Immunohistochemical study of P53 protein expression in the development of squamous cell carcinoma of the oral mucosa
- Authors: Ivina A.A.1, Tigay Y.O.1, Familia Frias D.R.1, Rabinovich O.F.2, Babichenko I.I.1,2
-
Affiliations:
- RUDN University
- Central Research Institute of Stomatology and Maxillofacial Surgery
- Issue: Vol 29, No 4 (2025): MEDICAL GENETICS
- Pages: 543-553
- Section: ONCOLOGY
- URL: https://journals.rudn.ru/medicine/article/view/47655
- DOI: https://doi.org/10.22363/2313-0245-2025-29-4-543-553
- EDN: https://elibrary.ru/ATHSRH
- ID: 47655
Cite item
Full Text
Abstract
Relevance. Studies on the development of squamous cell carcinoma of the oral mucosa are of paramount importance due to the widespread of the disease and its aggressive course. When histological examination of the development of squamous cell carcinoma of the oral mucosa is not always possible to determine the first signs of malignancy. Squamous cell carcinoma can develop from epithelial hyperplasia and epithelial dysplasia of varying severity. In addition to histological research methods, immunohistochemical method is widely used for tumor diseases, in which the Ki-67 protein is used, with which the proliferation of epithelial cells can be determined, as well as the P53 protein encoding the TP53 gene, which is a suppressor of tumor growth. It is activated only in the presence of damage to the cell genome. The aim was to evaluate the expression of Ki-67 and P53 proteins in the development of dysplasia and squamous cell carcinoma of the oral mucosa. Materials and Methods. Four groups were identified for the study: group 1-16 patients (34.7%) diagnosed with epithelial hyperplasia, group 2-8 patients (17.3%) diagnosed with low-grade epithelial dysplasia, group 3-9 (19.5%) with a diagnosis of “high-grade epithelial dysplasia”, group 4-13 (28.2%) with a diagnosis of “squamous cell carcinoma”. Mouse monoclonal antibodies to Ki-67 (clone MM1, Diagnostic Biosystems, USA) was used to determine cell proliferation. P53 expression was determined using mouse monoclonal antibodies to the P53 protein (Clone D 07, Novocastra, UK). Monoclonal rabbit antibodies P53 (Clone Y5 Epitomics, USA) were used to study only the “mutant type” of the P53 protein. Results and Discussion. The expression of Ki-67 and P53 proteins were observed in all groups. However, the minimum number of immunopositive cells in the study of P53 (Clone D 07) and P53 (Clone Y5) was observed in the epithelial hyperplasia group, and the maximum in the squamous cell carcinoma group. The increase in the number of stained cells significantly increased as the degree of epithelial dysplasia increased from epithelial hyperplasia and low grade epithelial dysplasia to high grade epithelial dysplasia, etc. Conclusion. Thus, the detection of the expression of the P53 protein (Clone Y5) in the epithelium indicates the presence of changes in the genetic apparatus and metabolism of cells, which can be used in the early diagnosis of squamous cell carcinoma of the oral mucosa.
Keywords
Full Text
Introduction
Head and neck cancer is the sixth most common type of cancer worldwide. According to research by Daniel E. Johnson et al., 890,000 new cases were identified between 2018 and 2020. The mortality rate for head and neck cancer was 450,000 in 2018. These numbers are growing and may increase by 30% by 2030, amounting to 1.08 million new cases per year [1].
Squamous cell carcinoma (SCC) of the oral mucosa is the most frequent among head and neck malignancies [2]. It has a destructive growth pattern and often infiltrates underlying tissues. In 85% of cases, it metastasizes to regional and distant lymph nodes, and in 15% of cases, SCC spreads to internal organs [3]. Due to late diagnosis, SCC is considered a disease with a high mortality rate. It is known that precancerous conditions of the oral mucosa, such as hyperplasia and dysplasia of varying degrees, precede the development of SCC [4].
Histological examination of the oral mucosa reveals that the presence of epithelial dysplasia (ED) indicates a higher risk of malignant transformation of the epithelium. ED can be classified as low, moderate, or high grade. There is a close correlation between high-grade dysplasia and cancer development [5]. The basis for diagnosing neoplastic processes includes histological and immunohistochemical (IHC) methods. In IHC, antibodies to the Ki‑67 protein are often used. Its expression indicates the proliferative activity of cells, which is considered an important criterion in the development of neoplasms [6]. The quantitative measure of cells expressing the Ki‑67 protein allows the assessment of prognosis and the degree of malignant transformation [7]. Due to this protein’s ability to appear in actively dividing cells and its absence in resting cells (G0 phase), it is an excellent marker for tumor cell proliferation. A high level of immunopositive cells indicates the growth and increase in the volume of newly formed tissue, exacerbating the clinical course of the disease [8].
