Application of monoclonal antibodiesin primary chronic osteomyelitis of the mandible in children
- Authors: Kugushev A.Y.1, Lopatin A.V.2,3, Dagher S.2
-
Affiliations:
- N.I. Pirogov Russian National Research Medical University
- RUDN University
- Dmitry Rogachev National Medical Research Center of Pediatric Hematology, Oncology and Immunology
- Issue: Vol 30, No 1 (2026): SURGERY
- Pages: 92-101
- Section: SURGERY
- URL: https://journals.rudn.ru/medicine/article/view/49081
- DOI: https://doi.org/10.22363/2313-0245-2025-30-1-92-101
- EDN: https://elibrary.ru/CZMLUC
- ID: 49081
Cite item
Full Text
Abstract
Relevance. Primary chronic osteomyelitis (PCO) is a rare condition that poses diagnostic challenges, primarily affecting children between the ages of 5 and 17. It can occur in various bones, including the mandible in the maxillofacial region. The complexity of distinguishing PCO from infections, tumors, metabolic disorders, and other inflammatory conditions has led to misdiagnoses, resulting in inappropriate treatment strategies and recurrent episodes. Currently, there is no standardized treatment protocol for PCO, with most therapies starting with non-steroidal anti-inflammatory drugs (NSAIDs) to manage symptoms. The purpose of this case report is to find a new treatment approach by using monoclonal antibodies such as Denosumab in the treatment protocol. Monoclonal antibodies like Denosumab have shown promising results by targeting the RANKL-RANK interaction, inhibiting osteoclast activity, and reducing inflammatory bone resorption. Materials and Methods: In the Department of Maxillofacial Surgery of the Russian Children’s Clinical Hospital - a branch of the Federal State Autonomous Educational Institution of Higher Education Russian National Research Medical University named after. N.I. Pirogov of the Ministry of Health of the Russian Federation of Moscow from 2015 to 2023, 45 children underwent inpatient treatment for primary chronic osteomyelitis (PCO). Of these, 17 children received combination therapy, which included decortication with removal of all granulomatous tissue and administration of the drug Denosumab, and that is after receiving negative culture results which conforms the diagnose of PCO. From these 17 patients, a 9-year-old girl with a persistently relapsing course was selected for this article. Results: The treatment methods employed in this clinical case successfully increased the density of the affected area. However, if small cystic components were retained and the sanitation of the granulated tissues was incomplete, a relapse occurred, necessitating repeated surgical treatment. Conclusion: By using this approach, we found that the intervals between collapses have been prolonged; leaving no doubt that the addition of Denosumab to the treatment protocol has played a significant role in achieving this optimal result by maintaining remission stability, even after the symptoms disappeared.
Full Text
Introduction
Primary Chronic Osteomyelitis (PCO) is a rare autoinflammatory disorder mostly affecting children and adolescents and lacks a bacterial origin. The term «Chronic Non-bacterial Osteomyelitis» was first introduced by Bjorksten et al. in 1980 to describe a clinical state marked by the persistent occurrence of chronic sterile osteomyelitis [1–3].
This disease, along with any other autoimmune disease, is characterized by the spontaneous activation of the innate immune system, which results in bone inflammation [4–7]. This phenomenon is evident through recurrent cycles of remission and exacerbation, manifesting as episodes of pain and fever accompanied by sterile cultures that do not respond to antibiotic treatment [8, 9].
The suspicion of PCO arises in the absence of clear indicators of bone infection, such as pus, fistula formation, or sequestrum. Consequently, the diagnostic process is challenging and typically involves the exclusion of other bone pathologies through radiographic imaging and, when necessary, biopsy [10, 11].
In the absence of placebo-controlled trials, treatment of PCO relies on personal experience, case collections, and expert opinion. Nonsteroidal anti-inflammatory drugs (NSAIDs) such as Ibuprofen and Naproxen, are regarded as the first-line treatment, demonstrating efficacy in pain management and inducing remission in approximately 43% to 83% of patients. In patients who are refractory to NSAID or in individuals with vertebral lesions, more aggressive treatment is commonly applied, including corticosteroids, sulfasalazine (SSZ), methotrexate (MTX), or TNF-α inhibitors [12, 13].
