Distribution of β-amyloid and pTau in brain cortex depending on age and mental state
- Authors: Sentyabreva A.V.1,2, Vasyukova O.A.1, Zorkina Y.A.3,4, Andryuschenko A.V.3,5, Kostyuk G.P.3,6,7, Eremina I.Z.2, Kosyreva A.M.1,2
-
Affiliations:
- Avtsyn Research Institute of Human Morphology of “Petrovsky National Research Centre of Surgery”
- RUDN University
- Alekseev Psychiatric Clinical Hospital No. 1
- Serbsky National Medical Research Center for Psychiatry and Narcology
- Lomonosov Moscow State University
- Russian Biotechnological University (ROSBIOTECH)
- Sklifosovsky Institute of Clinical Medicine, Sechenov University
- Issue: Vol 28, No 4 (2024): ONCOLOGY
- Pages: 488-498
- Section: HISTOLOGY
- URL: https://journals.rudn.ru/medicine/article/view/42012
- DOI: https://doi.org/10.22363/2313-0245-2024-28-4-488-498
- EDN: https://elibrary.ru/GZKOCG
- ID: 42012
Cite item
Full Text
Abstract
Relevance. Alzheimer’s disease (AD) is the most cause of disability and dementia, which is the 7th leading cause of death worldwide. Diagnosis of AD includes detection of amyloid plaques and hyperphosphorylated tau protein (pTau) in the brain. However, in recent years the amyloid hypothesis of AD development has been criticized and revised, and a growing pool of data emerges indicating more complex pathogenetic mechanisms leading to neurodegeneration in AD. The aim of our work was to evaluate the presence and distribution of amyloid plaques and pTau fragments in different regions of the cerebral cortex in patients > 60 years old with diagnosed dementia and without cognitive impairment, as well as in people < 60 years old. Materials and Methods. The amount of β-amyloid and pTau fragments in three groups of patients was measured on IHC stained histological sections in the regions of parahippocampal, temporal, and occipital cortex. Results and Discussion. Amyloid plaques were detected in all patients over 60 years of age (with and without dementia), while in younger individuals 60 years of age they were found in 66% of cases. The largest amyloid-β burden was observed in the occipital cortex. pTau was detected in all cortical areas in the three groups of patients. Also, the amount of pTau was higher in the occipital cortex in patients over 60 years of age both with and without dementia than in the group of people under 60 years of age. Conclusion. Thus, accumulation of pTau occurs earlier than β-amyloid. The amount of pTau was higher in patients over 60 years of age with clinically manifested dementia, while in some regions the amount of amyloid conglomerates is higher in cognitively intact patients. The findings point to much more complex mechanisms of the neurodegenerative diseases development with the formation of amyloid plaques being a consequence rather than cause of the disease.
Keywords
Full Text
Introduction
Alzheimer’s disease (AD) is the most cause of disability and dementia, which is the 7th leading cause of death worldwide. [1]. AD is an age-related disease and usually occurs in older people >60—65 years of age. AD also refers to socially significant pathologies, which means that social support should be provided from the federal budget in accordance with Federal Law N 323-FZ “On the fundamentals of protecting the health of citizens in the Russian Federation” [2]. Limited epidemiological studies and extrapolation of data obtained in other countries suggest that in 2020, in the Russian Federation there could live about 1.4 million patients with AD, while by 2035, their number will reach 2—3.6 million [3]. However, there is still no unified registry for patients with AD, as well as accessible and effective methods of intravital diagnosiс approaches, especially early ones, which would allow validating the diagnosis [4]. Only about 10% of all cases are taken into account in official morbidity statistics [5]. Current clinical guidelines indicate that the main part in the pathogenesis is violation of metabolism of amyloid precursor protein (APP) and the formation of insoluble β-amyloid conglomerates, as well as accumulation of hyperphosphorylated tau protein, which stabilizes the neuronal cytoskeleton microtubules. According to the amyloid theory, its hyperphosphorylation is initiated by already formed amyloid plaques. while the clinical manifestation and severity of the disease depends on the accumulation and distribution of these pathognomonic morphological AD signs [6, 7]. However, in recent years, the amyloid hypothesis of AD development has been criticized and revised, while a growing pool of data indicate much more complex pathogenetic mechanisms leading to neurodegeneration in AD. The aim of our work was to evaluate the presence of amyloid plaques and hyperphosphorylated tau protein fragments, as well as their distribution in different regions of the cerebral cortex, in patients > 60 years old with diagnosed dementia and without cognitive impairment, as well as in people < 60 years old.
