Аутотрансплантат и 3D-печатный имплантат при реконструкции лобной области
- Авторы: Кугушев А.Ю.1, Лопатин А.В.2,3, Садек Ф.2, Дагер С.2
-
Учреждения:
- Российский национальный исследовательский медицинский университет им. Н.И. Пирогова
- Российский университет дружбы народов
- Национальный медицинский исследовательский центр детской гематологии, онкологии и иммунологии имени Дмитрия Рогачёва
- Выпуск: Том 30, № 1 (2026): ХИРУРГИЯ
- Страницы: 66-79
- Раздел: ХИРУРГИЯ
- URL: https://journals.rudn.ru/medicine/article/view/49079
- DOI: https://doi.org/10.22363/2313-0245-2025-30-1-66-79
- EDN: https://elibrary.ru/CYRUQS
- ID: 49079
Цитировать
Полный текст
Аннотация
Актуальность. Фиброзная дисплазия - патологическое состояние, характеризующееся замещением нормальной кости фиброзной тканью. Прогрессирование этого расстройства обычно стабилизируется с возрастом. Клинически это может проявляться в виде безболезненного отека и асимметрии лица. Рентгенологическое исследование выявляет четко очерченные края, интрамедуллярное расширение, сохранение гладкого кортикального контура и вид матового стекла. Гистологически это состояние отличается наличием фиброзной ткани, заменяющей кость, а также нерегулярно расположенными и беспорядочно ориентированными костными трабекулами. Современные подходы к лечению часто включают хирургическое вмешательство с использованием изготовленных на заказ имплантатов из полиэфирэфиркетона (ПЭЭК) или аутогенных костных трансплантатов, таких как трансплантаты свода черепа. Материалы и методы. В отделении челюстно-лицевой хирургии Российской детской клинической больницы (РДКБ) - филиала ФГАОУ ВО «Российский национальный исследовательский медицинский университет им. Н.И. Пирогова» с 2016 по 2023 г. проводилось лечение 65 пациентов с гистологически подтвержденной фиброзной дисплазией лобной кости. Из них 2 пациентам (девочке 7 лет и мальчику 17 лет) были выполнены операции с использованием 3D-имплантатов из PEEK, а 2 пациентам (мальчику 6 лет и девочке 9 лет) - операции с использованием трансплантата из кости свода черепа. Результаты и обсуждение. Применение 3D-имплантатов эффективно усилило первичную стабильность реконструированной области. Поражение было успешно устранено, достигнув оптимального эстетического результата, характеризующегося сочетанием прочности, легкости и биосовместимости, без каких-либо наблюдаемых осложнений или неудач. В частности, рецидивы были выявлены у пациентов, прошедших лечение с использованием трансплантатов свода черепа в течение пяти лет после операции. Выводы. PEEK - это термопластичный полимер, характеризующийся своими нерассасывающимися и непористыми свой-ствами, что позволяет проводить интраоперационные модификации и обеспечивает оптимальные характеристики визуализации в послеоперационный период. С другой стороны, было отмечено, что аутотрансплантаты могут демонстрировать более высокий риск неудач по сравнению с изготовленными на заказ имплантатами.
Ключевые слова
Полный текст
Introduction
Fibrous dysplasia (FD) is primarily a benign, hamartomatous, developmental dysplastic bone lesion that impacts multiple skeletal bones [1]. The majority of affected individuals are female, presenting with bone tumors and tumor-like lesions [2]. FD is characterized by a developmental anomaly that results in the replacement of normal bone tissue with fibro-osseous material, which exhibits varying degrees of osseous metaplasia [3–5].This condition is not limited to a single bone; rather, it may be localized to a specific anatomical region [3].While these lesions primarily affect the maxilla, they can also extend across sutures to involve adjacent or contiguous bones, including the sphenoid, zygomatic, temporal bones, frontonasal bones, and the base of the skull [6, 7]. Craniofacial fibrous dysplasia can lead to facial deformities, asymmetry, and, in severe instances, blindness due to the involvement of the orbital bones and subsequent compression of the contents within the orbital canal [8–10].
