Влияние терапии полидезоксирибонуклеотидами на регенерацию длительно незаживающих послеоперационных дефектов кожи
- Авторы: Барановский А.Г.1, Шаповалова Е.Ю.1, Барановский Ю.Г.1, Кузьминов Б.И.1, Харченко С.В.1, Лугин И.А.1, Кутузова Л.А.1, Сатаева Т.П.1, Попов С.В.2, Бахтияров К.Р.2, Юферов Д.Ю.2, Демяшкин Г.А.2
-
Учреждения:
- Крымский федеральный университет имени В.И. Вернадского
- Российский университет дружбы народов
- Выпуск: Том 30, № 1 (2026): ХИРУРГИЯ
- Страницы: 114-123
- Раздел: ДЕРМАТОЛОГИЯ
- URL: https://journals.rudn.ru/medicine/article/view/49083
- DOI: https://doi.org/10.22363/2313-0245-2025-30-1-114-123
- EDN: https://elibrary.ru/DHLPEM
- ID: 49083
Цитировать
Полный текст
Аннотация
Актуальность. Лечение хронических ран на сегодняшний день остается серьезной проблемой ввиду их распространенности и сопутствующих осложнений. Терапия полидезоксирибонуклеотидами, способствующая ангиогенезу и регенерации тканей, является перспективным методом лечения. Цель: анализ пролиферативной и апоптотической активности клеток регенераторного гистиона в биоптатах длительно незаживающих послеоперационных дефектов кожи на этапах заживления на фоне терапии полидезоксирибонуклеотидами. Материалы и методы. В работе использовали 24 белых мыши линии C57/Bl в возрасте 4-6 месяцев и весом 32 ± 0,01 г, разделенных на контрольную (n = 12) и основную (n = 12) группы. В основной группе 0,38 мл раствора полидезоксирибонуклеотидов вводили в дно и края хирургического ишемизированного дефекта кожи. На 4, 7, 10 и 12-е сутки после моделирования раны биоптаты заливали в парафин и окрашивали гематоксилином и эозином. Клетки биоптатов в состоянии митотического деления, проапоптоза и с экспрессией антиапоптотического гена Bcl-2 выявляли иммуногистохимически с использованием первичных антител Ki-67 (моноклональные кроличьи [SP6] Cell Marque, США), p53 (поликлональные кроличьи [GTX50438] GeneTex Inc, США) и Bcl-2 ([N1N2], [GTX100064] GeneTex Inc, США) соответственно. В качестве вторичных антител использовали систему HiDef Detection™ HRP Polymer (Cell Marque, США), конъюгированную с пероксидазой хрена. Для адекватной визуализации структуры регенерата срезы биоптатов дополнительно докрашивали гематоксилином Майера. Индекс антиген-положительных клеток определяли путем их подсчета на 100 клеток при увеличении микроскопа ×1350 с последующим расчетом индекса в процентах. Статистический анализ включал проверку на нормальность распределения с помощью теста Шапиро-Уилка и использование критерия Манна-Уитни для попарных сравнений; данные групп описывали с помощью медианы, первого и третьего квартилей (межквартильный размах). Результаты и обсуждение. К 12-м суткам в основной группе грануляционная ткань биоптатов находилась в начале третьей фазы раневого процесса, тогда как в контрольной группе продолжалась вторая фаза раневого процесса. Стабильная клеточная популяция в основной группе сформировалась на 2 дня раньше, чем в контрольной. Выводы. Терапия полидезоксирибонуклеотидами оказалась безопасной и хорошо переносимой; она ускорила заживление длительно незаживающих послеоперационных дефектов кожи на 16,67 ± 0,01% за счет стимуляции пролиферативной активности фибробластов дермы, регуляции экспрессии антиапоптотического гена Bcl-2 и проапоптотического гена p53 в клетках фибробластического дифферона.
Полный текст
Introduction
One of the priority tasks of modern medicine is the development of medical science and innovations in the healthcare sector. It involves the development and implementation of new effective technologies for the treatment of socially significant diseases [1]. Chronic wound healing currently remains a serious problem due to its frequency and associated complications [2]. Chronic wounds, including long-term non-healing postoperative skin defects, are also a severe complication of many diseases associated with a local decrease in blood flow in venous and arterial vessels and microcirculation [2].