Due to the pivotal involvement of RANK and its ligand RANKL in the primary pathophysiological mechanisms associated PCO, Denosumab as a monoclonal antibody that specifically targets RANKL, an acronym for Receptor Activator of Nuclear Factor-Kappa B Ligand [14, 15], has recently been employed as a therapeutic intervention. By inhibiting the activation of RANKL on the surface of osteoclasts, Denosumab subsequently influences the RANK receptor. This blockade of the interaction between RANKL and RANK effectively hinders osteoclast differentiation, functionality, and longevity, thereby leading to a reduction in bone resorption [16–20].
Material and methods
At the Department of Maxillofacial Surgery of the Russian Children’s Clinical Hospital (RDKB), a branch of the Federal State Autonomous Educational Institution of Higher Education at the Russian National Research Medical University named after N.I. Pirogov, under the Ministry of Health of the Russian Federation in Moscow, 45 children received inpatient treatment for primary chronic osteomyelitis (PCO) from 2015 to 2023.
Among these patients, a 9‑year-old girl with a persistently relapsing course was selected for this article. In her clinical case, debridement and decortication were performed, involving the resection of granulomatous fibro-osseous tissue from the affected area. Subsequent culture and morphological analysis verified the aseptic characteristics of the inflammatory condition. Following this, a single administration of the monoclonal antibody Denosumab was performed. Prior to the administration of the monoclonal antibodies, the patient underwent standard biochemical assessments of blood and urine to exclude the possibility of renal dysfunction, and informed consent was secured for the off-label application of the medication.
The patient’s parents provided informed voluntary consent to participate in the study according to the Helsinki Declaration of the World Medical Association (WMA Declaration of Helsinki — Ethical Principles for Medical Research Involving Human Subjects, 2013) and personal data processing.
Clinical case description
Description of the clinical case: A 9‑year-old female patient had been ill since February 2020, when she first exhibited facial asymmetry accompanied by pain in the lower jaw. A lower jaw anomaly was identified through multi-slice computed tomography (MSCT) conducted at her place of residence. Subsequently, a surgical procedure was performed, during which a biopsy was obtained, leading to a diagnosis of fibrous dysplasia of the left half of the lower jaw.
Over the following year, the patient experienced recurrent episodes of her condition, necessitating her admission to RDKB hospital in January 2021 for further evaluation and treatment. Upon her admission, notable asymmetry of the lower jaw was observed, attributed to bone deformation in the left body of the lower jaw (Figure 1).
Fig 1. Patient’s visual evaluation when admitted to the hospital for the first time
Diagnosis
The MSCT imaging reveals edema and deformity in the left segment of the mandible. The affected osseous structure exhibits uneven compaction resembling a «ground glass» appearance, accompanied by localized areas of softening and disruption of the cortical layer. Notably, there is a periosteal thickening along the anterior surface of the altered bone, measuring up to 2.5 mm. Additionally, the mandibular canal demonstrates widening, and the compaction of bone extends into the right segment over a distance of 10 mm. The left masseter muscle appears slightly hypertrophied, and the surrounding soft tissues exhibit edema, with linear compaction extending to the skin (Figure 2).
Fig. 2. MSCT scan in January 2021 shows the affected area that includes the body, angle and the ramus of the left half of the mandible. It can also be noted the widening of the mandibular canal on the left side
Treatment
In light of the clinical and radiographic findings, a surgical intervention was conducted involving the excision of fibrously altered tissues using Volkmann spoon and a bur until the sclerotic margins of the cavity were palpated. In the area corresponding to tooth 3.8, the cortical layer was excised, and the rudimentary structure of tooth 3.8 was extracted. The excised tissue was subsequently sent for culture and histopathological analysis. The postoperative course was uneventful, during which antibacterial and symptomatic therapies were administered, along with a single dose of 60 mg of the monoclonal antibody Denosumab.
Histological analysis of the provided bone material revealed fragments of spongy bone with areas of osteolysis and reactive bone formation. The intertrabecular spaces were occupied by loose fibrous connective tissue, which contained minimal foci of productive, non-granulomatous inflammation. The results from the culture did not demonstrate any microbial growth, thereby conforming the sterilized status of the PCO. Following an improvement in the patient’s condition, the child was discharged under the care of specialists at their place of residence.