The P53 protein encodes the TP53 gene, often referred to as the “guardian of the genome” because it acts as a tumor growth suppressor. This protein regulates genes responsible for the cell cycle, DNA repair, angiogenesis, induction of cell death, antioxidant processes, and metabolism, and it is activated only in the presence of DNA damage. In its active state, the P53 protein binds to DNA and triggers apoptosis. This process involves the halting of the cell cycle, gene transcription, and DNA replication. P53 protein is activated in response to genetic damage and stressful conditions. Additionally, activation occurs in the presence of a large number of proliferating (potentially oncogenic) cells, manifesting as the “wild type” WTP53. The regulation of this protein’s activity primarily involves its post-translational modifications and interactions with other proteins. It is known that this protein has a nuclear influence, participating in transcription and cell apoptosis, and also controls the function of cellular organelles and regulates metabolism — an extranuclear influence [9].
Mutations in the TP53 gene lead to the cell’s inability to undergo apoptosis, causing DNA damage to accumulate while the cell continues to function with a disrupted genotype, potentially contributing to cancer development.
The aim of this work was to evaluate the expression of Ki‑67 and P53 proteins in the development of dysplasia and squamous cell carcinoma of the oral mucosa.
Materials and Methods
The evaluation and study of the material were conducted at the Pathological Anatomy Laboratory of the National Medical Research Center for Dentistry and Maxillofacial Surgery of the Russian Ministry of Health. Material of the archive from the Department of Oral Mucosal Diseases of National Medical Research Center for Dentistry and Maxillofacial Surgery of the Russian Ministry of Health, collected from July 2020 to August 2022, was used. The study included 46 patients with an average age of 86.4 years. Two primary diagnoses were selected for the study: “leukoplakia” and “squamous cell carcinoma”. Based on the obtained morphological characteristics, five histological diagnoses were identified, namely: epithelial hyperplasia (EH), low-grade epithelial dysplasia (LGED), moderate-grade epithelial dysplasia (MGED), high-grade epithelial dysplasia (HGED), and squamous cell carcinoma (SCC). The use of a binary classification system for epithelial dysplasia allowed us to combine two histological diagnoses: low-grade and moderate-grade dysplasia into a single group, LGED.
Based on the degree of epithelial changes, four groups were identified: the 1st group (EH) included 16 patients (34.7%) with the diagnosis of “epithelial hyperplasia,” the 2nd group (LGED) included 8 patients (17.3%) with the diagnosis of “low-grade epithelial dysplasia,” the 3rd group (HGED) included 9 patients (19.5%) with the diagnosis of “high-grade epithelial dysplasia,” and the 4th group (SCC) included 13 patients (28.2%) with the diagnosis of “squamous cell carcinoma.”
Histological and IHC studies of biopsy material were conducted according to the recommended protocol. To determine the proliferative activity of cells, mouse monoclonal antibodies to the Ki‑67 protein (clone MM1, Diagnostic Biosystems, USA) were used. For the analysis of P53 protein expression, both “mutant” and “wild” types, mouse monoclonal antibodies to the P53 protein (Clone D 07, Novocastra, UK) were used, and for a more detailed study of the “mutant” type of the protein, an independent IHC study was conducted using rabbit monoclonal antibodies to P53 (Clone Y5, Epitomics, USA). An Axioplan 2 imaging microscope (Carl Zeiss) and Mlchrome 5 Pro, 5MP Color Microscope Camera were used for evaluation and photo documentation.
The expression of the studied proteins in the IHC method was calculated by the number of immunopositive cells to the total number of epithelial cells. In the three study groups (EH, LGED, and HGED), immunoreactive cells were predominantly determined in the lower one-third of the epithelial layer. This allowed us to assess the expression of Ki‑67 and P53 proteins in the cells of the basal (germinal and prickle) layers. In the fourth group (SCC), the evaluation of stained cells by proteins was conducted in complexes of cancer cells, as well as surrounding altered cells.
