Nontuberculous mycobacterial pulmonary disease
- Authors: Roytberg G.E.1,2, Gritzay A.A.2, Davydova A.S.1,2, Bulanova N.A.1,2
-
Affiliations:
- Pirogov Russian National Research Medical University
- Joint Stock Company «Medicina»
- Issue: Vol 29, No 1 (2025): PHYSIOLOGY. EXPERIMENTAL PHYSIOLOGY
- Pages: 116-123
- Section: therapeutic profile diseases
- URL: https://journals.rudn.ru/medicine/article/view/46818
- DOI: https://doi.org/10.22363/2313-0245-2025-29-1-116-123
- EDN: https://elibrary.ru/GTYRAJ
- ID: 46818
Cite item
Full Text
Abstract
The article presents a case report of nontuberculous mycobacterial pulmonary disease. Nontuberculous mycobacterial pulmonary disease is frequently underdiagnosed due to the absence of clinical signs, a nonspecific X-ray picture, as well as the difficulties of using molecular genetic diagnostic tests in primary health care setting. Some patients especially those with underlying respiratory diseases, are at increased risk of developing nontuberculous mycobacterial pulmonary disease. Identification of patients at risk is essential to allow for prompt testing and diagnosis and appropriate management to prevent disease progression.
Full Text
Introduction
Mycobacteria other than Mycobacterium tuberculosis and Mycobacterium leprae constitute a large group of non-tuberculous mycobacteria (NTM). Representatives of this group are found in water, soil, food products, are opportunistic bacteria, and can live on body surfaces or secretions without causing disease [1–4]. The NTM group includes about 200 species and subspecies of microorganisms, the most common and significant representatives of slow-growing NTM are Mycobacterium avium complex (MAC) and Mycobacterium kansasii, and fast-growing NTM are Mycobacterium abscessus.
Mycobacteriosis of the lungs is an infectious disease caused by NTM in patients with chronic respiratory disease and impaired immunological reactivity [5]. In addition to lung infection, NMTB can cause damage to the skin, lymph nodes, gastrointestinal tract and other organs and systems.
The prevalence of infection with different types of NTMB is unknown, since mycobacterioses are not subject to official statistical reporting, and there are no registries of patients with mycobacteriosis in the Russian Federation and other countries. According to the few published studies, the prevalence of non-tuberculous pulmonary mycobacteriosis (NTML) in different countries ranges from 3.2 to 29 per 100,000 people [1, 2]. At the same time, the 5‑year and 10‑year survival rates of patients with NTMB caused by MAS are 23.9 % and 46.5 %, respectively [6]. There is a trend towards an increase in the incidence of NTML worldwide, which may reflect both a true increase in the incidence of NTML due to the widespread distribution of NTML in the environment against the background of an increasing incidence of chronic bronchopulmonary diseases, the use of immunosuppressive agents, including inhaled corticosteroids, and better detection of NTML due to more advanced diagnostic tools [3]. The increase in prevalence and incidence is observed mainly due to elderly patients and women. In the United States, the overall annual incidence of NTML from 2008 to 2015 increased from 3.1 to 4.7 per 100,000 person-years, among women the increase was from 4.2 to 6.7 per 100,000 person-years [4]. For individuals aged 65 years and older, the annual incidence increased from 12.7 to 18.4 per 100,000 person-years.
The clinical symptoms of NTML is non-specific, mainly manifested by symptoms of a chronic respiratory disease, against which it occurs and depends on the type of a specific pathogen [5]. In some patients, clinical symptoms may be absent.
The absence of characteristic clinical symptoms often leads to a delayed diagnosis of NTML. According to published data, 88 % of patients were observed by a general practitioner or pulmonologist for 2.3±2.3 years before the diagnosis of NTML was confirmed for various chronic lung diseases [7]. Of these, 55.6 % of patients were registered with a phthisiatrician and received anti-tuberculosis therapy for disseminated, fibrous-cavernous, focal pulmonary tuberculosis.
Given the difficulties in diagnosis and the increase in the incidence of NTML in recent decades, we present a clinical observation of this disease caused by Mycobacterium avium in an 80‑year-old patient with no previous chronic lung diseases.
Clinical case
Patient R., born in 1944, from St. Petersburg. Body mass index is 19.8 kg/m². Worked as an engineer, retired by age, had no occupational hazards, denies bad habits. Heredity for bronchopulmonary pathology is not burdened. History of ischemic heart disease, chronic gastroduodenitis, bilateral chronic sensorineural hearing loss on the left of grade III, on the right — grade IV.
Denies previous pneumonia, tuberculosis and contacts with tuberculosis patients.