Materials and Methods
Patients
Autopsy material for a retrospective study and anamnesis data from the medical records of patients >60 years old with diagnosed dementia were provided by the pathology department of Alekseev Psychiatric Clinical Hospital No. 1. Autopsy material and medical history data from patients > 60 years of age without diagnosed dementia and patients < 60 years of age were provided by the pathology department of the City Clinical Hospital No. 31 of the Moscow Department of Health (Table). Pathoanatomical autopsies were carried out in accordance with the order of the Ministry of Health of the Russian Federation No. 354n dated 06.06.2013 “On the procedure for conducting pathological autopsies”. The study was approved by the local ethics committee of Alekseev Psychiatric Clinical Hospital No. 1 (Protocol No. 2 of October 28, 2020).
Immunohistochemical and morphometric study
After fixing brain tissue samples (fragments 1 x 1 x 0.5 cm) in 10 % buffered formalin (BioVitrum, Russia), they were processed through alcohols of increasing concentration and poured into histomix according to the standard protocol, after which histological sections 5 μm thick were prepared. Immunohistochemical staining, morphological and morphometric assessment of histological preparations of the brain were carried out. Primary antibodies used: anti-Aβ 1—42 1:1000 (ab201060, Rabbit); anti-TAU‑2 1:1000 (sigma5530, Mouse); secondary antibodies: Donkey-anti-Rabbit HRP 1:500 (Novex lifetechnologies A16035); Goat-anti-Mouse HRP 1:500 (ab6789). The average number of amyloid plaques was assessed at a magnification of x100 (standard field of view 96,000 µm2), and fragments of phosphorylated tau protein (pTau) — at a magnification of x400 (field of view 25,000 µm2). Counting was carried out in the areas of the parahippocampal, temporal and occipital cortex. The areas were recommended by the National Institute on Aging — Alzheimer’s Association guidelines for the neuropathologic assessment of Alzheimer’s disease [8].
Statistical analysis
The morphometric study data were statistically processed using GraphPad Prism 8.1 software. Statistical differences between groups were assessed by multiple comparisons using the nonparametric Kruskal — Wallis test with the Dwass — Steele — Crichlow — Fligner post-hoc test. p < 0.05 differences between groups were considered significant.
Results and Discussion
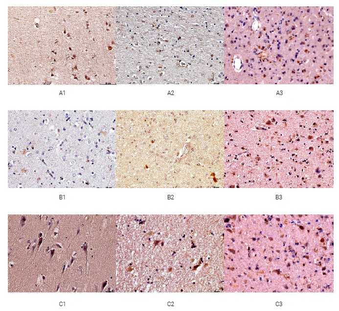
In the group of patients with clinically confirmed dementia, β-amyloid deposits were detected in 100 % of cases, while the size of amyloid plaques and the intensity of their staining varied significantly both between cortical regions in one patient and between patients in the corresponding cortical regions. In the occipital and temporal regions of the cortex, these structures were observed in 100 % of cases, while in the parahippocampal region of the cortex they were found only in 66 % (4/6) of patients (Fig. 1).
Similar morphological changes were observed in a group of elderly patients without diagnosed dementia. Conglomerates of β-amyloid were also detected in all samples of the occipital and temporal cortical regions, while in the parahippocampal region were visualized in 75 % (3/4) of patients (Fig. 1).
At the same time, in the group of patients < 60 years old, amyloid plaques were detected in only 66 % (4/6). In the occipital, temporal and parahippocampal regions of the cortex, a positive immunohistochemical reaction with antibodies to β-amyloid was recorded only in 16 % (1/6), 33 % (2/6) and 16 % (1/6) of cases, respectively (Fig.1).
