of the valve tissues could establish the exact cause of the aortic and mitral valve disease.
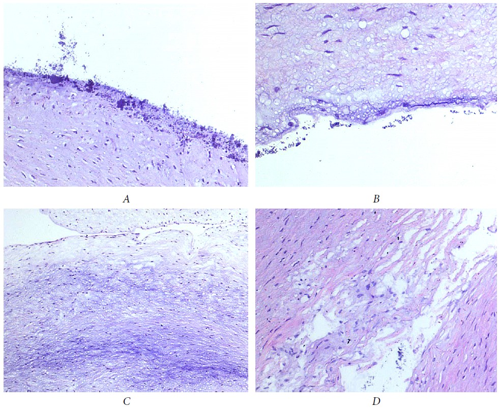
Microbiological examination of crushed AV and MV cusp tissue showed no microbial growth. However, a concurrent PCR-test of the valve tissue detected Staphylococcus aureus (MSSA). On histopathology and microscopy of valve tissue: the valve cusp consisting of mature connective tissue and fibroblasts, its surface lined with endothelial cells; the valve surface included basophilic areas, where we found bacteria (Gram-positive) on endothelial cells. Deep in the valve, there were colonies of Gram-positive basophilic bacteria, around which there were myxomatous changes in the connective tissue of the valve. Microscopy findings also included a dissection in the aortic intima and media and intramuscular layer. Some bacterial colonies and myxomatous changes in the connective tissue were also found in the dissection area. The aortic wall contained vasa vasorum without massive inflammatory infiltrate (Fig. 7).
Thus, according to the results of analyses, there were no doubts in the presence of TA without heart valve involvement (clinically and instrumentally proven, without histopathological signs of an active process). They also revealed myxomatous degeneration of the AV and MV cusps, and convincingly proved a prior IE [in accordance with the Duke pathological diagnostic criteria for IE: bacteria were visualized in the excised valve tissues; a bacterial etiological agent was identified by two independent methods — microscopy (Gram+) and PCR (Staphylococcus aureus MSSA), — without histological signs of an active inflammatory process]. The Duke clinical diagnostic criteria for IE were not applied because of the then low disease activity [4, 5].
Fig. 7. Micrography. Aortic valve tissue. Hematoxylin and eosin stain (x 200). Examination of the valve (A-C) detected basophilic bacterial colonies deep in the valve, with marked basophilia (A, B), with myxomatous changes in the valve connective tissue around the bacterial colonies, without signs of active inflammation (C). No inflammatory infiltrate in the aortic wall. Dissection of aortic intima, media and intramuscular layer; bacterial colonies and myxomatous changes in the connective tissue in the dissection area (D).
Diagnosis
Thus, the final diagnosis was formulated as follows:
Principal diagnosis: myxomatous degeneration of AV and MV valves. A prior infectious endocarditis of AV and MV caused by Staphylococcus aureus (MSSA). An open abscess of AV associated with a fistula between the aortic root and the right ventricular outflow track. Severe insufficiency of AV. Perforation of MV cusp. Severe MV insufficiency. AV replacement with a mechanical prosthesis. MV reconstruction. TV plasty.
Complications: stage 2B CHF (congestive lungs, liver, edema of the lower extremities, bilateral hydrothorax, ascites), NYHA Class IV. Mild iron-deficiency anemia.
Concomitant diseases: type IIa Takayasu disease with the involvement of the brachiocephalic trunk, SCA, common carotid arteries, low disease activity (BVAS 1b).
Follow-up
On the follow-up 1.5 years after the surgery, the patient’s condition was satisfactory, without symptoms of heart failure. The patient was on chronic warfarin therapy, followed by a rheumatologist, received leflunomide 20 mg as the maintenance therapy for TA.