In addition, the diagnosis is complicated by the variety of radiographic manifestations due to the staging of the disease [11]. The principal classifications of fibrous dysplasia include monostotic, polyostotic, and craniofacial forms [12, 13]. Polyostotic fibrous dysplasia may be associated with McCune-Albright syndrome and Mazabraud syndrome [14]. In the case of McCune-Albright syndrome, multifocal FD is often accompanied by café au-lait spots, endocrine abnormalities, and precocious puberty. Conversely, Mazabraud syndrome is characterized by the association of fibrous dysplasia with muscular myxomas [14, 15].
The radiographic findings are characteristic. There is a diffuse enlargement of the affected region accompanied by the destruction of bone tissue, which presents as alternating small areas of increased density and decreased density. This results in a “ground glass” appearance [16].
Reconstruction of frontal bone has been explored in the literature, and various materials are available for rehabilitation, like auto/allografts, and alloplastic materials, including bone cement, titanium meshes, and patient-specific implant (PSI) [17, 18].
Materials and methods
In the Department of Maxillofacial Surgery of the Russian Children’s Clinical Hospital of the Russian National Research Medical University named after N.I. Pirogov of the Ministry of Health of the Russian Federation in Moscow, 65 children received surgical treatment for a frontal bone dysplasia from 2016 to 2023. The beginning of treatment for all these patients started with bi-coronal incision, following by anterior scalp flap, then craniotomy of the frontal bone was performed for resection of the affected area. Among the 65 children, 52 of them were treated with 3D implant made from PEEK implant and the remaining 13 patients had auto bone graft (calvarial graft).
From this group, 4 patients were selected for this article; 2 patients (7 years old girl, and 17 years old boy) which had multi-spiral computed tomography (MSCT) followed by 3D implant (PEEK) reconstruction. Other patients (6 years old boy, and 9 years old girl) had the same diagnosis process but were treated differently by using calvarial graft from cranial partial bone. A post-operation CT scan was made for a check-up every one year until the next eight years.
The diagnose of all cases was conformed with post-operation histological examination results that showed multiple bone fragments with pathological tissue of moderate cellularity with irregular shape, areas of maturation along the periphery, and moderate cellularity with irregular shape convoluted bone trabeculae of non-lamellar structure without osteoblastic.
The choice of treatment was taken on the bases of patient’s ages, volume of affected area and the parents’ own wish.
Results and discussion
Clinical case 1
Description of the clinical case
A 7‑years-old girl presented with painless swelling over the left side of her frontal bone region since 2019, CT scan of the skull was performed, and she was primary diagnostic with polyostotic form of fibrous dysplasia. The patient had no history of trauma, or other associated disease related to FD. Consulted in the outpatient department of the RCCH for the first time in 2022, where hospitalization was recommended and the patient was admitted to the maxillofacial surgery department.
Diagnosis
The MSCT imaging revealed affected osseous structure diffuse ill-defined expansible ground glass lesion appearance involving craniofacial region. Notably there was a periosteal thickening along the anterior surface of the left frontal and partial bone. Clinically, a change in the configuration of the face was visualized without pain (Figures 1, 2).
Treatment
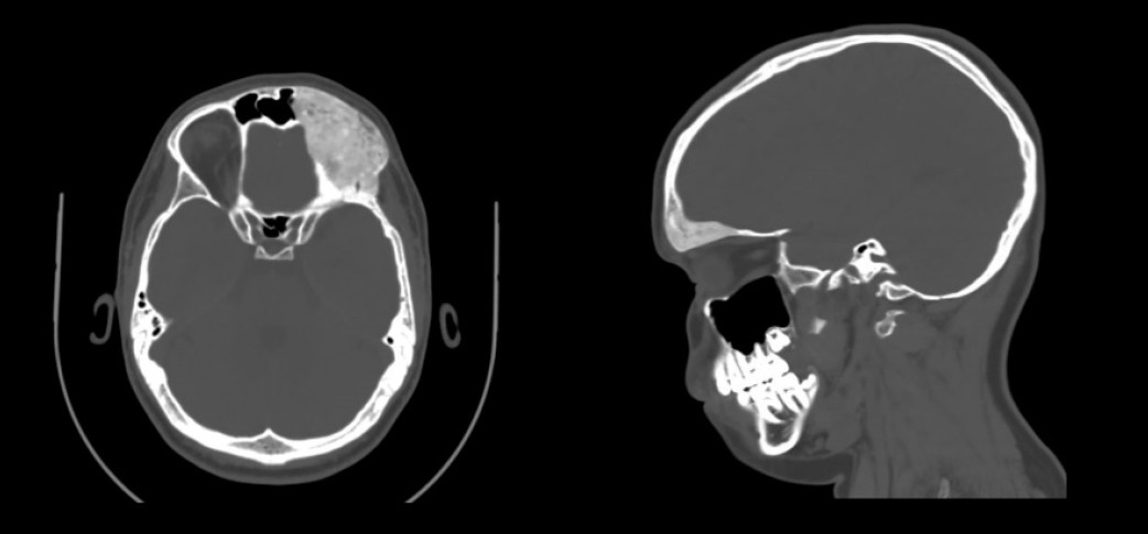
The reconstruction of the orbital roof and frontal bone was planned and conducted by using a customized modeled implant based on polyetheretherketone (PEEK). Fibrous dysplasia of parietal bone was removed and the defect was closed using a custom made hydroxyapatite prosthesis (Figure 3).