At the same time, pTau fragments were detected in 100 % of patients in each group in all studied regions of the cerebral cortex (Fig. 2).
Figure 1. Distribution of amyloid plaques in the occipital (1), temporal (2), and parahippocampal (3) regions of the cerebral cortex in patients >60 years old with diagnosed dementia (A1, A2, A3), patients >60 years old without diagnosed dementia (B1, B2, B3) and patients <60 years old (C1, C2, C3). Immunohistochemical staining, primary antibodies anti-Aβ 1—42 (Rb) + secondary antibodies Donkey-anti-Rabbit HRP, staining with hematoxylin, magnification x100
Figure 2. Distribution of fragments of phosphorylated tau protein (pTau) in the occipital (1), temporal (2) and parahippocampal (3) regions of the cerebral cortex in patients >60 years old with diagnosed dementia (A1, A2, A3), patients >60 years old without diagnosed dementia (B1, B2, B3) and patients <60 years old (C1, C2, C3). Immunohistochemical staining, primary antibodies anti-TAU‑2 (Rb) + secondary antibodies Goat-anti-Mouse HRP, counterstaining with hematoxylin, magnification x400
Analysis of the distribution of β-amyloid conglomerates revealed a significant increase in the mean number of amyloid plaques per standard visual field in the occipital region of the cerebral cortex in both elderly patients with and without diagnosed dementia compared with the group of patients < 60 years of age. However, no differences were found for regions of the temporal and parahippocampal cortex, despite a trend towards an increase in the number of amyloid plaques in patients without dementia compared to patients with confirmed dementia (Fig. 3).
When assessing the distribution of pTau fragments in the occipital region of the cortex, an increase in the number of these structures was observed, similar to the distribution of β-amyloid deposits — in both groups of elderly patients it was significantly greater than in patients <60 years old. In the temporal and parahippocampal cortical regions, the number of pTau fragments was significantly higher in patients with dementia compared to the group of patients <60 years old, while no differences in this indicator were found between the groups of elderly patients without confirmed dementia and patients < 60 years old (Fig. 3).
In accordance with the amyloid hypothesis of Alzheimer’s disease [7], still dominant among researchers and clinicians, it is assumed that as the disease progresses, brain regions are affected in a certain order. Typically, the highest concentration of senile plaques, neurofibrillary tangles and neuronal death are detected in the mediobasal regions of the frontal and temporal lobes and the hippocampus; at the next stage, the posterior parts of the temporal and parietal lobes are involved in the pathological process, and the last ones are the frontal and occipital lobes of the brain [6]. However, recent studies using mathematical modeling have shown that amyloid plaques more likely form simultaneously in different cortical regions and subcortical structures than spread from primary affected areas to others [9]. In turn, neurofibrillary threads and tangles formed as a result of phosphorylation and subsequent misfolding of pTau manifest themselves in the entorhinal cortex, hippocampus and amygdala, and only then do they appear in various areas of the cortex. However, although it was previously believed that pTau fragments are formed after the formation of β-amyloid deposits as a consequence of its toxic effects [10, 11], it was later found that pTau is detected much earlier, including in young people aged <30 years [12, 13].
Figure 3. Distribution of amyloid plaques and fragments of phosphorylated tau protein (pTau) protein in the occipital, temporal, and parahippocampal cortex of the brain in patients <60 years old (<60 years, n = 6) patients >60 years old without diagnosed dementia (> 60 years D-, n = 4), and patients > 60 years old with diagnosed dementia (> 60 years D+, n = 6)
Note: * — p < 0.05. Multiple comparisons using the nonparametric Kruskal — Wallis test.