Discussion
The presented case study, first of all, demonstrates the difficulties in the differential diagnostic search for possible mechanisms underlying the lesions of the cardiac valvular apparatus. At different stages of the disease, we considered different potential causes of valve involvement: (1) Takayasu arteritis, based on the assumption of AR development due to aortic root dilation as an outcome of recurrent inflammation of the aorta and AV tissue (not confirmed); (2) infectious endocarditis, based on the presence of specific echo findings, predisposing factors, and relevant adverse effects of immunosuppressive therapy (absolutely confirmed); (3) connective tissue diseases, e. g., myxomatous degeneration of valve cusps, severe combined involvement of AV and MV accompanied by damage to the chordal apparatus (absolutely confirmed).
TA is a chronic, idiopathic and granulomatous vasculitis affecting large arteries, mainly the aorta and its proximal branches [1]. The etiology and predisposing factors of the disease are unknown, but studies have shown the involvement of immunological response that triggers subsets of T- and B-lymphocytes and macrophages leading to acute vascular inflammation and necrosis, causing stenosis and aneurysms [6]. TA is often found in young females of reproductive age, especially in the Asian population, with the female to male ratio varying from 4:1 to 9:1 [7]. The presented clinical case is type IIa TA. The most common heart valve complication of TA is AR (20–44.8 %) [8], other valves are affected less frequently, e. g. the incidence of mitral regurgitation (MR) is as low as 3 % [9]. TA- associated AR is caused by AV damage, dilation of the ascending aorta and the aortic ring. As shown by genetic studies, HLA-B*52:01 is associated with AR, while rs6871626 in IL12B determines the development and severity of AR [10]. AR increases the risk of HF, as well as the risk of adverse events in patients with HF [11] and requires surgical treatment [12].
The main clinical symptoms of TA are weakness, fever, arthralgia, hypertension, intermittent arm or leg claudication, heart diseases (heart failure, valvular or coronary heart disease), and impaired renal function [13, 14]. Some of them were clearly observed in the presented clinical case, and the diagnosis of TA was not in doubt. However, laboratory findings are usually non-specific in TA. Treatment of active TA is mainly based on glucocorticosteroids (GCS) [15, 16], and it was successfully administered to the patient to achieve a complete TA remission.
TA can be misdiagnosed as IE due to similar clinical symptoms (heart murmur, fever) in the active phase of the disease [2]. Moreover, TA itself may predispose to IE [3]. In the presented case, the severity of the AV lesion combined with the MV and TV involvement, as well as gross structural changes (fistula, perforation, AV and MV abscesses) could not be fully explained by the presence of TA. Therefore, we considered a contribution of another disease, e. g. IE, to the heart damage. The peculiarity of the presented case is that IE and TA proceeded apparently simultaneously. In the first place, one should discuss the predisposing factors for IE, such as immunosuppression on methotrexate and GCS, which apparently not only promoted the IE development — most likely at one of the stages of treatment of acute TA — but also determined the severity of valve damage.
IE has a high mortality rate, it can cause severe damage to the heart valves [4, 5]. Degenerative valve disease is currently the most common predisposing factor for IE in the developed countries. It is followed by much less common congenital uncorrected defects and chronic rheumatic disease [4, 5]. The diagnosis of IE is normally established based on the Duke clinical and pathological criteria [4, 5]. In this clinical case, however, the patient presented no clinical or laboratory signs of active infectious process, no microbial growth in blood culture, so the use of clinical criteria was not possible. It could only be about the sequelae of a prior IE, and in such cases the diagnosis can be confirmed by histopathology of excised valve tissues that can detect inflammatory infiltration and evaluate its cell composition, reveal mucoid degeneration, accumulation of fibrin, and microbial colonies [17]. It should be noted that histopathology of biopsy material is also important for confirming the TA diagnosis and activity, although a clinical and laboratory remission of TA may be inconsistent with the presence of inflammatory changes in the arterial wall [18].
