Non-invasive diagnostics of monomorphic maculopapular cutaneous mastocytosis
- Authors: Kasikhina E.I.1,2, Petrova K.S.3, Ostretsova M.N.1, Udzhukhu V.Y.1,2,4, Goeva O.N.3, Sukhina E.K.1, Korobova A.A.3
-
Affiliations:
- RUDN University
- Moscow Scientific and Practical Center of Dermatovenereology and Cosmetology
- National Research Lobachevsky State University of Nizhny Novgorod
- Pirogov Russian National Research Medical University
- Issue: Vol 30, No 1 (2026): SURGERY
- Pages: 102-113
- Section: DERMATOLOGY
- URL: https://journals.rudn.ru/medicine/article/view/49082
- DOI: https://doi.org/10.22363/2313-0245-2025-30-1-102-113
- EDN: https://elibrary.ru/DGVGXR
- ID: 49082
Cite item
Full Text
Abstract
Relevance. Monomorphic maculopapular cutaneous mastocytosis (mMPCM) is a rare and diagnostically challenging form of cutaneous mastocytosis, often mimicking other pigmentary and papular dermatoses. The increasing incidence of mMPCM and the complexity of its differential diagnosis underscore the need for effective, non-invasive diagnostic methods. The aim of the study was to evaluate the dermoscopic features of mMPCM and compare them with findings from optical coherence tomography (OCT) and histopathological criteria, aiming to establish a non-invasive diagnostic algorithm. Materials and Methods. The study included 30 patients aged 14-30 years with mMPCM, observed at the Moscow Scientific and Practical Center of Dermatovenereology and Cosmetology, Russia from 2022 to 2024. All patients underwent clinical examination, dermoscopy, and, in selected cases, OCT imaging. Dermoscopic and OCT findings were systematically compared with histopathological results from skin biopsies. Results and Discussion. Dermoscopic examination of mMPCM lesions revealed increased yellow-brown pigmentation, preservation of skin appendages, unchanged vellus hairs, pigment pseudonetwork, and a weakly expressed asymmetric vascular pattern. Darier’s sign was more frequently detected under dermoscopy than on clinical examination. OCT imaging visualized clusters of mast cells as round or oval low-intensity signal zones, most often located in the reticular dermis, corresponding to histological mast cell infiltrates. The combination of dermoscopy and OCT allowed differentiation of mMPCM from other subtypes of cutaneous mastocytosis based on the depth and distribution of infiltrates. Notably, non-invasive methods provided valuable information for diagnosis and monitoring, reducing the need for routine biopsies. Conclusion. Integrating dermoscopy and OCT into the diagnostic workflow for mMPCM offers informative, non-invasive alternative to traditional histopathology, facilitating early and accurate diagnosis as well as monitoring of disease dynamics and therapeutic efficacy. This study is among the first to systematically compare dermoscopic and OCT findings with histopathological features in mMPCM, highlighting the unique diagnostic potential of these non-invasive techniques for rare forms of cutaneous mastocytosis.
Full Text
Introduction
Mastocytosis is a complex heterogeneous multisystem disease associated with pathological activation or accumulation of neoplastic mast cells (MCs) in one or more organs [1, 2]. It has been demonstrated that abnormal activation of clonal MCs is characteristic of all clinical forms (subtypes) of mastocytosis [3]. Hartmann K. et al. in 2016 published a consensus report that proposed a classification of cutaneous mastocytosis [4]. Skin lesions in adults with mastocytosis are defined as a monomorphic type of maculopapular cutaneous mastocytosis (MPCM), whereas in children several subtypes are distinguished: single and multiple mastocytomas, diffuse (DCM), polymorphic MPCM (pMPCM) and monomorphic MRCM (mMPCM) [5]. The monomorphic type of MPCM is usually diagnosed in adults, less often in the pediatric population. In most patients, the onset of the disease occurs after 2 years of age, closer to puberty. mMPCM is characterized by small, brown, maculopapular lesions of uniform shape and size, located primarily on the trunk and thighs (Figure 1).
In adolescents and adults, lesions may look like melanocytic nevi, making differential diagnosis difficult (Figure 2).
Fig. 1. Typical lesions in monomorphic MPCM
Fig. 2. mMPCM lesions (green arrows) and melanocytic nevus (red arrows)
In mMPCM, blister formation is rare. Blisters in mMPCM are rare. This is explained by the pathomorphological features of mMPCM, in which mast cell infiltration is mainly located in the reticular dermis with preservation of the papillary dermis, whereas in polymorphic MPCM and DCM, dense mast cell infiltration is observed in the papillary dermis [5]. In children with mMPCM, the rash has a lower tendency to spontaneous regression and persists into adulthood. Serum tryptase levels vary from normal to significantly elevated values [4].