Our results confirm later literature data regarding the distribution and order of occurrence of pathognomonic morphological signs of AD: pTau fragments were identified in all patients, and their number was statistically significantly higher in all studied cortical areas in patients with diagnosed dementia compared to the group of patients <60 years. A significant increase in the number of amyloid plaques was recorded only in the temporal region of the cortex. At the same time, the localization and average number of amyloid plaques and pTau fragments in a standard visual field area did not correlate with the clinical manifestations of the disease, the rate of its progression and the severity of the course in patients included in this study.
These observations can be explained by the complex polyetiological nature of AD and the influence of a large number of modifiable and non-modifiable factors — for example, inflammation. As people age, cells inevitably age too, which is manifested by the acquisition of the senile pro-inflammatory secretory phenotype (SASP) and the formation of inflammaging — systemic chronic low-level inflammation [14]. It is important to note that the vast majority of patients included in the study had a history of concomitant somatic age-associated diseases, which were identified as risk factors for the development of dementia [15]. The most frequently mentioned disease was atherosclerosis, as well as type 2 diabetes mellitus, which are characterized by a systemic increase in the expression of inflammatory markers [16]. It is worth noting that some of the data from the medical records of patients with dementia was censored, and it was not possible to further clarify the presence or absence of age-associated diseases. Inflammatory responses, both systemic and limited to the central nervous system, are a debated risk factor not only for Alzheimer’s disease, but also for other mental illnesses such as schizophrenia [17]. However, it is AD that is an age-associated pathology with a high level of prevalence and a tendency to further increase; in addition, effective diagnosis and therapy for this neurodegenerative process have not yet been developed.
Conclusion
The presented data are evidence of the heterogeneous formation and distribution of pathognomonic signs of AD in the cerebral cortex — amyloid plaques and pTau fragments. It was noted that accumulation of pTau occurs earlier than β-amyloid. The average number of pTau fragments was significantly increased in patients with manifested dementia, while in some cortical regions the number of amyloid conglomerates was higher in cognitively intact elderly patients. Considering this, as well as the growing volume of data regarding more complex mechanisms underlying the pathogenesis of neurodegenerative diseases in general and AD in particular, it is advisable to continue experimental studies in the paradigm of non-amyloid hypotheses.
About the authors
Alexandra V. Sentyabreva
Avtsyn Research Institute of Human Morphology of “Petrovsky National Research Centre of Surgery”; RUDN University
Author for correspondence.
Email: alexandraasentyabreva@gmail.com
ORCID iD: 0000-0001-5064-219X
SPIN-code: 6966-9959
Moscow, Russian Federation
Olyesya A. Vasyukova
Avtsyn Research Institute of Human Morphology of “Petrovsky National Research Centre of Surgery”
Email: alexandraasentyabreva@gmail.com
ORCID iD: 0000-0001-6068-7009
SPIN-code: 2242-0958
Moscow, Russian Federation
Yana A. Zorkina
Alekseev Psychiatric Clinical Hospital No. 1; Serbsky National Medical Research Center for Psychiatry and Narcology
Email: alexandraasentyabreva@gmail.com
ORCID iD: 0000-0003-0247-2717
SPIN-code: 3017-3328
Moscow, Russian Federation
Alisa V. Andryuschenko
Alekseev Psychiatric Clinical Hospital No. 1; Lomonosov Moscow State University
Email: alexandraasentyabreva@gmail.com
ORCID iD: 0000-0002-7702-6343
SPIN-code: 8864-3341
Moscow, Russian Federation
Georgy P. Kostyuk
Alekseev Psychiatric Clinical Hospital No. 1; Russian Biotechnological University (ROSBIOTECH); Sklifosovsky Institute of Clinical Medicine, Sechenov University
Email: alexandraasentyabreva@gmail.com
ORCID iD: 0000-0002-3073-6305
SPIN-code: 3424-4544
Moscow, Russian Federation
Irina Z. Eremina
RUDN University
Email: alexandraasentyabreva@gmail.com
ORCID iD: 0000-0002-5093-6232
SPIN-code: 5819-6159
Moscow, Russian Federation
Anna M. Kosyreva
Avtsyn Research Institute of Human Morphology of “Petrovsky National Research Centre of Surgery”; RUDN University
Email: alexandraasentyabreva@gmail.com
ORCID iD: 0000-0002-6182-1799
SPIN-code: 5421-5520
Moscow, Russian Federation
References
- The top 10 causes of death. WHO. 2020. Available at: https://www.who.int/news-room/fact-sheets/detail/the-top‑10‑causes-of-death [Accessed on 2024 February 12].