Observation
Following an improvement in the patient’s condition after 2 weeks post-operative follow-up, the child was discharged under the care of specialists at their place of residence. During the 3 years of follow up observation, MSCT scan control did not reveal any data of progression of the disease. Additionally a successful osteogenesis was noted between the PEEK implant and the bone (Figure 4).
Fig. 1. MSCT (3D cut) showing bony expansion over the left frontal bone region in preoperative stage on 2022
Fig. 2. Preoperative axial computed tomographic image exhibiting characteristic ground-glass opacification of fibrous dysplasia involving the left frontal
Fig. 3. MSCT (3D cut) scan showing post-operative surgery in 2022, with implant fixed by mini plates and mini screws on the left frontal bone and hydroxide appetite prosthesis in the left partial bone
Clinical case 2
Description of the clinical case
A 17‑year-old male had a multi-slice computed tomography MSCT scan due to asymmetry observation in his forehead on the end of September 2023 which raised suspicions of a pathological formation. Upon consultation at RCCH at the beginning of July 2024, the patient was admitted in to the maxillofacial surgery department for further treatment and observation.
Diagnosis
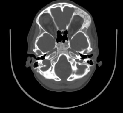
The MSCT imaging revealed edema, deformity structure exhibits uneven compaction resembling a “ground glass” appearance in the right frontal bone (Figure 5). A diagnosis of fibrous dysplasia of the right frontal bone was established.
Additionally, a preoperative three-dimensional image and axial computed tomographic scan illustrate the distinctive ground-glass opacification characteristic of fibrous dysplasia affecting the left frontal, temporal, and sphenoid bones.
Fig. 5. A preoperative coronal computed tomographic image obtained on September 2023, reveals dysplastic growth of the left temporal bone, which is associated with frontal involvement and displacement of the orbital contents
Fig. 6. A synthesis polyethertherketone (PEEK) implant. a — 3D PEEK Customized Implants designed individually for the patient to replace bony voids in the cranial and craniofacial skeleton; b and c — intraoperative view following fixation of polyetheretherketone (PEEK) implant with mini-plate and mini-screws
Treatment
A synthesis polyethertherketone (PEEK) implant was fixed by mini plate and mini screw to the affect area (Figure 6).
Observation
In the postoperative period, the patient received antibacterial therapy with combination of infusion pain killer and dexamethasone. The patient was discharged home in a stable condition after 2 weeks from operations.
Clinical Case 3
Description of the clinical case
A 6 years old boy has been ill since 2016, when a forehead asymmetry was first noticed by his parents. After one month later, a CT scan was performed and a bone density formation was found in the area of the zygomatic arch of the frontal bone and in the area of the parietal bone on the left (Figure 8). The patient was admitted to the maxillofacial surgery department for treatment in RCCH on 2016 after consultation.
Fig. 7. MSCT postoperative on July 2024. (a) MSCT with three-dimensional reconstruction checkup (b) postoperative coronal and axial computed tomographic image with 3D, showing no recurrence signs of the disease
Fig. 8. Appearance of the child upon admission at RCCH on 2016, with forehead highlighting the gross asymmetry of the left supraorbital rim in comparison to the contralateral side. The skin above the formation is unchanged
Diagnosis
MSCT of the skull shows the affected osseous which is related to polyostotic craniofacial form of fibrous dysplasia in the left frontal bone and left parietal bone (25×40 mm in size and 7 mm in thickness). Locally, a bone density formation is visualized and palpated in these areas, originating from the bones (Figure 9).