According to the patient, in June 2022, during a routine medical examination, changes in the fluorogram of the chest organs were first detected, which she cannot report. At the time of the examination, she had no complaints. In July 2022, chest X-ray revealed infiltration on the left in C4 and a round formation of 26 * 23 mm against its background. Upon further examination in August 2022, a computed tomography (CT) scan of the chest organs revealed bronchiectasis C4, C5 on the right, bilateral bronchiolitis. During examination at the tuberculosis dispensary in St. Petersburg, no data on the tuberculosis etiology of changes in the chest organs were found. She was consulted at the oncology dispensary; no data on the oncological process in the lungs were found.
From July 2022 to August 2023, she was observed by therapists and pulmonologists in various healthcare institutions in St. Petersburg with the diagnosis: Bronchiectatic pulmonary disease, exacerbation. Bronchiolitis of both lungs. Infiltrates of both lungs. Tracheobronchial dyskinesia stage 1. Chronic bronchitis with an obstructive component, mucopurulent, sluggish exacerbation. Pneumofibrosis.
The clinical manifestations of the disease first appeared in September 2022 in the form of complaints of a rare cough with viscous sputum.
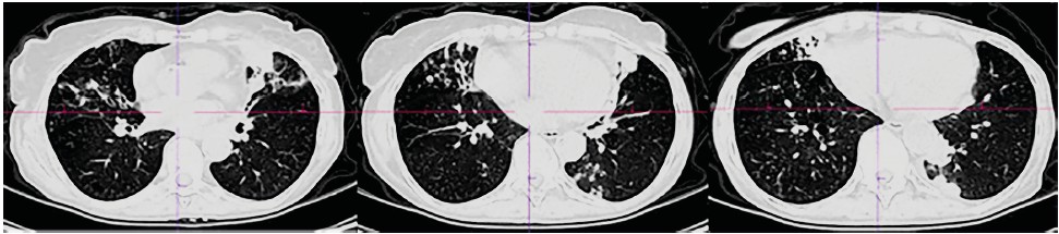
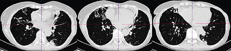
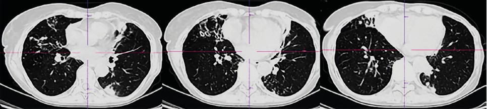
CT scans of the chest organs were performed repeatedly, where various dynamics were noted: migration of compaction areas, changes in their size and shape, changes in the shape and number of dilated bronchi. In general, the dynamics are negative, with a slow increase in the severity of bronchiectasis, the number and size of compaction areas (Table 1, Fig. 1–3).
Laboratory test results from August 2023: DNA Mycoplasma pneumoniae, Streptococcus pyogenes, Chlamydophila pneumoniae, Mycobacterium tuberculosis complex — not detected. Microbiological examination of sputum on dense nutrient media for Mycobacterium tuberculosis — no growth. Mycobacterium tuberculosis DNA — not detected. Received courses of antibacterial (Table 2), bronchodilator and mucolytic therapy. Inhalations of thiamphenicol acetylcysteine (fluimucil antibiotic) 500 mg per day, budesonide 2 mg per day, ambroxol 45 mg 1–2 times a day were performed, acetylcysteine 600 mg was taken orally, tiotropium bromide 5 mcg / dose, 1 dose per day was used.
Fig.1. Computed tomography of the chest organs of patient R dated 09/02/2022
Fig.2. Computed tomography of the chest organs of patient R dated 06/20/2023
Fig.3. Computed tomography of the chest organs of patient R dated 03/25/2024
Table 2
Antibacterial therapy from July 2022 to September 2023
Date | The drug and the dosage regimen | Duration |
July 2022 | Clarithromycin 500 mg 2 times a day orally | for 7 days |
August 2022 | Ceftriaxone 1000 mg 1 time per day intramuscularly, then: | for 7 days |
Moxifloxacin 400 mg 1 time per day orally | for 14 days | |
August 2023 | Levofloxacin 500 mg 1 time per day, then: | for 10 days |
Levofloxacin 500 mg every other day | for 30 days |
During the last long course of antibacterial therapy with levofloxacin in August 2023, severe side effects were observed: diarrhea, anorexia, nausea, general weakness, hearing loss, frequent episodes of dizziness. During the period of illness, weight loss of 6 kg was noted.
In September 2023, due to the lack of a positive effect from the therapy, a bronchoscopy was performed. Endoscopic signs of bronchial mucosa atrophy, tracheobronchitis of grade 3 inflammation intensity were revealed. Bronchoalveolar lavage was performed.
In the bronchoalveolar lavage fluid, no growth of bacterial flora was detected during culture, cells with signs of atypia, fungal cells and mycelium, or DNA of Mycobacterium tuberculosis. DNA of NTM was detected during a qualitative study. Culture for mycobacteria: growth of NTM was obtained. Result of NTM identification: Mycobacterium avium. The study was conducted twice. Result of drug susceptibility testing: clarithromycin R, amikacin S, moxifloxacin R, linezolid R.