Observation
Throughout the subsequent year, no relapses were observed; however, in the month prior to the second admission which was in April 2022, the patient experienced mild pain on the right side of the lower jaw, necessitating readmission to the RDKB. A MSCT scan conducted upon admission revealed a softening focus measuring up to 5 mm in depth and 1 cm in diameter located at the angle of the right half of the lower jaw, accompanied by a cystic cavity in the vicinity of the roots of tooth 3.5. Additionally, an irregular structure of the body of the left half of the lower jaw was noted (Figure 3).
Fig. 3. MSCT scan in April 2022 exhibits the extension of the bone destruction on both halves of the mandible
Consequently, a decision was made to perform decortication on both sides and to excise the fibrous-altered tissues utilizing Volkmann spoons until the sclerotic margins of the cavity were palpated. Since the patient’s general condition and radiological findings before the second admission were not as serious as her condition when she was first admitted, and since we had already given the patient a dose of 60 mg of denosumab, which is considered a rather high dose, and for fear of complications of this drug such as osteonecrosis of drug use, it was decided not to repeat the dose in the postoperative period, which was uneventful, and the patient received antibacterial treatment (Medaxone, Metrogyl) along with symptomatic therapy.
Discussion
Monitoring the patient’s condition in the year following reveals that the regions of bone destruction were filled, despite the retention of the irregular morphology of the external contour of the mandible. Notably, the child remained pain free throughout this period (Figure 4).
Fig. 4. MSCT scan in May 2023 showing the recovering process of the mandible with the remaining of uneven contour of the left half of the mandible
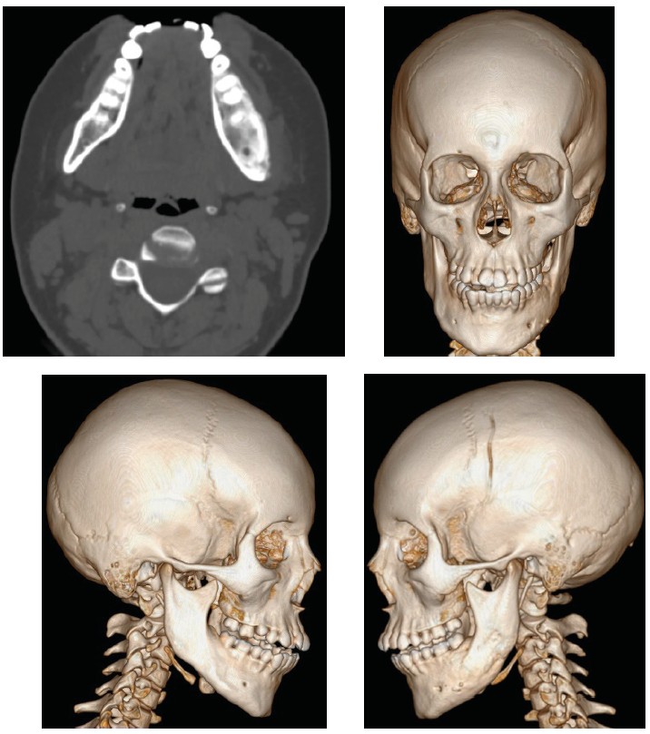
Similarly, a MSCT scan conducted in June 2024, one year later, revealed evidence of bone regeneration, with the external contour of the mandible returning to its typical dimensions and morphology (Figure 5).
Fig. 5. MSCT scan in June 2024 exhibiting the evidence of bone regeneration and positive dynamic of the treatment protocol. It can be clearly seen the positive effect of adding Denosumab to the treatment protocol in keeping the good outcome of the operation
Although Denosumab is most commonly used to treat osteoporosis in the elderly and postmenopausal women, it is now being considered as a first-line treatment for primary chronic osteomyelitis. We can see the added benefit of using Denosumab in the treatment plan in achieving stable remission, extending the time period between relapses and consolidating resorption zones. This is illustrated by comparing the patient’s condition prior to hospitalization, marked by frequent relapses within a single year, to the following year, during which the patient experienced no pain.