Fig. 9. Preoperative axial CT image exhibiting characteristic homogeneously dense appearance of fibrous dysplasia involving the left frontal bone
Treatment
A split auto-graft taken from the left parietal bone was remodeled to fit in the left frontal bone defect then fixed by mini-plate and mini-screw following by placing and fixing the internal cortical graft in the defect of the left parietal region (Figure 10).
Observation
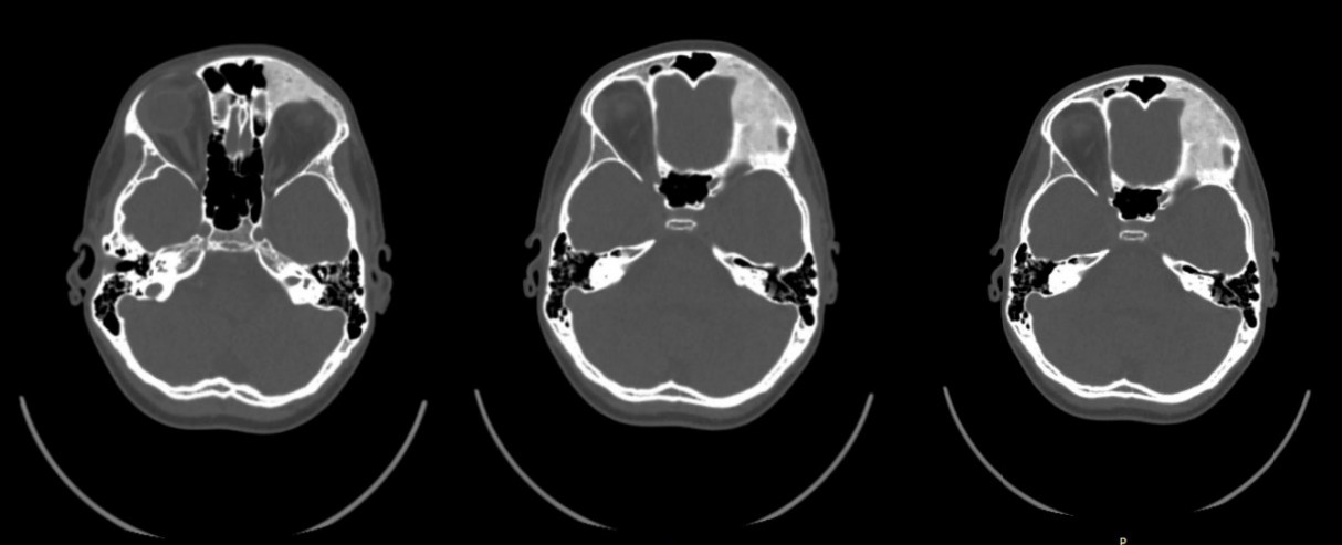
In the postoperative period, the patient received antibacterial, infusion and symptomatic therapy. Healing by primary intention with the bone configuration looking normal. The patient was discharge home after 2 weeks from the operation day. He was monitored each year in RCCH by a follow up MSCT of skull. Recurrent episodes of this condition was revealed in 2022. MSCT showed evidence of bone regeneration and recurrence, with “hazy ground glass” appearance again in the same treated area in the left frontal bone region. (Figure 11). In 2025, a MSCT has been done again, and we noticed fast progression of FD in the same affected area (Figures 12, 13).
Fig. 10. A split auto-graft. a — MSCT with three-dimensional reconstruction check-up, one day after the operation; b — Postoperative axial CT image
Fig. 11. MSCT scan showing recurrence of FD on the left frontal bone in 2022
Fig. 12. MSCT revealed of fibrous dysplasia on the left frontal bone in 2025
Fig. 13. Axial and sagittal computed tomographic image exhibiting characteristic ground-glass opacification of fibrous dysplasia involving the left frontal bones in 2025
Clinical Case 4
Description of the clinical case
A 9 year old girl presented volume formation and growth in the right frontal bone in the winter of 2021. Due to no complain by this formation, the patient did not received any treatment back then. The patient was admitted to the RCCH for the first time for examination and treatment 2022, where a MSCT was done, due to notable facial asymmetry.