Statistics
The statistical data processing was carried out in the Windows 10 environment (IBM Corporation, USA) using SPSS Statistics version 23. The Kruskal-Wallis method was used for comparative analysis (tables 1, 2, 3). The Friedman test was applied for within-group comparison of indicators at p≤0.05. In the Friedman test comparisons within the EG and EDNS groups, the highest indicators were Ki‑67 and P53 (Clone D‑07) proteins, and the lowest was P53 (Clone Y5). In the EDVS group, all indicators were at the same level, while in the PR group, the Ki‑67 protein was determined at the highest level, and the indicators for P53 (Clone D‑07) and P53 (Clone Y5) had the same level of protein expression.
Table 1
Paired comparisons between the studied groups according to Ki‑67 by the Kruskal-Wallis test
Groups | Proliferative activity by Ki‑67 | Paired comparisons (p) | |||||
EH– LGED | EH– HGED | EH– SCC | LGED –HGED | LGED — SCC | HGED — SCC | ||
EH | 14(12;15) | 0.233 | 0.001 | 0.000 | 1.000 | 0.007 | 0.352 |
LGED | 25(22;32,5) | ||||||
HGED | 43(41;47) | ||||||
SCC | 61(59;64) | ||||||
EH — epithelial hyperplasia; LGED — low grade epithelial dysplasia; HGED — high grade epithelial dysplasia; SCC — squamous cell carcinoma.
Table 2
Paired comparisons between the studied groups according to P53 (Clone D‑07) by the Kruskal-Wallis test
Groups | P53 Clone D‑07 | Paired comparisons (p) | |||||
EH– LGED | EH– HGED | EH– SCC | LGED –HGED | LGED — SCC | HGED — SCC | ||
EH | 12,1(11;13,5) | 0.232 | 0.001 | 0.000 | 0.897 | 0.010 | 0.614 |
LGED | 22,5(19;28,5) | ||||||
HGED | 43(38;47) | ||||||
SCC | 56(53;56) | ||||||
EH — epithelial hyperplasia; LGED — low grade epithelial dysplasia; HGED — high grade epithelial dysplasia; SCC — squamous cell carcinoma.
Table 3
Paired comparisons between the studied groups according to P53 (Clone Y5) by the Kruskal-Wallis test
Groups | P53 Clone Y‑5 | Paired comparisons (p) | |||||
EH– LGED | EH– HGED | EH– SCC | LGED –HGED | LGED — SCC | HGED — SCC | ||
EH | 0(0;6,5) | 0.225 | 0.000 | 0.000 | 0.699 | 0.013 | 0.942 |
LGED | 16(12;21) | ||||||
HGED | 38(35;41) | ||||||
SCC | 45(42;51) | ||||||
EH — epithelial hyperplasia; LGED — low grade epithelial dysplasia; HGED — high grade epithelial dysplasia; SCC — squamous cell carcinoma.
Results and discussion
Histological Study
In routine examination with hematoxylin and eosin in the first group (EH), an increase in the number of epithelial cells was noted against the background of chronic inflammation in the lamina propria of the oral mucosa. Parakeratosis and hyperkeratosis were observed in the upper layers, while no atypical cells were detected. In the second group (LGED), a few polymorphic cells were found in 1/3 of the epithelial layer, with disrupted cell stratification but preserved cell differentiation in the upper layers of the epithelium. In the third group (HGED), cell nuclear polymorphism and increased mitosis of cells in 2/3 of the epithelial layer were noted. In the fourth group (SCC), changes in epithelial cells were observed, namely: complete loss of stratification and structure, and differentiation. Increased mitosis and pronounced nuclear-cytoplasmic ratio were observed. Altered cells formed complexes, with a higher number of atypical cells found in the non-keratinizing type of SCC In the keratinizing type of SCC, the presence of “keratin pearls” was noted. Pronounced infiltrative growth was observed in both cases of PR (Figure 1: a, b, c, d).
Fig. 1. Morphological characteristics of the oral mucosa in hyperplasia (a), low-grade dysplasia (b), high-grade dysplasia (c) and squamous cell carcinoma (d). Staining with hematoxylin-eosin (x 100)
Immunohistochemical Study
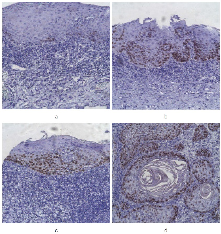
Expression of the Ki‑67 protein in the EH group was noted only in the lower third of the basal layer. In the LGED group, the number of actively dividing cells was observed in the germinative layer. Proliferative activity in this group was higher than in the EH group, as stained nuclei were occasionally found in the prickle layer. In the HGED group, Ki‑67 protein expression was detected in both the germinative and prickle layers. In the SCC group, increased cell proliferation was found around and within the formed atypical complexes (Figure 2: a, b, c, d).