The severe hemodynamically and clinically significant changes in the patient’s cardiac valve apparatus had necessitated surgical treatment followed by histopathological, microbiological and PCR examinations of tissues. Based on the histopathological findings, the leading cause of valve damage in this patient was myxomatous degeneration of AV and MV, without signs of AV involvement with aortic arteritis. In addition, both valves were affected by bacterial infection which had led to the formation of an aortic root to right ventricle fistula, and a perforation of the anterior leaflet of the MV. All these factors combined caused the heart failure. Thus, only histopathological examination helped establish the true genesis of the valve damage. ABT was not administered because of the absence of specific markers of active inflammation around the bacterial clumps in the valve tissue; and IE was considered as a prior disease, inactive at the time of surgery. Therefore was not possible to establish the exact etiology based on the microbiological examinations of either blood or resected valve tissue, despite the microscopic findings of bacterial clumps. The TA activity was considered low; hence no immunosuppressive therapy was administered.
Some foreign publications support the diagnostic value of PCR analyses of excised valve tissues in the etiological diagnosis of IE [19, 20]. However, in some cases — in the absence of clinical, laboratory or echo evidence of active IE, — the presence of bacterial genetic material (nucleic acids) in valve tissue indicates not only the persistence of viable bacteria, but also allows a retrospective diagnosis of a prior IE infection [21]. Therefore, the PCR finding of Staphylococcus aureus (MSSA) in the present clinical case does not contradict the concept of a prior IE, but rather demonstrates the feasibility to establish the exact etiological relation of pathogen in retrospect and proves the relationship between the aggressive valve damage and IE.
This clinical case has highlighted the following important therapeutic issues: timely referral of a patient with severe multivalvular disease for surgical treatment; the specifics of surgical treatment in a patient with TA, based on disease activity; risks of immunosuppressive therapy in patients with IE.
The patient underwent AV replacement with a mechanical valve prosthesis. Noteworthy is that surgery in patients with active TA is difficult because one has to operate on loose and inflamed tissues, which can cause the development of a paravalvular fistula and other complications [22]. In view of the above, patients should be given adequate anti–inflammatory therapy until morphological remission, and only then should they undergo reconstructive surgery [23, 24]. That is exactly what was done in the presented clinical case: the surgical intervention was performed after achieving complete remission of the disease. The management of the patient was further complicated by the fact that, in addition to the AV lesion, the patient had a severe MV lesion due to myxomatous valve changes associated with the development of an open abscess and leaflet perforation, as well as moderate TR as a result of the right heart involvement associated with rapidly progressive changes in the left chambers. In addition to the AV replacement with a mechanical prosthesis, the patient underwent MV reconstruction and TV plasty based on the patient’s individual anatomy.
Thus, a 22-year-old female patient with confirmed TA was diagnosed with severe lesion of AV and MV due to myxomatous cusp degeneration and IE, complicated with abscesses, fistula, perforation and recurrent acute decompensated heart failure. The patient underwent a successful surgical treatment of the valvular defects. It is likely that the TA-associated damage in the cardiac valvular apparatus was not due to a direct effect of TA on the AV, but rather due to immunosuppression associated with TA. The IE time frame is very difficult to ascertain. Supposedly, the patient had it when she was on methotrexate and GCS (the symptoms did not show up due to immunosuppression). However, the most severe lesions of the valvular apparatus occurred after the discontinuation of GCS. It could still have been a long-term indolent infection that was eliminated after cessation of immunosuppressive therapy but severely affected the heart valves within the short period from GCS cessation to HF decompensation. The true cause of the heart disease was established only based on combined histopathologic and PCR examinations of the excised valve tissue.
Conclusion
Aortic valve disease is not a rare phenomenon, but it may have very diverse, from the common bicuspid AV and degenerative diseases to lesions associated with systemic autoimmune diseases. AT can affect the aortic root and aortic valve, and therefore it is usually difficult to diagnose the nature of a valve lesion. Here we describe a rare case of concurrent IE and TA associated with myxomatous valve degeneration. A combined histopathological and PCR examination of the tissues had a crucial role in the differential diagnosis of the valvular lesions. It has established the major role of myxomatous degeneration and IE in the development of structural cardiopathy. TA had an indirect though clearly leading role in creating conditions for the development of immunosuppressive state and determined the severity and progression rate of IE and the valvular disease. This combined approach helped determine the true causes of the heart disease and choose an optimal treatment strategy.