Diagnosis
MSCT of the skull shows monostatic fibrous dysplasia in the right frontal bone (5x5 cm). A focus of fibrous dysplasia with damage to the frontal bone and orbital roof was revealed. Additionally, edema and deformity in the right frontal bone was observed (Figure 14).
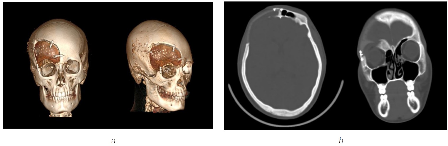
Fig. 14. The edema and deformity in the right frontal bone. a — 3D computed tomography image shows increased dimensions of the right frontal bone; b — axial computed tomography image with expansion of right frontal bone
Fig. 15. Post-operation MSCT with three-dimensional reconstruction check-up
Treatment
A split graft from the cranial vault was planned. A 5×5 cm fragment was taken from the adjacent area of the unchanged frontal bone, which was subsequently split into 2 fragments with the return of the inner cortical plate to the donor area, and the outer cortical layer was cut into 3 fragments and re-modeled. The graft fragments were fixed to each other and to the skull bones (Figure 15).
Observation
In the postoperative period, the girl was under observation in the intensive care unit for 24 hours. The postoperative period is satisfactory and a course of antibiotic, infusion, and symptomatic therapy was administered.
The patient had some complications and changes in the right frontal region, with the presence of an epidural hematoma and air spreading to the area of the supra- and lateral walls of the right orbit after few days from the operation. In the soft tissues of the right orbit there are postoperative consolidations and edema. The lymph nodes of the neck, parotid and submandibular regions are enlarged, with a cyst of the temporomandibular joint. After treating and stabilizing the condition with analgesics and antibiotics, the patient was discharged 2 weeks later, after completing course of treatment under intensive observation in the department.
The recommended treatment modalities for craniofacial dysplasia can be categorized into three distinct groups: observation, pharmacological intervention, and surgical intervention. Surgical treatment remains the preferred approach for this condition, as it aims to rectify or prevent deformities and functional impairments [19]. Furthermore, multi-slice computed tomography (MSCT) is instrumental in the diagnosis and treatment planning for fibrous dysplasia (FD) [20, 21]. The optimal surgical intervention for FD in the craniofacial region involves the utilization of customized polyetheretherketone (PEEK) implants or calvarial autografts [22]. Numerous studies have highlighted the advantages of employing PEEK, particularly in our clinical case studies, which indicate that the regions of the frontal bone treated with prefabricated PEEK implants — designed using preoperative CT scans — exhibited no signs of recurrence and maintained stable operative areas with favorable osteogenic conditions. PEEK has gained prominence in the medical field as an implant material, particularly in surgeries addressing fibrous dysplasia, due to its excellent thermal stability and biocompatibility, which promote osteointegration alongside its antibacterial and mechanical properties [23].
Conversely, some researchers advocate for the use of calvarial auto-grafts as a treatment option, citing benefits such as reduced issues related to bone availability, diminished donor site morbidity, and favorable tissue compatibility, which allows for a precise fit [24]. However, the findings presented in this article reveal certain limitations associated with this treatment approach. Notably, the surgical procedure often necessitates additional sites, which can lead to various complications, including exposure of the biomaterial (membrane or graft) to postoperative infections, neuro-sensory disturbances, and extended time required for bone reshaping, as well as the potential for hemorrhage and pain. Therefore, careful consideration of donor site selection and associated morbidity is essential.
The optimal treatment for craniofacial fibrous dysplasia involves the complete resection of the affected bones followed by immediate reconstruction using unaffected cranial bone grafts. Recently, the use of polyetheretherketone (PEEK) implants for reconstructing the affected area has become the predominant strategy for managing fibrous dysplasia in the craniofacial region, and is now considered the first-line intervention for this condition. The advantageous properties of PEEK, including its biocompatibility, flexibility for anatomical reshaping, and the ability to contour independently, contribute to the stability of the reconstructed area. This technology enables the achievement of aesthetically favorable cranioplasty outcomes at a cost-effective rate, without compromising patient results, and has demonstrated good stability with no indications of recurrence. In contrast, auto-grafts have shown limitations in achieving stable clinical outcomes and have been linked to a recurrence of fibrous dysplasia, along with postoperative complications.