The quantification of the P53 protein (Clone D‑07) showed expression in the basal layer of the EH and LGED groups, with single altered cells observed in the prickle layer. In the HGED group, immunopositive cells were noted in the basal layer and partially in the prickle layer, with more cells observed in the prickle layer than in the EH and LGED groups. In the fourth group (SCC), immunoreactive cells for the P53 marker were located in approximately the same areas as the epithelial cell proliferation study in this group (Figure 3: a, b, c, d).
Fig. 2. Proliferative activity of epithelial cells of the oral mucosa in hyperplasia (a), low-grade dysplasia (b), high-grade dysplasia (c) and squamous cell carcinoma (d). Immunohistochemical reaction to Ki‑67 protein, Mayer’s DAB hematoxylin stain (x100)
Fig. 3. Expression of p53 protein (Clone D‑07) of the epithelium of the oral mucosa in hyperplasia (a), low-grade dysplasia (b), high-grade dysplasia (c) and squamous cell carcinoma (d). Immunohistochemical reaction to p53 protein (Clone D‑07),
Mayer’s DAB hematoxylin stain (x 100)
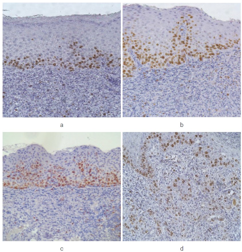
Expression of P53 (Clone Y5) was absent in the EH group. In the LGED group, cell staining was observed as weak in the basal layer. In the HGED group, cell staining was moderate in the prickle layer and strong in the basal layer. In the SCC group, strong cell staining was noted in the central and peripheral zones of the tumor (Figure 4: a, b, c, d).
It is now established that the P53 protein influences the development of malignant tumors. Basile Tessier-Cloutier et al. discovered a correlation between the frequency of MPT53 protein expression and disease severity in their study on vulvar cancer [11]. Previous studies have described the detection of MPT53 and WTP53 in various types of human cancers (stomach, intestine, prostate) [12]. Jinchul Kim et al. noted the oncogenic role of the P53 protein, which alters the metabolism of malignant cells, a crucial element in oncogenesis. This process is triggered by the activation of proto-oncogenes, transcription factors, signaling pathways, and the inactivation of tumor suppressor genes (TP53). Many cancer cells exhibit a specific type of metabolism — glycolysis, an alternative pathway for energy production in cancer cells. Mutations in TP53 facilitate the shift of damaged cells from oxidative phosphorylation to glycolysis [13, 14].
Fig. 4. Expression of P53 (Clone Y5) in the epithelium of the oral mucosa in hyperplasia (a), low-grade dysplasia (b), high-grade dysplasia (c) and squamous cell carcinoma (d), Mayer’s DAB hematoxylin stain (x 100)
Sushmita Swain et al. conducted studies on Ki‑67 protein expression in precancerous conditions of the oral mucosa and in cancer development. The authors found that proliferative activity in SCC was higher than in precancerous conditions, increasing with malignancy and not affecting patient survival [10]. In this study, Ki‑67 and P53 (D07) protein expression was found in all groups, while P53 (Clone Y5) expression was present only in the LGED, HGED, and SCC groups.
Alongside the loss of primary functions that maintain cell homeostasis and suppress tumor development, mutant proteins often gain oncogenic activity, contributing to metabolic changes and cancer progression, followed by metastasis. Unlike other tumor suppressor genes, which often undergo deletions or mutations leading to loss of function, most TP53 mutations result in the formation of mutant proteins classified as missense mutations. Accumulation of this protein in cancer cells increases their oncogenic activity, such as the rate and number of cell divisions, and their ability to migrate, potentially accompanied by invasive growth. The resistance of malignant cells to various conservative cancer treatments in the presence of a high quantity of mutant protein has been previously described [15]. Other authors studying cancer treatment have described P53 protein expression with various mutations in cancer cells (contact, conformational). They found a correlation between the accumulation of the “mutant” protein type and tumor growth [16]. Brandon J. Aubrey et al. established a close connection between the loss of P53 protein function and the development of malignant human tumors in 95% of cases [17].
The results of this study confirm our previous work on SCC development, where telomerase activity was studied using IHC and fluorescence in situ hybridization (FISH). The IHC study showed telomerase expression in all cases. Using the FISH method with the LSP TERC probe, amplification increased from LGED to SCC [18].