The increase in the incidence of cutaneous mastocytosis [6, 7], the increase in the number of patients with monomorphic (“adult”) type of maculopapular cutaneous mastocytosis (mMPCM) and diffuse cutaneous mastocytosis (DCM), and the complex process of differential diagnosis dictate the need for more widespread implementation of non-invasive diagnostic methods. In recent years, new papers describing the dermoscopic features of mastocytosis have been published [8]. At the same time, publications describing the capabilities of optical coherence tomography (OCT) in mastocytosis are insufficient [9, 10].
Objective
To evaluate dermatoscopic semiotic signs of monomorphic type of maculopapular cutaneous mastocytosis and compare them with the results of optical coherence tomography and histopathologic criteria.
Material and methods
The study included 30 patients aged 14 to 30 years diagnosed with maculopapular cutaneous mastocytosis, who were observed at the Moscow Scientific and Practical Center of Dermatovenereology and Cosmetology, Russia from 2022 to 2024. The classification of clinical forms and types of cutaneous mastocytosis was carried out in accordance with the current WHO classification [2]. The clinical examination included anamnesis and physical examination of the study participants. The diagnosis was confirmed by histological examination.
Dermoscopy of rashes was performed on all patients using a device for dynamic clinical and instrumental monitoring of patients with skin lesions “MosDerma” (Patent for Utility Model No. 177110 dated 17.04.2017). Immersion and polarization dermoscopy with 20‑fold magnification was performed. To avoid capillary collapse, the pressure on the rash was minimized. In patients with a widespread skin process, at least two elements were assessed to consider all possible dermoscopic patterns. Subsequently, the identified dermoscopic patterns were compared with clinical signs and the severity of mediator symptoms in various forms of mastocytosis for each patient.
Optical coherence tomography was performed in 3 patients. An optical coherence tomograph for non-invasive examination of the internal structure of human superficial tissues “OKT‑1300-E” (high-speed modification (92000 A-scans per second), developed by BioMedTech LLC (Russia) was used. The device is equipped with a specialized probe for examining external biotissues with 3D modeling of optical “sections”. Technical characteristics of the device: radiation wavelength — 1300 nm, radiation power at the object 0.75 mW (below the level permissible by the AMSI standard), spatial resolution — 8–20 μm, scanning depth — up to 2 mm, scanning area 5×5 mm, image acquisition time — 20 seconds.
The Lumen Stratis software developed at Lobachevsky University was used for image processing and analysis (certificate of state registration of the software “Visual statistical analysis of skin structure images obtained by non-invasive methods (Lumen stratis)” No. 2024615567 dated 03/11/2024). The software is written in the Python 3.10 programming language in the open-source development environment PyCharm Community Edition 2023.2.3. Required type and version of the operating system: Windows 7/8/10/11. The Lumen Stratis software performs the following tasks: fast loading (without a converter) of OCT images; visualization of statistical analysis of images, carried out in a dialogue with the user; saving the results of the study in the formats.bmp,.JPG,.tmg,.dat,.png and txt.
Results and discussion
Dermoscopy
The frequency of detection of dermatoscopic patterns in patients with mMPCM is presented in Table 1.
Darier’s sign with wheal formation was detected in 10 patients (7 men and 3 women). Darier’s sign was detected only by dermatoscopic examination in 20 patients (14 men and 6 women).
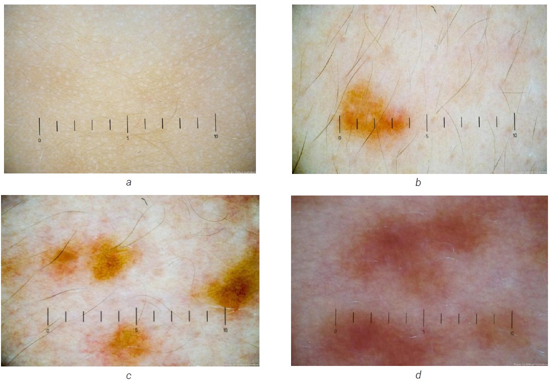
Dermoscopy of monomorphic macular lesions reveals an increase in yellow-brown color, preservation of skin appendages, unchanged vellus hair shafts, pseudonetwork pigmentation (Figure 3a), a weakly expressed asymmetric vascular pattern, and moderate erythema in adjacent areas (Figure 3b). When defining Darier’s sign, a more pronounced vascular pattern is determined, but with a predominance of the pigment component, which is associated with a deeper location of the mast cell infiltrate in the reticular dermis (Figure 3c). In pMPCM, predominant localization of the mast cell infiltrate is observed in the papillary dermis.