Advances in understanding the biology of chronic ischemic wounds have led to the development of small molecule nucleic acid nucleotide therapies that stimulate angiogenic activity and modulate the repair process with exciting potential for clinical application [3]. Many literatures data report that nucleotides secreted by cells into the extracellular space in response to damage take part in all stages of wound healing. They activate the corresponding nucleotide receptors [4].
On this basis a new class of medicinal substances has now emerged — polydeoxyribonucleotides (PDRN). PDRN can be extracted from the sperm of salmon fish. PDRN contains deoxyribonucleotide polymers with 50–2000 nitrogen base pairs [5].
It is known that PDRN is a combination of purine and phosphodiester bonds forming a monometric unit of pyrimidine nucleotides, which selectively bind the A2 purinergic receptor. This complex promotes cell growth of fibroblasts and epidermocytes, as well as neogenesis [6]. Experimental study indicates an increase in the mobility and proliferation of human fibroblasts at the wound site, depending on the concentration of PDRN [7].
In the available literature, there is practically no information about the proliferation of regenerative wound surface cells and proapoptosis of the same cells in the wound healing process of long-term non-healing postoperative skin defects against the background of PDRN therapy. In this regard, the purpose of the study was to analyze the proliferative and apoptotic activity of regenerative wound surface cells in biopsy samples of long-term non-healing postoperative skin wound at the stages of its healing against the background of PDRN administration.
The aim of this study: to analyze the proliferative and apoptotic activity of regenerative wound surface cells in biopsy samples of long-term non-healing postoperative skin defects at the stages of its healing during PDRN therapy.
Materials and methods
Animals for in vivo study
The study used 24 white male laboratory mice of the C57/B1 line, 4–6 months old. The sample size (n = 72) was calculated using the on-line Sample Size Calculator at a given confidence level of 95% and a permissible error of 4% by the formula
n = z2 x p x (1 — p) / e2,
where: z = 1.96 at a confidence level (α) of 95%, p = proportion (expressed as a decimal fraction), e = error. All animals were divided into control and main groups (three mice for each studied day in each studied group).
The experiments were carried out in compliance with all principles of humanity contained in the European Community Directive (86/609/EC) and the Declaration of Helsinki. The method of forming a model wound is described in the work of Baranovsky Yu. G. et al., 2016 [8]. In the MG, the model wound was injected immediately after surgery with 0.38 ml of PDRN “Plenhyage Medium” from I.R.A. Istituto Ricerche Applicate Sri (Italy).
Morphological study
After 4, 7, 10 and 12 days, the recovering ischemic skin defect was excised during repeated surgery under anesthesia of a 2.5% avertin solution 0.3–0.4 ml intraperitoneal injection. The biopsy specimen was placed in a 10% solution of buffered neutral formalin. The surgical wound was sutured and the mice were returned to the vivarium after healing.
According to the generally accepted method, the material was impregnated with paraffin. Survey staining of the sections was carried out with Mayer’s hematoxylin and eosin.
Immunohistochemical study
Regenerative tissue cells in a state of mitotic division were identified immunohistochemically using primary monoclonal antibodies Ki‑67 (Monoclonal rabbit [SP6] “Cell Marque”, USA), which bind to the nuclear antigen that functions in cells in a state of proliferation. Cells in a state of proapoptosis were identified based on the expression of the tumor suppressor gene p53 in their nuclei using monoclonal antibodies to p53 (Polyclonal rabbit, (GTX50438) GeneTex Inc, USA). The anti-apoptotic protein Bcl‑2, which blocks apoptosis and prolongs cell life, was identified by monoclonal antibodies to Bcl‑2 [N1N2], (GTX100064) GeneTex Inc, USA). This protein is involved in maintaining the balance between cell proliferation and differentiation.
Universal antibodies (HiDef Detection™ HRP Polymer system, Cell Marque, USA) were used as secondary antibodies, allowing the detection of rabbit primary antibodies conjugated to an enzyme complex based on horseradish peroxidase. Visualization was carried out in the diaminobenzidine — hydrogen peroxide system. To adequately represent the structure of tissue and cell nuclei, biopsy sections of a healing ischemic skin wound of mice were additionally stained with Mayer’s hematoxylin for 3 minutes. For each marker, control studies were performed to exclude pseudopositive and pseudonegative results.