Об авторах
А. С. Писарюк
Городская клиническая больница имени В.В. Виноградова
Email: kotova_eo@pfur.ru
ORCID iD: 0000-0003-4103-4322
SPIN-код: 5602-1059
Москва, Российская Федерация
Е. О. Котова
Городская клиническая больница имени В.В. Виноградова
Автор, ответственный за переписку.
Email: kotova_eo@pfur.ru
ORCID iD: 0000-0002-9643-5089
SPIN-код: 6397-6480
Москва, Российская Федерация
А. Ю. Моисеева
Городская клиническая больница имени В.В. Виноградова
Email: kotova_eo@pfur.ru
ORCID iD: 0000-0003-0718-5258
SPIN-код: 1121-0207
Москва, Российская Федерация
Э. А. Домонова
Центральный научно-исследовательский институт эпидемиологии
Email: kotova_eo@pfur.ru
Москва, Российская Федерация
Н. С. Цимбалист
Городская клиническая больница имени В.В. Виноградова
Email: kotova_eo@pfur.ru
ORCID iD: 0000-0001-8719-1169
SPIN-код: 3998-4149
Москва, Российская Федерация
И. А. Мерай
Городская клиническая больница имени В.В. Виноградова
Email: kotova_eo@pfur.ru
ORCID iD: 0000-0001-6818-8845
SPIN-код: 4477-7559
Москва, Российская Федерация
А. Ф. Сафарова
Городская клиническая больница имени В.В. Виноградова
Email: kotova_eo@pfur.ru
ORCID iD: 0000-0003-2412-5986
SPIN-код: 2661-6501
Москва, Российская Федерация
Т. Г. Богданова
Городская клиническая больница имени В.В. Виноградова
Email: kotova_eo@pfur.ru
ORCID iD: 0000-0001-5485-8633
SPIN-код: 6159-0938
Москва, Российская Федерация
Н. Е. Толоконникова
Городская клиническая больница имени В.В. Виноградова
Email: kotova_eo@pfur.ru
ORCID iD: 0000-0002-4769-1983
Москва, Российская Федерация
Ж. Д. Кобалава
Городская клиническая больница имени В.В. Виноградова
Email: kotova_eo@pfur.ru
ORCID iD: 0000-0002-5873-1768
SPIN-код: 9828-5409
Москва, Российская Федерация
Список литературы
- Mekinian A, Néel A, Sibilia J, Cohen P, Connault J, Lambert M. Efficacy and tolerance of infliximab in refractory Takayasu arteritis: French multicentre study. Rheumatology (Oxford). 2012;51(5):882-6. doi: 10.1093/rheumatology/ker380.
- Alcelik A, Karacay S, Hakyemez IN, Akin B, Ozturk S, Savli H. Takayasu arteritis initially mimicking infective endocarditis. Mediterr J Hematol Infect Dis. 2011;3(1): e2011040. doi: 10.4084/MJHID.2011.040.
- Zhang Y, Yang K, Meng X, Tian T, Fan P, Zhang H, Ma W, Song L, Wu H, Cai J, Luo F, Zhou X, Zheng D, Liu L. Cardiac Valve Involvement in Takayasu Arteritis Is Common: A Retrospective Study of 1,069 Patients Over 25 Years. Am J Med Sci. 2018;356(4):357-364. doi: 10.1016/j.amjms.2018.06.021.
- Habib G, Lancellotti P, Antunes MJ, Bongiorni MG, Casalta JP, Del Zotti F, Dulgheru R, El Khoury G, Erba PA, Iung B, Miro JM, Mulder BJ, Plonska-Gosciniak E, Price S, Roos-Hesselink J, Snygg-Martin U, Thuny F, Tornos Mas P, Vilacosta I, Zamorano JL; ESC Scientific Document Group. 2015 ESC Guidelines for the management of infective endocarditis: The Task Force for the Management of Infective Endocarditis of the European Society of Cardiology (ESC). Endorsed by: European Association for Cardio-Thoracic Surgery (EACTS), the European Association of Nuclear Medicine (EANM). Eur Heart J. 2015;36(44):3075-3128. doi: 10.1093/eurheartj/ehv319.