Ragini D. Singh et al. described the appearance of MPT53 in SCC development and its influence on telomerase expression [19]. Studies of malignant tumors in different locations (lungs, stomach, intestine) using the FISH method have shown the frequency of TP53 gene mutations, indicating chromosomal damage (splicing mutations, cuts, frameshifts, deletions). The authors also compared the mutation frequency of the gene with P53 protein expression [20]. The FISH method allows for the analysis of a larger number of cells (non-cultured and non-dividing), with high sensitivity and specificity using probes indicating local chromosomal damage (deletions, translocations) [20]. The advantage of the IHC method over FISH lies in its accessibility and ease of use, but it cannot describe the type of genome damage.
Conclusion
Thus, detecting P53 (Clone Y5) protein expression in the epithelium indicates changes in the genetic apparatus and cell metabolism, which can be used in the early diagnosis of oral mucosal SCC.
About the authors
Anastasia A. Ivina
RUDN University
Email: chen.juliya@gmail.com
ORCID iD: 0000-0001-8387-4413
SPIN-code: 7209-9893
Moscow, Russian Federation
Yuliya O. Tigay
RUDN University
Author for correspondence.
Email: chen.juliya@gmail.com
ORCID iD: 0000-0002-6500-9220
SPIN-code: 6896-9690
Moscow, Russian Federation
Diana Rosina Familia Frias
RUDN University
Email: chen.juliya@gmail.com
ORCID iD: 0000-0001-7878-2901
SPIN-code: 2165-2702
Moscow, Russian Federation
Olga F. Rabinovich
Central Research Institute of Stomatology and Maxillofacial Surgery
Email: chen.juliya@gmail.com
ORCID iD: 0000-0002-1018-9017
SPIN-code: 9614-7204
Moscow, Russian Federation
Igor I. Babichenko
RUDN University; Central Research Institute of Stomatology and Maxillofacial Surgery
Email: chen.juliya@gmail.com
ORCID iD: 0000-0001-5512-6813
SPIN-code: 2651-8409
Moscow, Russian Federation
References
- Belyakova EN, Briko NI, Lopukhov PD. Characteristics of the head and neck cancer incidence potentially associated with human papillomavirus in Russia in 2007–2018. Russian Journal of Preventive Medicine. 2021;24(2):30–36. (In Russian) doi: 10.17116/profmed20212402130
- Fatkullin DМ, Guz АО, Garev АV, Zaharov АS, Sokolova МI. Oral squamous cell carcinoma in “young” patients. Uralʹskij medicinskij žurnal. 2021;2:89–94. (In Russian) doi: 10.52420/2071-5943-2021-20-2-89-94
- Dzybova EM, Vardanyan KL, Vasilevskaia EA. Squamous cell carcinoma of the skin: clinical presentation, diagnosis, treatment, and prevention. Russian Journal of Clinical Dermatology and Venereology. 2015;14(4):4–14. (In Russian) doi: 10.17116/klinderma20151444-14
- Woo SB. Oral Epithelial Dysplasia and Premalignancy. Head Neck Pathol. 2019;13(3):423–439. doi: 10.1007/s12105-019-01020-6
- Speight PM, Khurram SA, Kujan O. Oral potentially malignant disorders: risk of progression to malignancy. Oral Surg Oral Med Oral Pathol Oral Radiol. 2018;125(6):612–627. doi: 10.1016/j.oooo.2017.12.011
- Kudryavtsev GY, Kudryavtseva LV, Mikhaleva LM, Kuryavtseva YYu, Solovyeva NA, Osipov VA, Babichenko II. Immunohistochemical study of P53 protein expression in different prostate cancer Gleason grading groups. RUDN Journal of Medicine.2020;24.2:145–155.(In Rissian) [Кудрявцев Г.Ю., Кудрявцева Л.В., Михалева Л.М., Кудрявцева Я.Ю., Соловьева Н.А., Осипов В.А., Бабиченко И.И.. Иммуногистохимическое исследование экспрессии белка Р53 в аденокарциномах предстательной железы различной степени злокачественности // Вестник РУДН. Серия: Медицина 2020. Т. 24 вып. 2. С. 145–155] doi: 10.22363/2313-0245-2020-24-2-145-155