Quantitative analysis
The index of antigen-positive cells was determined by counting their number per 100 cells at a magnification of an Olympus ×1350 light microscope. The percentage of antibody positive cells were calculated as an average based on the results of 30 studied visual fields of each biopsy in the CG and MG.
Statistical analysis
The normality of data distribution was checked using the Shapiro-Wilk test [9]. Pairwise comparisons were made between the control and main groups of mice after 4, 7, 10 and 12 days from the start of the model wound healing. Because the distribution of the data was not normal, the Mann-Whitney test was used for pairwise comparisons, and group data were described using the median, first and third quartiles (interquartile range) [9, 10]. All calculations were carried out in the statistical environment R version 4.2.3 [11]. The data obtained were visualized using the Ggplot2 package [12]. Significance of differences was accepted at a significance level of P < 0.05.
Results and discussion
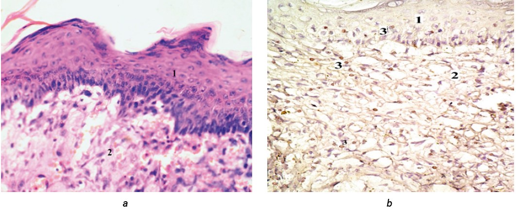
On day 4 after the wound modeling, the epidermis in CG and MG mice is not determined, and the skin defect is covered with a voluminous scab (Figure 1a). The edges of the wound were limited by a stitched silicone ring. Histological examination revealed that the scab is formed by fibrin, which contains mostly dead and destructured inflammatory cells. The scab is more voluminous in the CG [13]. Directly under the scab lies a thin layer of granulation tissue in the second proliferative stage of the wound process with collagen fibers and rare blood vessels. The rest of the defect is filled with white adipocytes rising from the hypodermis.
In CG and MG cells in a state of proliferation (Figure 1b) are scattered throughout the granulation tissue and the interquartile range of the index of these cells is 9.42–11.52 and 17.28–21.12, respectively (Table). Cells expressing the anti-apoptotic gene Bcl‑2 are more numerous and have the same localization in the granulation tissue of both groups. The interquartile range of their index is 18.1–22.4 for the CG and 35.5–43.4 after the introduction of PDRN. The numerical value of the median index of cells with expression of the anti-apoptotic gene Bcl‑2 in the MG is 48.99±0.01% greater than that in the CG. Cells in a state of proapoptosis are not detected. This ratio of the numerical value of the median of proliferating cells and cells in a state of proapoptosis in the regeneration of the CG and OG allows us to classify this cell population as a growing cell population [14].
Fig. 1. Biopsy section of the MG on the day 4 after surgery to simulate an ischemic skin defect. Scab (1) and granulation tissue (2). a — Hematoxylin and eosin staining. Magnification: x200. b — cells in a state of proliferation (3). Staining with monoclonal antibodies to Ki‑67. Visualization in the diaminobenzidine–hydrogen peroxide system, magn. ×400
Table
Comparison of statistical samples of cell indices in the state of proliferation (Ki‑67), proapoptosis (p53) and arrest of apoptosis (Bcl‑2) in biopsy samples of regenerating wounds of the control and main groups
Day | Main groupmedian (1–3 quartiles), interquartile range | Control group median (1–3 quartiles), interquartile range | P-value | Studied indices |
4 | 19.20 (17.28–21.12) | 10.47 (9.42–11.52) | <0.01 | Ki‑67 |
7 | 50.06 (45.05–55.07) | 20.93(18.84–23.02) | <0.01 | Ki‑67 |
10 | 63.34 (57.01–69.67) | 51.95 (48.76–53.15) | <0.01 | Ki‑67 |
12 | 71.27 (68.58–78.40) | 64.22 (57.80–65.64) | <0.05 | Ki‑67 |
4 | 39.42 (35.5–43.4) | 20.11 (18.1–22.4) | <0.01 | Bcl‑2 |
7 | 53.41 (48.1–58.8) | 27.17 (24.4–29.9) | <0.01 | Bcl‑2 |
10 | 30.55 (27.5–33.6) | 57.73 (52.0–63.5) | <0.01 | Bcl‑2 |
12 | 22.05 (19.8–24.3) | 60.27 (54.2–66.3) | <0.01 | Bcl‑2 |
4 | 0.00 | 0.00 | - | p53 |
7 | 7.97 (7.17–9.71) | 0.00 | - | p53 |
10 | 42.19 (37.97–46.41) | 0.00 | - | p53 |
12 | 69.52 (62.57–76.47) | 3.3 (2.97–3.63) | - | p53 |
On day 7, the position of the restrictive silicone ring around the wound did not change in both groups. The surface of the wound is a scab. On microscopic examinations the scab contains fibrin and a small amount of cellular debris. At the studied stage of regenerative tissue histogenesis, complete epithelization of the skin defect in the MG was recorded, while in the CG the central areas of the defect did not achieve this result. After PDRN administration, the epidermis is significantly thicker due to the appearance of an additional third row of epidermocytes [13]. The thickness of granulation tissue of biopsy specimens also increased statistically significantly in both groups. Active healing of an ischemic skin defect is accompanied by an increase in the index of fibroblast proliferating cells.