Based on the examination results, the patient was diagnosed with focal infiltrative pulmonary mycobacteriosis, Micobacterium avium+ with sensitivity to amikacin. Due to the presence of bilateral hearing loss of grade III–IV, the patient and relatives categorically refused treatment with amikacin due to the side ototoxic effect of the drug. The patient was prescribed azithromycin 500 mg once a day for 10 days. The course of treatment with azithromycin also did not lead to an improvement in the clinical manifestations of the disease and positive dynamics according to CT of the lungs dated 12/27/2023. In April 2024, she contacted the JSC Meditsina clinic to determine further diagnostic and treatment tactics. At the time of the visit, the patient was bothered by a slight cough with mucous sputum and general weakness. An additional examination was carried out, including esophagogastroduodenoscopy, colonoscopy, mammography, MRI of the pelvic organs, and a consultation with a gynecologist to exclude an oncological process. According to diagnostic studies, no oncological pathology was detected. Laboratory test results: CRP 7.95 mg / l; antibodies to HIV, HbsAg, anti-HCV — negative. Humoral immunity indicators: total immunoglobulins of class G, M, A (IgG, IgM, IgA) within the reference values. Cellular immunity indicators: decreased cellular immunity indicators, mainly due to regulatory T-lymphocytes (T-helper-T-suppressor system); B-lymphocytes (CD‑19), insufficient activity of T-suppressors (increase in CD‑4/CD‑8 index to 3.48).
Given the low efficiency and presence of pronounced side effects of previous courses of antibacterial therapy, the high risk of ototoxicity and the unknown effect of amikacin, the torpid nature of the disease, the patient was advised to refrain from further antibacterial therapy. Recommendations were given for diet therapy to eliminate nutritional deficiencies, symptomatic treatment (mucolytic, bronchodilator therapy), therapy for intestinal dysbacteriosis, dynamic monitoring was recommended after 3 months. When contacting the clinic doctors after 2 months, the patient noted a significant improvement in her health, regression of cough, weakness, sweating, increased tolerance to physical activity, as well as improved appetite and normalization of stool, weight gain of 3 kg. During physical examination, there are no clinical manifestations of respiratory failure. When studying the function of external respiration, all indicators are normal.
Discussion
Researchers described a certain morphotype of a patient with NTML — relatively healthy women with a low body mass index, no fat deposits, pathology of the skeletal system in the form of scoliosis and funnel chest [5]. In the present clinical case, there are also characteristics of this morphotype — a female patient with a low body mass index, who can be considered relatively healthy for her age. The characteristic features of NTML are the absence of clinical manifestations of the disease in the patient and a long period (one year and three months) from the moment of detection of changes on the chest X-ray to the diagnosis of NTML. Tuberculosis in the patient was excluded, but testing for NTML was not performed.
The diagnosis of NTML is based on the clinical symptoms of the lung disease, the presence of focal or cavitary changes on the X-ray, detection of multifocal bronchiectasis in combination with multiple small foci on CT, and microbiological criteria: two or more positive sputum cultures for NTML from different samples or at least one positive culture for NTML of bronchoalveolar lavage fluid or bronchial washings [5]. In the presented clinical case, the diagnosis was confirmed by examining the bronchoalveolar lavage fluid, NTM DNA was detected, mycobacterium culture yielded NTM growth, and the NTM type was identified. Radiographic changes in NTML are similar to the manifestations of many chronic lung diseases. However, clinical and radiographic syndromes that are highly specific for non-tuberculous mycobacteriosis have been described. Thus, the bronchiectatic disseminated form of NTML is characterized by isolated lesions of the middle lobe and lingual segments of the lungs and a combination of multiple foci and bronchiectasis (Lady Windermere syndrome) [8].
To determine the tactics of patient management, assess the risk and benefit of the prescribed treatment, it is necessary to evaluate the patient’s condition and the radiographic picture in dynamics, laboratory markers of inflammatory activity. The need for conservative etiotropic treatment in the form of prescribing multicomponent antibacterial therapy is one of the main controversial issues to which there is no unambiguous answer.
The effectiveness of etiotropic therapy for NTML associated with MAC is 68.1 % (69 % for regimens containing macrolides and 58.5 % for aminoglycoside-containing regimens) [9]. There are published data indicating that multicomponent antibacterial therapy does not prevent complications such as hemoptysis, respiratory infections, development of chronic respiratory failure and does not affect the life expectancy of patients with NTML infected with MAC [10]. Elderly and senile age, concomitant diseases, adverse reactions to the use of antibacterial drugs are factors in favor of dynamic observation [5].
In the present clinical case, in an elderly patient with minimally expressed symptoms that do not reduce her quality of life, with concomitant ischemic heart disease, without clear negative dynamics according to chest CT, the need for and benefit of antibacterial treatment are questionable.