- Gadbail AR, Sarode SC, Chaudhary MS, Gondivkar SM, Tekade SA, Yuwanati M, Sarode GS, Hande A, Patil S. Ki‑67, CD105, and α-smooth muscle actin expression in oral squamous cell carcinoma corresponds with different forms of tobacco consumption habits. J Cancer Res Ther. 2022;18:197–204. doi: 10.4103/jcrt.JCRT_1307_20
- Gadbail AR, Sarode SC, Chaudhary MS, Gondivkar SM, Tekade SA, Yuwanati M, Patil S. Ki67 Labelling Index predicts clinical outcome and survival in oral squamous cell carcinoma. J Appl Oral Sci. 2021;1;29. doi: 10.1590/1678-7757-2020-0751
- Carlsen L, Zhang S, Tian X, De La Cruz A, George A, Arnoff TE, El-Deiry WS. The role of p53 in anti-tumor immunity and response to immunotherapy. Front Mol Biosci. 2023;10:1148389. doi: 10.3389/fmolb.2023.114838
- Swain S, Nishat R, Ramachandran S, Raghuvanshi M, Behura SS, Kumar H. Comparative evaluation of immunohistochemical expression of MCM2 and Ki67 in oral epithelial dysplasia and oral squamous cell carcinoma. J Cancer Res Ther. 2022;18(4):997–1002.doi: 10.4103/jcrt.JCRT_10_20
- Tessier-Cloutier B, Kortekaas KE, Thompson E, Pors J, Chen J, Ho J, Prentice LM, McConechy MK, Chow C, Proctor L, McAlpine JN, Huntsman DG, Gilks CB, Bosse T, Hoang LN. Major p53 immunohistochemical patterns in in situ and invasive squamous cell carcinomas of the vulva and correlation with TP53 mutation status. Mod Pathol. 2020;33(8):1595–1605.doi: 10.1038/s41379-020-0524-1
- Babamohamadi M, Babaei E, Ahmed Salih B, Babamohammadi M, Jalal Azeez H, Othman G. Recent findings on the role of wild-type and mutant p53 in cancer development and therapy. Front Mol Biosci. 2022;9:903075. doi: 10.3389/fmolb.2022.903075
- Kim J, Yu L, Chen W, Xu Y, Wu M, Todorova D, Tang Q, Feng B, Jiang L, He J, Chen G, Fu X, Xu Y. Wild-Type p53 Promotes Cancer Metabolic Switch by Inducing PUMA-Dependent Suppression of Oxidative Phosphorylation. Cancer cell, 2019;35(2);191–203. doi: 10.1016/j.ccell.2018.12.012
- Nakazato K, Mogushi K, Kayamori K, Tsuchiya M, Takahashi KI, Sumino J, Michi Y, Yoda T, Uzawa N. Glucose metabolism changes during the development and progression of oral tongue squamous cell carcinomas. Oncology letters, 2019;18(2):1372–1380. doi: 10.3892/ol.2019.10420
- Voskarides K, Giannopoulou N. The Role of TP53 in Adaptation and Evolution. Cells, 2023;12(3):512. doi: 10.3390/cells12030512
- Kanapathipillai M. Treating p53 Mutant Aggregation-Associated Cancer. Cancers, 2018;10(6):154. doi: 10.3390/cancers10060154
- Aubrey BJ, Kelly GL, Janic A, Herold MJ, Strasser A. How does p53 induce apoptosis and how does this relate to p53‑mediated tumour suppression? Cell death and differentiation, 2018;25(1):104–113. doi: 10.1038/cdd.2017.169
- Ivina AA, Tigay YuO, Rabinovich OF, Goryachev V., Familia Frias DR, Babichenko II. Molecular genetic criteria for oral mucosal epithelial malignization. Clinical and experimental morphology. 2023;12(4):23–31 (In Russian) doi: 10.31088/CEM2023.12.4.23-31
- Singh RD, Patel KA, Patel JB, Patel PS. Alterations in p53 Influence hTERT, VEGF and MMPs Expression in Oral Cancer Patients. Asian Pacific journal of cancer prevention. 2022;23(9), 3141–3149. doi: 10.31557/APJCP.2022.23.9.3141
- Sung YN, Kim D, Kim J. Р53 immunostaining pattern is a useful surrogate marker for TP53 gene mutations. Diagnostic pathology, 2022;17(1):92. doi: 10.1186/s13000-022-01273-w
- Le Quesne J, Maurya M, Yancheva SG, O’Brien M, Popat S, Wotherspoon, AC, de Castro D.G, Nicholson AG. A comparison of immunohistochemical assays and FISH in detecting the ALK translocation in diagnostic histological and cytological lung tumor material. Journal of thoracic oncology: official publication of the International Association for the Study of Lung Cancer, 2014;9(6):769–774. doi: 10.1097/JTO.0000000000000157
Supplementary files