In the CG and MG, the interquartile range of the index of Ki‑67‑positive cells was 20.93 (18.84–23.02) and 50.06 (45.05–55.07) respectively (Table). As a percentage, the numerical value of the median of dividing cells in MG biopsy samples is 51.18% greater than those in CG biopsies.
The interquartile range of the index of cells with expression of the anti-apoptotic gene Bcl‑2 is 27.17 (24.4–29.9) in the CG and 53.41 (48.1–58.8) in the MG. As a percentage, the numerical value of the median of cells with the active Bcl‑2 gene is 48.99% greater during the administration of PDRN compared to that in the CG (Table). At the same time among the cellular elements of the MG regenerative tissue present cells positive for apoptosis marker p53. The interquartile range of the index of cells in a state of proapoptosis is 7.97 (7.17–9.71). The cell population of both groups can still be classified as a growing cell population due to the high numerical value of the median index of proliferating cells, which is facilitated by the high numerical value of the median index of cells expressing the anti-apoptotic gene Bcl‑2.
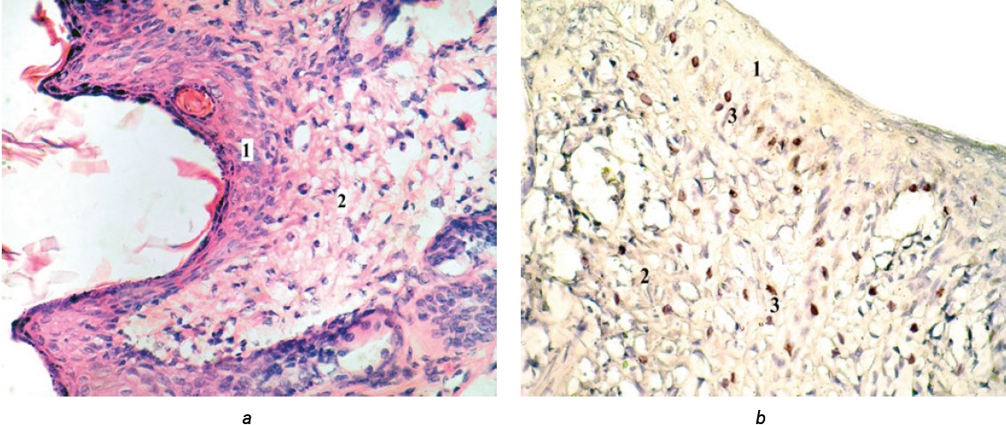
On the day 10.4 ± 0.01 of the postoperative period, spontaneous separation of the silicone ring from the wound was observed in MG mice, while it was present in CG mice. On day 10, the entire surface of the wound in both groups is covered with regenerated epidermis. After puncturing the PDRN wound (MG) epidermis is noticeably thicker and has more pronounced differentiation into layers of the forming stratified squamous partially keratinized epithelium [13]. Fragmented scab remains above the epidermis in MG (Figure 2a). The basis of biopsy specimens at this stage of wound healing is granulation tissue, which appears more differentiated in the MG.