Conclusion
Even though auto bone implant have been the go-to treatment plan for fibrous dysplasia in the most studied literature for its biocompatibility and have been considered as the first line treatment, but PEEK implants have showed promised results for its 3D shape, less trauma for patient (no need for donor site), and we are not limited in volume, the looking at the fact that fibrous dysplasia can affect multiple bone, polyetheretherketone (PEEK) 3D printed implants are the suitable type of implants and are recommended as a first line treatment.
Об авторах
А. Ю. Кугушев
Российский национальный исследовательский медицинский университет им. Н.И. Пирогова
Email: farahssadek@gmail.com
ORCID iD: 0000-0002-6881-7709
SPIN-код: 3045-0722
Москва, Российская Федерация
А. В. Лопатин
Российский университет дружбы народов; Национальный медицинский исследовательский центр детской гематологии, онкологии и иммунологии имени Дмитрия Рогачёва
Email: farahssadek@gmail.com
ORCID iD: 0000-0003-0043-9059
SPIN-код: 6341-8912
Москва, Российская Федерация
Ф. Садек
Российский университет дружбы народов
Автор, ответственный за переписку.
Email: farahssadek@gmail.com
ORCID iD: 0009-0004-7592-0124
Москва, Российская Федерация
С. Дагер
Российский университет дружбы народов
Email: farahssadek@gmail.com
ORCID iD: 0009-0004-1950-4011
Москва, Российская Федерация
Список литературы
- Ha-Young K, Shim JH, Heo CY. A Rare Skeletal Disorder, Fibrous Dysplasia: A Review of Its Pathogenesis and Therapeutic Prospects. International Journal of Molecular Sciences. 2023;24(21):15591. doi: 10.3390/ijms242115591
- Avedova DYu, Osipova YL, Zyulkina LA, Yurkevich AV, Ushnitsky ID. Efficiency of using autogenous bone in combination with xenogeneic bone material in guided regeneration of bone tissue in an experiment. Yakut Medical Journal. 2025;(4):35–8 doi: 10.25789/YMJ.2023.84.09
- Papadaki ME, Troulis MJ, Kaban LB. Advances in diagnosis and management of fibro-osseous lesions. Oral and Maxillofacial Surgery Clinics. 2005;17(4):415–34. doi: 10.1016/j.coms.2005.06.004
- SILVA LV, Arruda JA, Martelli SJ, KATO CD, Nunes LF, Vasconcelos AC, Tarquinio SB, Gomes AP, Gomez RS, Mesquita RA, SILVEIRA MM. A multicenter study of biopsied oral and maxillofacial lesions in a Brazilian pediatric population. Brazilian oral research. 2018;32: e20. doi: 10.1590/1807-3107bor-2018.vol32.0020
- Kueper J, Tsimbal C, Olsen BR, Kaban L, Liao EC. SH3BP2‑related fibro-osseous disorders of the maxilla and mandible: A systematic review. International Journal of Oral and Maxillofacial Surgery. 2022;51(1):54–61. doi: 10.1016/j.ijom.2021.04.001
- Obermeier KT, Hartung JT, Hildebrandt T, Dewenter I, Smolka W, Hesse E, Fegg F, Otto S, Malenova Y, Abdullah A. Fibrous dysplasia of the jaw: advances in imaging and treatment. Journal of Clinical Medicine. 2023;12(12):4100. doi: 10.3390/jcm12124100
- Lee JS, FitzGibbon EJ, Chen YR, Kim HJ, Lustig LR, Akintoye SO, Collins MT, Kaban LB. Clinical guidelines for the management of craniofacial fibrous dysplasia. Orphanet journal of rare diseases. 2012;7:1–19. doi: 10.1186/1750-1172-7-S1-S2
- Ricalde P, Magliocca KR, Lee JS. Craniofacial fibrous dysplasia. Oral and maxillofacial surgery clinics of North America. 2012 Aug 1;24(3):427–441 doi: 10.1016/j.coms.2012.05.004
- Kim DY. Current concepts of craniofacial fibrous dysplasia: pathophysiology and treatment. Archives of Craniofacial Surgery. 2023;24(2):41. doi: 10.7181/acfs.2023.00101