Fig. 3. Dermoscopy of mMPCM lesions: a — mild manifestations; b — pronounced manifestations of mMPCM; c, d — positive Darier’s sign (description in text)
Fig. 4. OCT images of healthy skin: a — made using “OKT‑1300-E”; b — processed by the Lumen Stratis software
Optical coherence tomography
The images of healthy skin of various anatomical locations showed a typical five-layer structure of skin images without pathological inclusions (Figure 4).
The same changes in varying degrees of severity were observed in the images of all foci of mastocytosis, regardless of the location and age of the patient. Within the optical equivalents of the lower part of the epidermis, the papillary layer of the dermis and, in some cases, the reticular layer of the dermis, round, oval and elongated dark zones of low signal intensity were clearly defined. The zones were of different sizes, with relatively clear boundaries (Figure 5), and corresponded to the histological description of mastocyte clusters (Figure 6) in shape, size (from 100 microns and more), characteristics and location (marked with red circles).
When identifying clusters of mast cells, these zones were differentiated from skin vessels, also represented by zones of low signal intensity. According to the available data, the resolution of this modification of the OCT device allows for the detection of pathologically dilated vessels within the papillary layer of the dermis only in patients with pathology of the main vessels (varicose veins, malformations) [11]. There were no such pathologies in the examined patients.
Fig. 5. OCT images of the skin of the lateral part of the trunk of a patient with mastocytosis in the area of a wheal (Darier’s sign +) (a) and inflammatory macule (c), non-inflammatory macule (e) and OCT images of similar areas processed by the Lumen Stratis software (b, d, f)
Fig. 6. Male-patient, 14 years old. Non-inflammatory macules of mMPCM: a — toluidine blue staining, magnification x 200; b — hematoxylin-eosin staining, magnification x 200; Mastocyte clusters — red arrows; c — dermosopy of the lesion
In addition, it has been previously shown that vessels in OCT images of vertical skin sections are represented by slit-shaped, oval and tree-shaped areas of low signal with clear boundaries, without a contour in the case of visualization of venules or with a light contour in the case of visualization of arterioles [11]. When analyzing OCT images of pathomorphological elements in patients with mastocytosis, the absence of clear boundaries was noted in areas of low intensity, defined as clusters of mast cells (Figure 5).
Thus, the OCT images within the epidermis and upper dermis visualized the desired clusters of mast cells. Attempts to visualize these objects using high-frequency ultrasound were unsuccessful. This was primarily due to the low resolution of the method, as well as the lack of the ability to clearly and in detail visualize the epidermis and dermo-epidermal junction zones of most interest to us, which are practically inseparable from the “sensor-gel-skin” interface in high-frequency ultrasound images.
Clinical examination is the first line in the diagnosis and treatment approach of cutaneous mastocytosis. However, dermoscopy and OCT are complementary tools that can improve the diagnosis of CM, monitor treatment, and provide pathophysiological characterization of the lesions.
To date, there are few studies regarding non-invasive methods of visualizing the lesions in CM. Dermoscopy is a simple method of assessing the lesions, useful as a first approach to many dermatoses associated with pigmentary disorders, and is commonly used in addition to clinical assessment [12]. OCT was first used for skin imaging in 1997 and has undergone significant technological advances since then. The high resolution and moderate penetration depth of OCT allows the method to fill the imaging gap between high-frequency ultrasound and reflectance confocal microscopy [13, 14]. The ability to visualize skin morphology and dermal blood flow using OCT allows for the evaluation of the functional and structural characteristics of inflammatory lesions in CM. Table 2 shows the сorrespondence of dermoscopic, OCT and histopathological features of lesions in mMPCM.