Fig.2. Biopsy section of the MG on day 10 after surgery to simulate an ischemic skin defect. Epidermis (1) and granulation tissue (2). a — Hematoxylin and eosin staining. Magnification: 400. b — cells in a state of proapoptosis (3). Staining with monoclonal antibodies to p‑53. Visualization in the diaminobenzidine–hydrogen peroxide system, magn. × 200
Numerical value of the median of regenerative tissue cells of all studied biopsy samples in a state of proliferation continue to actively increase. In the CG and MG, it increased compared to the previously described period of wound healing by 59.71% and 20.97%, respectively (Table). In the MG, the median of cells with the Ki‑67 marker is 17.98 ± 0.01% higher compared to that in the CG. Against the background of PDRN-puncture, the numerical value of the median of apoptotic cells from days 7 to 10 increased by 81.51% (Figure 2b). In the CG there are no cells with expression of the proapoptosis gene p53 (Table).
The numerical value of the median index of cells with expression of the anti-apoptotic gene Bcl‑2 among the population of biopsy cells from the CG increased by 52.95% compared to the 7th day of regeneration. At the same time in the MG the numerical value of median Bcl‑2‑positive cells decreased by 42.80%, which likely the regenerated cells actively participate in the process of eliminating excess cellular elements. In the CG, the numerical value of the median index of cells with the Bcl‑2 marker is 47.08% higher. Based on the fact that the numerical value of the median index of proliferating cells reliably exceeds the numerical value of the median index of cells in a state of proapoptosis (Table), the cell population in both groups on the day 10 of regenerative tissue histogenesis can be assessed as a growing cell population.
On day 12, the ring around the model wound was absent in mice of both groups. In biopsy sections in the stratified squamous partially keratinized epithelium of the epidermis the number of rows of epidermocytes increased and differentiated into four layers: basal, spinosum, granulosum and cornium. The epidermis is widest and looks more differentiated after PDRN- therapy (Figure 3a). Among the cells of the stratum basale and stratum spinousum Ki‑67‑positive proliferating cells, are well contoured. Under the epidermis in the expanding, fibrosing and differentiating granulation tissue, cellular elements with a positive reaction to the Ki‑67 marker are also present.
The numerical value of the median index of Ki‑67‑positive cells increased by 11.13% compared to day 10 of wound healing. In CG biopsies the numerical median index value of proliferating epidermis cells is noticeably thinner than in the MG [13]. In granulation tissue it increased statistically significantly by 19.11 ± 0.01% over day 7 to day 10 (Figure 3b). However, when comparing the numerical value of the median index of Ki‑67‑positive cells in the structures of biopsy specimens from the CG and MG, it statistically significantly 9.89 ± 0.01% higher in mice of the MG. The numerical value of the median index of cells with arrested apoptosis after PDRN therapy decreased by 37.08% compared to the day 10 of the model wound regeneration, allowing the elimination of cells from the composition of the regenerative tissue. Thus, the numerical value of the median index of p53‑positive cells over the same period increased by 37.87%. The depletion of granulation tissue in cellular elements indicates the beginning of the process of fibrosis [14].
Fig.3. Biopsy section of the MG on day 12 after surgery to simulate an ischemic skin defect. Epidermis (1) and granulation tissue (2). a — Hematoxylin and eosin staining. Magnification: x200. b — cells in a state of proliferation (3). Staining with monoclonal antibodies to Ki‑67. Visualization in the diaminobenzidine–hydrogen peroxide system, magn. ×200
In the CG, the numerical value of the median index of cells with Bcl‑2 gene expression continued to increase, but the increase was 4.21%, which is statistically insignificant. In this regard, on day 12 of the model skin defect healing cells with an active apoptosis gene p53 were detected for the first time. Their interquartile range is 3.3 (2.97–3.63) (Table). A comparison of biopsy samples from the CG and MG at this stage of regenerative tissue histogenesis revealed that among the cellular elements, the numerical value of the median index of cells with expression of the Bcl‑2 gene is 63.40% higher in the CG than in the MG. The numerical value of the median index of cells in the state of proapoptosis — 95.25% higher in the MG (Table). Based on the fact that in the cell population of MG biopsies, the numerical value of the median index of cells in a state of proliferation statistically does not differ from numerical values of the median index of cells in a state of proapoptosis, such a cell population can be classified as a stable cell population. The cell population of CG biopsies continues to grow.