- Демин А.А., Кобалава Ж.Д., Скопин И.И., Тюрин В.П., Бойцов С.А., Голухова Е.З., Гордеев М.Л., Гудымович В.Г., Демченко Е.А., Дробышева В.П., Домонова Э.А., Драпкина О.М., Загородникова К.А., Иртюга О.Б., Кахкцян П.В., Козлов Р.С., Котова Е.О., Медведев А.П., Муратов Р.М., Николаевский Е.Н., Писарюк А.С., Пономарева Е.Ю., Попов Д.А., Рачина С.А., Ревишвили А.Ш., Резник И.И., Рыжкова Д.В., Сафарова А.Ф., Тазина С.Я., Чипигина Н.С., Шипулина О.Ю., Шляхто Е.В., Шнейдер Ю.А., Шостак Н.А. Инфекционный эндокардит и инфекция внутрисердечных устройств. Клинические рекомендации 2021 // Российский кардиологический журнал. 2022. Т. 27. № 10. С. 5233. https://doi.org/10.15829/1560-4071-2022-5233.
- Espinoza JL, Ai S, Matsumura I. New Insights on the Pathogenesis of Takayasu Arteritis: Revisiting the Microbial Theory. Pathogens. 2018;7(3):73. doi: 10.3390/pathogens7030073.
- Watanabe Y, Miyata T, Tanemoto K. Current Clinical Features of New Patients With Takayasu Arteritis Observed From Cross-Country Research in Japan: Age and Sex Specificity. Circulation. 2015;132(18):1701-9. doi: 10.1161/CIRCULATIONAHA.114.012547.
- Zhang Y, Yang K, Meng X, Tian T, Fan P, Zhang H. Cardiac Valve Involvement in Takayasu Arteritis Is Common: A Retrospective Study of 1,069 Patients Over 25 Years. Am J Med Sci. 2018;356(4):357-364. doi: 10.1016/j.amjms.2018.06.021.
- Goksedef D, Omeroglu SN, Ipek G. Coronary artery and mitral valve surgery in Takayasu’s arteritis: a case report. Ann Thorac Cardiovasc Surg. 2012;18(1):68-70. doi: 10.5761/atcs.cr.10.01646.
- Terao C, Yoshifuji H, Kimura A, Matsumura T, Ohmura K, Takahashi M, Shimizu M, Kawaguchi T, Chen Z, Naruse TK, Sato-Otsubo A, Ebana Y, Maejima Y, Kinoshita H, Murakami K, Kawabata D, Wada Y, Narita I, Tazaki J, Kawaguchi Y, Yamanaka H, Yurugi K, Miura Y, Maekawa T, Ogawa S, Komuro I, Nagai R, Yamada R, Tabara Y, Isobe M, Mimori T, Matsuda F. Two susceptibility loci to Takayasu arteritis reveal a synergistic role of the IL12B and HLA-B regions in a Japanese population. Am J Hum Genet. 2013;93(2):289-97. doi: 10.1016/j.ajhg.2013.05.024.
- Park SJ, Kim HJ, Park H, Hann HJ, Kim KH, Han S, Kim Y, Ahn HS. Incidence, prevalence, mortality and causes of death in Takayasu Arteritis in Korea - A nationwide, population-based study. Int J Cardiol. 2017;235:100-104. doi: 10.1016/j.ijcard.2017.02.086.
- Mason JC. Surgical intervention and its role in Takayasu arteritis. Best Pract Res Clin Rheumatol. 2018;32(1):112-124. doi: 10.1016/j.berh.2018.07.008.
- Park MC, Lee SW, Park YB, Chung NS, Lee SK. Clinical characteristics and outcomes of Takayasu’s arteritis: analysis of 108 patients using standardized criteria for diagnosis, activity assessment, and angiographic classification. Scand J Rheumatol. 2005;34(4):284-92. doi: 10.1080/03009740510026526.