Conclusion
The therapeutic interventions used in this clinical case effectively enhanced the density of the impacted region. Nevertheless, in instances where minor cystic elements were not completely removed and the decontamination of the granulated tissues was inadequate, a recurrence ensued, prompting the need for additional surgical intervention. The utilization of Denosumab postoperatively contributed to the maintenance of disease remission. The most commonly used doses among adult patients are 120 or 60 mg. However, since our patients are children and their anthropometric parameters differ from adults, it was decided to adjust the dose based on the weight and height of the children. This decision was made to choose smaller doses to prevent the risk of osteonecrosis as it is known as the most common complication after using the Anti-resorptive drugs, while ensuring effective rehabilitation and prolonging the periods between relapses.
The inquiry regarding the differential response to Denosumab treatment among patients persists as a topic for future discussion and scientific investigation. Specifically, it remains unclear why certain individuals achieve satisfactory outcomes with a single dose, while others require multiple doses to attain the desired therapeutic effect.
It is essential to determine the correct dosage, treatment duration, and administration frequency of these medications to achieve optimal results and minimize the risk of postoperative complications typically associated with this class of drugs. Consequently, a comprehensive strategy for managing PCO should include antiresorptive therapy. The incorporation of monoclonal antibodies represents an innovative approach to PCO management, aimed at enhancing treatment efficacy.
About the authors
Alexander Yu. Kugushev
N.I. Pirogov Russian National Research Medical University
Email: suzandager@yandex.com
ORCID iD: 0000-0002-6881-7709
SPIN-code: 3045-0722
Moscow, Russian Federation
Andrey V. Lopatin
RUDN University; Dmitry Rogachev National Medical Research Center of Pediatric Hematology, Oncology and Immunology
Email: suzandager@yandex.com
ORCID iD: 0000-0003-0043-9059
SPIN-code: 6341-8912
Moscow, Russian Federation
Suzan Dagher
RUDN University
Author for correspondence.
Email: suzandager@yandex.com
ORCID iD: 0009-0004-1950-4011
Moscow, Russian Federation
References
- Zhao Y, Wu EY, Oliver MS, Cooper AM, Basiaga ML, Vora SS, Lee TC, Fox E, Amarilyo G, Stern SM, Dvergsten JA. Consensus treatment plans for chronic nonbacterial osteomyelitis refractory to nonsteroidal antiinflammatory drugs and/or with active spinal lesions. Arthritis Care & Research. 2018;70(8):1228–1237. doi: 10.1002/acr.23462
- Huber AM, Lam PY, Duffy CM, Yeung RS, Ditchfield M, Laxer D, Cole WG, Graham HK, Allen RC, Laxer RM. Chronic recurrent multifocal osteomyelitis: clinical outcomes after more than five years of follow-up. J Pediatr. 2002;141(4):198–203. doi: 10.1093/rheumatology/kev013
- Schnabel A, Range U, Hahn G, Berner R, Hedrich CM. Treatment response and longterm outcomes in children with chronic nonbacterial osteomyelitis. The Journal of Rheumatology. 2017;44(7):1058–1065. doi: 10.3899/jrheum.161255
- Majeed HA, Kalaawi M, Mohanty D, Teebi AS, Tunjekar MF, Al-Gharbawy F, Majeed SA, Al-Gazzar AH. Congenital dyserythropoietic anemia and chronic recurrent multifocal osteomyelitis in three related children and the association with Sweet syndrome in two siblings. The Journal of pediatrics. 1989;115(5):730–734. doi: 10.1016/S0022-3476(89)80650-X
- De Jesus AA, Canna SW, Liu Y, Goldbach-Mansky R. Molecular mechanisms in genetically defined autoinflammatory diseases: disorders of amplified danger signaling. Annual review of immunology. 2015;33(1):823–874. doi: 10.1146/annurev-immunol‑032414–112227