- Federal Law of 21.11.2011 № 323-FZ “On the basis of the healthcare of citizens in the Russian Federation” (in Russian).
- Vatolina M. The problems of evaluation of mortality of Alzheimer’s disease in Russia. Zdravookhraneniye Rossiyskoy Federatsii. 2015;59(4):20—24. (in Russian).
- Haque SS. Biomarkers in the diagnosis of neurodegenerative diseases. RUDN Journal of Medicine. 2022;26(4):431—440. doi: 10.22363/2313-0245-2022-26-4-431-440
- Vasenina E, Levin O, Sonin A. Modern trends in epidemiology of dementia and management of patients with cognitive impairment. Zhurnal nevrologii i psikhiatrii imeni S.S. Korsakova. 2017;117(6—2):87—95. (in Russian).
- Tkacheva ON, Yakhno NN, Neznanov NG, Levin OS, Gusev EI. Cognitive disorders in elderly and senile people. Clinical recommendations. M., 2020. 317 p. (in Russian).
- Hardy JA, Higgins GA. Alzheimer’s disease: the amyloid cascade hypothesis. Science. 1992;256(5054):184—185. doi: 10.1126/science.1566067
- Hyman BT, Phelps CH, Beach TG, et al. National Institute on Aging-Alzheimer’s Association guidelines for the neuropathologic assessment of Alzheimer’s disease. Alzheimer’s & dementia: the journal of the Alzheimer’s Association. 2012;8(1):1—13. doi: 10.1016/j.jalz.2011.10.007
- Whittington A, Sharp DJ, Gunn RN; Alzheimer’s Disease Neuroimaging Initiative. Spatiotemporal Distribution of β-Amyloid in Alzheimer Disease Is the Result of Heterogeneous Regional Carrying Capacities. Journal of Nuclear Medicine. 2018;59(5):822—827. doi: 10.2967/jnumed.117.194720
- Braak H, Braak E. Neuropathological stageing of Alzheimer-related changes. Acta Neuropathologica. 1991;82(4):239—259. doi: 10.1007/BF00308809
- Thal DR, Rüb U, Orantes M, Braak H. Phases of A beta-deposition in the human brain and its relevance for the development of AD. Neurology. 2002;58(12):1791—1800. doi: 10.1212/wnl.58.12.1791
- Braak H, Thal DR, Ghebremedhin E, Del Tredici K. Stages of the pathologic process in Alzheimer disease: age categories from 1 to 100 years. Journal of Neuropathology & Experimental Neurology. 2011;70(11):960—969. doi: 10.1097/NEN.0b013e318232a379
- Braak H, Del Tredici K. The pathological process underlying Alzheimer’s disease in individuals under thirty. Acta Neuropathologica. 2011;121(2):171—181. doi: 10.1007/s00401-010-0789-4
- Franceschi C, Campisi J. Chronic inflammation (inflammaging) and its potential contribution to age-associated diseases. The journals of gerontology. Series A, Biological sciences and medical sciences. 2014;69 Suppl 1: S4-S9. doi: 10.1093/gerona/glu057
- Dementia. WHO. 2023. Available at: https://www.who.int/news-room/fact-sheets/detail/dementia. [Accessed 2024 March 2].
- Kosyreva AM, Sentyabreva AV, Tsvetkov IS, Makarova OV. Alzheimer’s Disease and Inflammaging. Brain Science. 2022;12(9):1237. doi: 10.3390/brainsci12091237
- Müller N. Inflammation in Schizophrenia: Pathogenetic Aspects and Therapeutic Considerations. Schizophrenia Bulletin. 2018;44(5):973—982. doi: 10.1093/schbul/sby024
Supplementary files