Table 2
Correspondence of dermatoscopic, OCT and histopathological features of lesions in mMPCM
Type of lesions | Dermoscopy | OCT | Histopathology |
Non-inflammatory macules | Yellow-brown coloration, pigment pseudonetwork (Figure 6a, b) | Rounded and elongated dark zones of low signal intensity of various sizes with relatively clear boundaries (Figure 5e, f) | The epidermis of normal thickness with hyperpigmentation of basal keratinocytes without pigment loss, infiltrates in the reticular dermis (Figure 6c) |
Inflammatory macules, papules | Peripheral erythema, punctate vessels, pigment pseudonetwork (Figu-‑re 3b, c) | The above signs in combination with optical signs of edema (decrease in signal intensity and increase in the height of the optical layers) within the optical equivalents of the epidermis and dermis (Figure 5c, d) | Superficial perivascular mast cell infiltrates in the papillary and reticular dermis (Figure 7) |
Wheals (Darier’s sign) | Erythema and linear dilated vessels (Figure 3c), intense redness with barely discernible pigment pseudonetwork (Figure 3d) | Pronounced optical signs of edema in the form of a decrease in signal intensity within all visualized layers, an increase in the depth of the useful signal, a decrease in the clarity of the boundaries, an increase in the visualization of the optical equivalents of vessels within the reticular layer of the dermis (Figure 5a, b) | The dermis is somewhat edematous, the vascular pattern is enhanced, the endothelium is swollen, the vascular lumens are dilated, there are scattered perivascular infiltrates of mast cells, fibroblasts, histiocytes and eosinophils (Figure 8a, b) |
In the clinical diagnosis of mMPCM, the most difficult are non-inflammatory spots, which are caused by mast cell infiltrates, histologically determined in the reticular dermis. On OCT images, they can look like apparently healthy skin (Figure 5e). Dermoscopy at the onset can observe a pale yellow-brown coloration with a gradual formation of a pigment pseudonetwork, which is associated with hyperpigmentation of the basal layer of the epidermis (Figure 6).
When the infiltrates are located in the papillary dermis, both macules and papules can be observed in patients (Figure 7). Dermoscopic examination demonstrates a bright yellow-brown staining of the lesion with a peripheral vascular pattern (Figure 3b, c). OCT visualizes a bright pattern of vascular reaction to mast cell infiltration of the papillary dermis (Figure 5c, d).
A prominent Darier’s sign in systemic mastocytosis may be an indicator of massive mast cell degranulation and serve as a marker for anaphylaxis. Dermoscopy shows a predominantly vascular pattern (Figure 8). Histologically, both deep and superficial perivascular mast cell infiltrates can be identified.
Fig. 7. Monomorphic type of MPCM, patient T., 27 years old.
a — a skin fragment with a subcutaneous adipose tissue area, lined with an epidermis of normal thickness with hyperpigmentation of basal keratinocytes. Hematoxylin-eosin staining, magnification x 40; b — superficial perivascular infiltrates in the dermis (red arrows). Hematoxylin-eosin staining, magnification x 200; c — an admixture of tissue mast cells of an elongated shape is detected in the infiltrate (red arrows). Some mast cells spread interstitially. Toluidine blue staining, magnification x 200; d — inflammatory macules, papules of mMPCM
Fig. 8. Systemic mastocytosis.
a — hyperpigmentation of keratinocytes of the basal layer, superficial perivascular infiltrates in the dermis. Hematoxylin-eosin staining, magnification x 200; b — an admixture of mast cells is detected in the infiltrate. Toluidine blue staining, magnification x 200; c — cutaneous manifestation of indolent systemic mastocytosis; d — dermoscopy of the lesions
Conclusion
Clinical and histopathological examinations play an important role in the diagnosis of inflammatory skin diseases. Rare diseases, including mastocytosis, tend to debut in children and adults, imitating various skin diseases. Non-invasive skin diagnostic methods, such as dermoscopy and OCT, can be useful in disease identification and differential diagnosis. Histopathological examination is useful as a clarifying diagnosis. Non-invasive methods can be used in routine practice to monitor the effectiveness of drug therapy and the dynamics of clinical manifestations.
Although the role of dermoscopy and OCT in routine clinical practice is not fully defined, non-invasive skin visualization shows promising results in cutaneous mastocytosis due to the correlation with histopathological features.
About the authors
Elena I. Kasikhina
RUDN University; Moscow Scientific and Practical Center of Dermatovenereology and Cosmetology
Author for correspondence.