- MacDonald DS. Maxillofacial fibro-osseous lesions. Clinical Radiology. 2015;70(1): 25–36. doi: 10.1016/j.crad.2014.06.022
- Кугушев А.Ю., Лопатин А.В., Ясонов С.А., Болотин М.В., Рогожин Д.В. Фиброзная дисплазия челюстно-лицевой области: клинико-рентгенологический анализ 15‑летнего опыта // Опухоли головы и шеи. 2018. T. 8(3). С. 12–20. doi: 10.17650/2222146820188-31220
- Waldron CA. Fibro-osseous lesions of the jaws J Oral Maxillofacial Surgery. 1993. doi: 10.1016/S0278-2391 (10) 80097-7
- Jeyaraj P. Histological diversity, diagnostic challenges, and surgical treatment strategies of fibrous dysplasia of upper and mid-thirds of the craniomaxillofacial complex. Annals of maxillofacial surgery. 2019;9(2):289–314. doi: 10.4103/ams.ams_219_19
- McClain KL, Bigenwald C, Collin M, Haroche J, Marsh RA, Merad M, Picarsic J, Ribeiro KB, Allen CE. Histiocytic disorders. Nature Reviews Disease Primers. 2021;7(1):73. doi: 10.1038/s41572-021-00307-9
- Jahan D, Haque M. A Narrative Literature Review on the Diagnostic and Therapeutic Intervention Approaches of Polyostotic Fibrous Dysplasia in Bones: A Bangladeshi Case Report. Advances in Human Biology. 2020;10(2):71–78. doi: 10.4103/AIHB.AIHB_26_20
- Gomez CK, Schiffman SR, Bhatt AA. Radiological review of skull lesions. Insights into Imaging. 2018;9:857–882. doi: 10.1007/s13244-018-0643-0
- Bhardwaj S, Pendem S, Kalyani P, Selvarasu K, Krishnan M. A Novel Method of Frontal Bone Reconstruction Using Patient-Specific Implants and Costochondral Grafts: A Case Report. Cureus. 2024;16(4). doi: 10.7759/cureus.57767
- Dova S, Karkos PD, Constantinidis J. Reconstruction of frontal defects with calvarial grafts. Rhinology. 2018;56(3):297–302. doi: 10.4193/Rhin17.185
- Кугушев А.Ю., Лопатин А.В., Ясонов С.А. 10‑летний опыт лечения фиброзной дисплазии челюстно-лицевой области препаратами алендроновой кислоты // Вопросы гематологии/онкологии и иммунопатологии в педиатрии. 2018. Т. 17(3). С. 36–42. doi: 10.24287/1726-1708-2018-17-3-36-42
- Lee JS, FitzGibbon EJ, Chen YR, Kim HJ, Lustig LR, Akintoye SO, Collins MT, Kaban LB. Clinical guidelines for the management of craniofacial fibrous dysplasia. InOrphanet journal of rare diseases. 2012;7:1–19. doi: 10.1186/1750-1172-7-S1-S2
- Лопатин, А.В., Ясонов, С.А., Кугушев, А.Ю. and Рогожин, Д.В., Краниометафизарная дисплазия: клинические проявления, трудности дифференциальной диагностики и варианты лечения. Голова и шея. Российское издание // Журнал Общероссийской общественной организации» Федерация специалистов по лечению заболеваний головы и шеи. 2020. doi: 10.25792/HN.2020.8.2.22-32
- Liu Y, Xie S, Ding J, Zhang Y, Deng L, Yao Y, Xiong Y, Chen Y, Wang L, Liu Y. Complex Frontal Bone Reconstruction Using Computer-designed Polyetheretherketone Implant: Case Report and Literature Review. Plastic and Reconstructive Surgery–Global Open. 2024;12(8): e6007. doi: 10.1097/GOX.0000000000006007
- Wei Z, Zhang Z, Zhu W, Weng X. Polyetheretherketone development in bone tissue engineering and orthopedic surgery. Frontiers in Bioengineering and Biotechnology. 2023;11:1207277. doi: 10.3389/fbioe.2023.1207277
- Yavuzer R, Başterzi Y, Doğulu F, Sezer C, Çelebi MC, Baykaner K. Reconstruction with autoclavized dysplastic bone graft in craniofacial fibrous dysplasia: A case report. Turkish Neurosurgery. 2002;12(3–4).
Дополнительные файлы

