Conclusion
It is quite difficult to diagnose NTML at the early stages of the disease due to the absence of pathognomonic symptoms, non-specificity of the X-ray picture, and difficulties in using modern molecular genetic diagnostic methods at the primary health care stage. Long-term course, frequent exacerbations, ineffective treatment of chronic respiratory diseases are signs of possible NTML. Such patients constitute a risk group for NTML, they must be examined for NTMB for early diagnosis and timely treatment.
About the authors
Grigory E. Roytberg
Pirogov Russian National Research Medical University; Joint Stock Company «Medicina»
Email: bulanovanatalia@outlook.com
ORCID iD: 0000-0003-0514-9114
SPIN-code: 1032-9122
Moscow, Russian Federation
Alla A. Gritzay
Joint Stock Company «Medicina»
Email: bulanovanatalia@outlook.com
ORCID iD: 0009-0006-4102-6276
Moscow, Russian Federation
Alina Sh. Davydova
Pirogov Russian National Research Medical University; Joint Stock Company «Medicina»
Email: bulanovanatalia@outlook.com
ORCID iD: 0000-0002-5738-0740
SPIN-code: 5217-8213
Moscow, Russian Federation
Natalia A. Bulanova
Pirogov Russian National Research Medical University; Joint Stock Company «Medicina»
Author for correspondence.
Email: bulanovanatalia@outlook.com
ORCID iD: 0000-0001-7559-7030
SPIN-code: 1306-8984
Moscow, Russian Federation
References
- Izumi K, Morimoto K, Hasegawa N, Uchimura K, Kawatsu L, Ato M, Mitarai S. Epidemiology of adults and children treated for nontuberculous mycobacterial pulmonary disease in Japan. Ann Am Thorac Soc. 2019;3:341—347. doi: 10.1513/AnnalsATS.201806-366OC
- Thomson RM; NTM working group at Queensland TB Control Centre and Queensland Mycobacterial Reference Laboratory. Changing epidemiology of pulmonary nontuberculous mycobacteria infections. Emerg Infect Dis. 2010;10:1576—83. doi: 10.3201/eid1610.091201
- Griffith DE, Aksamit TR. Managing mycobacterium avium complex lung disease with a little help from my friend. Chest. 2021;4:1372—1381. doi: 10.1016/j.chest.2020.10.031
- Winthrop KL, Marras TK, Adjemian J, Zhang H, Wang P, Zhang Q. Incidence and prevalence of nontuberculous mycobacterial lung disease in a large U.S. managed care health plan, 2008—2015. Ann Am Thorac Soc. 2020;2:178—185. doi: 10.1513/AnnalsATS.201804-236OC
- Nontuberculous mycobacterioses of the lungs. A draft of clinical guidelines. 2023. Russian Respiratory Society. Moscow society of phthisiatricians. https://spulmo.ru/obrazovatelnye-resursy/federalnye-klinicheskie-rekomendatsii/ Access from 20.07.2024. [In Russian.]
- Hayashi M, Takayanagi N, Kanauchi T, Miyahara Y, Yanagisawa T, Sugita Y. Prognostic factors of 634 HIV-negative patients with Mycobacterium avium complex lung disease. Am J Respir Crit Care Med. 2012;185(5):575—583. doi: 10.1164/rccm.201107-1203OC.
- Vladimirova EB, Shmelev EI, Zaytseva AS, Kovalevskaya MN, Kasimtseva SA, Amansakhedov RB, Chernousova LN, Ergeshov AE, Shmeleva NM. Non-tuberculous mycobacteriosis of the lungs — diagnostic possibilities in the practice of the pulmonologist. Therapeutic Archive. 2019;91(11):31—36. doi: 10.26442/00403660.2019.11.000306. [In Russian.]
- Ushkov A, Azarov A, Archakova L. Disseminated lung damage with non-tuberculous mycobacteriosis (lady Windermere syndrome). Medical alliance. 2020;8(1):75—79. doi: 10.36422/23076348-2020-8-1-75-79. [In Russian.]
- Nasiri MJ, Ebrahimi G, Arefzadeh S, Zamani S, Nikpor Z, Mirsaeidi M. Antibiotic therapy success rate in pulmonary Mycobacterium avium complex: a systematic review and meta-analysis. Expert Rev Anti Infect Ther. 2020;3:263—273. doi: 10.1080/14787210.2020.1720650.
- Ushiki A, Tanaka S, Yamanaka M, Akahane J, Ikuyama Y, Komatsu M., Sonehara K, Ichiyama T, Wada Y, Tateishi K, Kitaguchi Y, Hanaoka M. Effect of multidrug therapy on the prognosis of Mycobacterium avium complex pulmonary disease. Sci Rep. 2024;14:4438. doi: 10.1038/s41598-024-55135-0.
Supplementary files