Email: kasprof@bk.ru
ORCID iD: 0000-0002-0767-8821
SPIN-code: 2244-5426
Moscow, Russian Federation
Ksenia S. Petrova
National Research Lobachevsky State University of Nizhny Novgorod
Email: kasprof@bk.ru
ORCID iD: 0000-0002-4024-470X
SPIN-code: 3687-0880
Nizhny Novgorod, Russian Federation
Maria N. Ostretsova
RUDN University
Email: kasprof@bk.ru
ORCID iD: 0000-0003-3386-1467
SPIN-code: 5767-7621
Moscow, Russian Federation
Vladislav Yu. Udzhukhu
RUDN University; Moscow Scientific and Practical Center of Dermatovenereology and Cosmetology; Pirogov Russian National Research Medical University
Email: kasprof@bk.ru
ORCID iD: 0000-0002-3351-9138
SPIN-code: 2066-2303
Moscow, Russian Federation
Olesya N. Goeva
National Research Lobachevsky State University of Nizhny Novgorod
Email: kasprof@bk.ru
ORCID iD: 0009-0000-1759-2442
Nizhny Novgorod, Russian Federation
Elizaveta K. Sukhina
RUDN University
Email: kasprof@bk.ru
ORCID iD: 0009-0005-5178-2430
Moscow, Russian Federation
Anastasia A. Korobova
National Research Lobachevsky State University of Nizhny Novgorod
Email: kasprof@bk.ru
ORCID iD: 0009-0002-2917-2052
Nizhny Novgorod, Russian Federation
References
- Arber DA, Orazi A, Hasserjian RP. International Consensus Classification of Myeloid Neoplasms and Acute Leukemias: integrating morphologic, clinical, and genomic data. Blood. 2022;140:1200–1228 doi: 10.1182/blood.2022015850
- Khoury JD, Solary E, Abla O, et al. The 5th edition of the World Health Organization Classification of Haematolymphoid Tumours: Myeloid and Histiocytic/Dendritic Neoplasms. Leukemia. 2022;36:1703–1719. doi: 10.1038/s41375-022-01613-1
- Jackson CW, Pratt CM, Rupprecht CP, Pattanaik D, Krishnaswamy G. Mastocytosis and Mast Cell Activation Disorders: Clearing the air. Int J Mol Sci. 2021;22:11270. doi: 10.3390/ijms2220112703
- Hartmann K, Escribano L, Grattan C, et al. Cutaneous manifestations in patients with mastocytosis: Consensus report of the European Competence Network on Mastocytosis; the American Academy of Allergy, Asthma & Immunology; and the European Academy of Allergology and Clinical Immunology. J. Allergy Clin. Immunol. 2016;137:35–45. doi: 10.1016/j.jaci.2015.08.034
- Hermans MAW, Pasmans SGMA, Arends NJT, et al. Histopathological Characteristics Are Instrumental to Dinguish Monomorphic from Polymorphic Maculopapular Skinaceous Mastocytosis in Children. Clin. Exp. Dermatol., 2022;47:1694–1702. doi: 10.1111/ced.15262
- Kasikhina EI, Potekaev NN, Ivanova MA, Zhukova OV, Novozhilova OL, Ostretsova MN, Okenaeva A. Clinical and epidemiological features of cutaneous mastocytosis among the pediatric population of Moscow. Russian Journal of Allergy. 2024;21(1):74–81. doi: 10.36691/RJA16906 (In Russian).
- Vakirlis E, Theodosiou G, Apalla Z, et al. A retrospective epidemiological study of skin diseases among pediatric population attending a tertiary dermatology referral center in Northern Greece. Clin Cosmet Investig Dermatol. 2017;10:99–104. doi: 10.2147/CCID.S130126
- Sławińska M, Kaszuba A, Lange M, Nowicki RJ, Sobjanek M, Errichetti E. Dermoscopic Features of Different Forms of Cutaneous Mastocytosis: A Systematic Review. J Clin Med. 2022;11:4649. doi: 10.3390/jcm11164649
- Guida S, Longhitano S, Ardigò M, et al. Dermoscopy, confocal microscopy and optical coherence tomography features of main inflammatory and autoimmune skin diseases: A systematic review. Australas J Dermatol. 2022;63:15–26. doi: 10.1111/ajd.13695
- Ulrich M, Themstrup L, de Carvalho N, et al. Dynamic Optical Coherence Tomography in Dermatology. Dermatology. 2016;232:298–311. doi: 10.1159/000444706
- Petrova KS, Nemirova SV, Petrova GA, Karpenko AA, Proydakova EV, Strongin LG, Shchukina DA. 3D optical coherence tomography for in vivo assessment of morphological state of skin and skin vessels in diabetes mellitus. Russian Journal of Clinical Dermatology and Venereology. 2022;21(5):672–680. doi: 10.17116/klinderma202221051672 (In Russian).
- Sgouros D, Apalla Z, Ioannides D, et al. Dermoscopy of Common Inflammatory Disorders. Dermatol Clin. 2018;36:359–368. doi: 10.1016/j.det.2018.05.003
- Olsen J, Themstrup L, Jemec GB. Optical coherence tomography in dermatology. G Ital Dermatol Venereol. 2015;150:603–15
- Olsen J, Holmes J, Jemec GB. Advances in optical coherence tomography in dermatology-a review. J Biomed Opt. 2018;23:1–10. doi: 10.1117/1.JBO.23.4.040901
Supplementary files


