- Cimaz R. An update on the pathogenesis and treatment of chronic recurrent multifocal osteomyelitis in children. Pediatric Drugs. 2017;19(12):165–172. doi: 10.1007/s40272-017-0226-4
- Andronikou S, Kraft JK, Offiah AC, Jones J, Douis H, Thyagarajan M, Barrera CA, Zouvani A, Ramanan AV. Whole-body MRI in the diagnosis of paediatric CNO/CRMO. Rheumatology. 2020;59(10):2671–2680. doi: 10.1093/rheumatology/keaa303
- Kim SM, Lee SK. Chronic non-bacterial osteomyelitis in the jaw. Journal of the Korean Association of Oral and Maxillofacial Surgeons. 2019;45(2):68–75. doi: 10.5125/jkaoms.2019.45.2.68
- Timme M, Bohner L, Huss S, Kleinheinz J, Hanisch M. Response of different treatment protocols to treat chronic non-bacterial osteomyelitis (CNO) of the mandible in adult patients: a systematic review. International Journal of Environmental Research and Public Health. 2020;17(5):1737. doi: 10.3390/ijerph17051737
- Ferguson PJ, Stern SM. Autoinflammatory bone diseases. Rheum Dis Clin North Am. 2013;39(4):735–749. doi: 10.1016/j.rdc.2013.05.002
- Hofmann SR, Kapplusch F, Girschick HJ, Morbach H, Pablik J, Ferguson PJ, Hedrich CM. Chronic recurrent multifocal osteomyelitis (CRMO): presentation, pathogenesis, and treatment. Current osteoporosis reports. 2017;15:542–554. doi: 10.1007/s11914–017–0405–9
- Costa-Reis P, Sullivan KE. Chronic recurrent multifocal osteomyelitis. Journal of clinical immunology. 2013; 33(6):1043–1056.doi: 10.1007/s10875-013-9902-5
- Zhen G, Fu Y, Zhang C, Ford NC, Wu X, Wu Q, Yan D, Chen X, Cao X, Guan Y. Mechanisms of bone pain: Progress in research from bench to bedside. Bone Research. 2022;10(1):44. doi: 10.1038/s41413-022-00217‑w
- Otto S, Burian E, Troeltzsch M, Kaeppler G, Ehrenfeld M. Denosumab as a potential treatment alternative for patients suffering from diffuse sclerosing osteomyelitis of the mandible — A rapid communication. Journal of Cranio-Maxillofacial Surgery. 2018; 46(4):534–537. doi: 10.1016/j.jcms.2017.10.011
- Polyzos SA, Makras P, Tournis S, Anastasilakis AD. Off-label uses of denosumab in metabolic bone diseases. Bone. 2019;129:115048. doi: 10.1016/j.bone.2019.115048
- Cummings SR, Martin JS, McClung MR, Siris ES, Eastell R, Reid IR, Delmas P, Zoog HB, Austin M, Wang A, Kutilek S. Denosumab for prevention of fractures in postmenopausal women with osteoporosis. New England Journal of Medicine. 2009;361(8):756–765. doi: 10.1056/NEJMoa0809493
- LeBoff MS, Greenspan SL, Insogna KL, Lewiecki EM, Saag KG, Singer AJ, Siris ES. The clinician’s guide to prevention and treatment of osteoporosis. Osteoporosis international. 2022;33(10):2049–2102. doi: 10.1007/s00198-021-05900‑y
- Otto S, Troeltzsch M, Burian E, Mahaini S, Probst F, Pautke C, Ehrenfeld M, Smolka W. Ibandronate treatment of diffuse sclerosing osteomyelitis of the mandible: Pain relief and insight into pathogenesis. Journal of Cranio-Maxillofacial Surgery. 2015;43(9):1837–1842. doi: 10.1016/j.jcms.2015.08.028
- Przepiera-będzak Hanna, Brzosko Marek. SAPHO syndrome: pathogenesis, clinical presentation, imaging, comorbidities and treatment: a review. Advances in Dermatology and Allergology/Postępy Dermatologii i Alergologii. 2021;38(6):937–942. doi: 10.5114/ada.2020.97394
- Kugushev AYu, Lopatin AV, Yasonov SA, Grachev NS. Experience with the targeted treatment of diffuse sclerosing jaw osteomyelitis in children. Head and Neck/Голова и шея. Russian edition. Journal of the All-Russian public organization Federation of specialists in the treatment of head and neck diseases. 2020; 8(3):44–53. (In Russian). doi: 10.25792/HN.2020.8.3.44-53
Supplementary files