- Slobodin G, Zeina AR, Rosner I, Boulman N, Rozenbaum M. Chronic pain of aortitis: an underestimated clinical sign? Joint Bone Spine. 2008;75(1):96-8. doi: 10.1016/j.jbspin.2007.06.005.
- Soto ME, Espinola N, Flores-Suarez LF, Reyes PA. Takayasu arteritis: clinical features in 110 Mexican Mestizo patients and cardiovascular impact on survival and prognosis. Clin Exp Rheumatol. 2008;26(3 Suppl 49): S9-15. PMID: 18799047.
- Comarmond C, Biard L, Lambert M, Mekinian A, Ferfar Y, Kahn JE, Benhamou Y, Chiche L, Koskas F, Cluzel P, Hachulla E, Messas E, Resche-Rigon M, Cacoub P, Mirault T, Saadoun D; French Takayasu Network. Long-Term Outcomes and Prognostic Factors of Complications in Takayasu Arteritis: A Multicenter Study of 318 Patients. Circulation. 2017;136(12):1114-1122. doi: 10.1161/CIRCULATIONAHA.116.027094.
- Ely D, Tan CD, Rodriguez ER, Hussain S, Pettersson G, Gordon S. Histological Findings in Infective Endocarditis. Open Forum Infectious Diseases. 2016;3(suppl 1):1111. doi: 10.1093/ofid/ofw172.814.
- Hellmich B, Agueda A, Monti S, Buttgereit F, de Boysson H, Brouwer E, Cassie R, Cid MC, Dasgupta B, Dejaco C, Hatemi G, Hollinger N, Mahr A, Mollan SP, Mukhtyar C, Ponte C, Salvarani C, Sivakumar R, Tian X, Tomasson G, Turesson C, Schmidt W, Villiger PM, Watts R, Young C, Luqmani RA. 2018 Update of the EULAR recommendations for the management of large vessel vasculitis. Ann Rheum Dis. 2020;79(1):19-30. doi: 10.1136/annrheumdis-2019-215672.
- Halavaara M, Martelius T, Järvinen A, Antikainen J, Kuusela P, Salminen US, Anttila VJ. Impact of pre-operative antimicrobial treatment on microbiological findings from endocardial specimens in infective endocarditis. Eur J Clin Microbiol Infect Dis. 2019;38(3):497-503. doi: 10.1007/s10096-018-03451-5.
- Armstrong C, Kuhn TC, Dufner M, Ehlermann P, Zimmermann S, Lichtenstern C, Soethoff J, Katus HA, Leuschner F, Heininger A. The diagnostic benefit of 16S rDNA PCR examination of infective endocarditis heart valves: a cohort study of 146 surgical cases confirmed by histopathology. Clin Res Cardiol. 2021;110(3):332-42. doi: 10.1007/s00392-020-01678-x.
- Rovery C, Greub G, Lepidi H, Casalta JP, Habib G, Collart F, Raoult D. PCR detection of bacteria on cardiac valves of patients with treated bacterial endocarditis. J Clin Microbiol. 2005;43(1):163-7. doi: 10.1128/JCM.43.1.163-167.2005.
- Miyata T, Sato O, Deguchi J, Kimura H, Namba T, Kondo K, Makuuchi M, Hamada C, Takagi A, Tada Y. Anastomotic aneurysms after surgical treatment of Takayasu’s arteritis: a 40-year experience. J Vasc Surg. 1998;27(3):438-45. doi: 10.1016/s0741-5214(98)70318-0.
- Зотиков А.Е., Кульбак В.А., Абросимов А.В., Лаврентьев Д.А. К истории изучения болезни Такаясу и хирургических методов ее лечения // Атеротромбоз. 2020. № 2. Р. 143-160. doi: 10.21518/2307-1109-2020-2-143-160.
- Barra L, Yang G, Pagnoux C; Canadian Vasculitis Network (CanVasc). Non-glucocorticoid drugs for the treatment of Takayasu’s arteritis: A systematic review and meta-analysis. Autoimmun Rev. 2018;17(7):683-693. doi: 10.1016/j.autrev.2018.01.019.
Дополнительные файлы

