The stated research topic is practically not covered in the domestic literature, probably due to the need for a specialized sterile laboratory, highly qualified scientific and support personnel who have undergone specialized training, and the high cost of the pharmacological preparation of polydeoxyribonucleotides, which is not produced in the Russian Federation and is distributed by network marketing as pharmacological preparation for cosmetic correction of facial skin. A few works by foreign authors [6, 15] reflect successful attempts to use pharmacological preparations of PDRN (the range of which is quite wide in the European and North American pharmacological industry) in the clinical practice of surgeons in the treatment of long-term non-healing ischemic skin defects, which occur in 1–2% of the elderly population and seriously worsening the working capacity and quality of life of the population. At the same time, the cellular mechanisms of healing of ischemic skin defects after PDRN therapy remain unclear.
During all the days of healing of the ischemic model wound we studied, the difference between the indicators of the MG and CG was significant. On days 4 and 7 the difference between the CG and MG was most pronounced. Subsequently, the difference decreases, nevertheless remaining statistically significant (Table). The proliferative activity of regenerative tissue cells is higher after PDRN therapy.
By the 12th day of healing of an ischemic model wound, mice of both groups observed the absence of a silicone ring limiting the wound and complete epithelization of the wound. After puncturing an ischemic skin defect with polydeoxyribonucleotides, it accelerates the healing of the defect by 16.67 ± 0.01%, which is ensured by the active proliferation of fibroblast differon cells, predominantly differentiated specialized fibroblasts (Table). However, on day 12 of regenerative tissue histogenesis in the MG granulation tissue is at the beginning of the third stage of the wound process, while in the CG the second stage of the wound process continues. A stable cell population is formed in MG 2 days earlier than in the CG.
Our findings align with the results reported by Azhikova et al. [16, 17], who demonstrated that tissue repair stimulators (such as panthenol) enhance granulation and epithelization without extensive scarring. This supports the efficacy of the regenerative agents used in our study in significantly reducing healing time.
The index of cells with expression of the anti-apoptotic gene Bcl‑2 in the CG is statistically significant and increases up to day 12 of wound healing. In the MG it statistically significantly decreases by day 12, which leads to a sharp increase in the index of cells with p53 gene expression and their elimination from the population by apoptosis. This elimination is necessary for fibrosis of granulation tissue in the third stage of wound healing process.
Conclusion
An injection of a PDRN solution into the edges and bottom long-term non-healing ischemic skin defects appears to be a strong candidate for the innovative treatment of chronic ischemic skin defects and the prevention of excessive scarring. PDRN therapy turned out to be safe and tolerable and accelerates the healing of long-term non-healing ischemic skin defects by 16.67±0.01% by stimulating the proliferative activity of dermal differentiated specialized fibroblasts and regulating the expression of the anti-apoptotic gene Bcl‑2 and the apoptosis gene p53 in the nuclei of fibroblast differentiated cells.
Об авторах
А. Г. Барановский
Крымский федеральный университет имени В.И. Вернадского
Email: dr.dga@mail.ru
ORCID iD: 0000-0001-6995-3975
SPIN-код: 1882-2530
Симферополь, Российская Федерация
Е. Ю. Шаповалова
Крымский федеральный университет имени В.И. Вернадского
Email: dr.dga@mail.ru
ORCID iD: 0000-0003-2544-7696
SPIN-код: 5321-1246
Симферополь, Российская Федерация
Ю. Г. Барановский
Крымский федеральный университет имени В.И. Вернадского
Email: dr.dga@mail.ru
ORCID iD: 0000-0002-7044-1122
SPIN-код: 5489-8880
Симферополь, Российская Федерация
Б. И. Кузьминов
Крымский федеральный университет имени В.И. Вернадского
Email: dr.dga@mail.ru
ORCID iD: 0000-0002-3691-5531
Симферополь, Российская Федерация
С. В. Харченко
Крымский федеральный университет имени В.И. Вернадского
Email: dr.dga@mail.ru
ORCID iD: 0000-0003-2602-0504
SPIN-код: 8506-5169
Симферополь, Российская Федерация
И. А. Лугин
Крымский федеральный университет имени В.И. Вернадского
Email: dr.dga@mail.ru
ORCID iD: 0000-0002-9297-9038
SPIN-код: 4062-5030
Симферополь, Российская Федерация
Л. А. Кутузова
Крымский федеральный университет имени В.И. Вернадского
Email: dr.dga@mail.ru
ORCID iD: 0000-0002-8448-5476
SPIN-код: 9887-7150
Симферополь, Российская Федерация
Т. П. Сатаева
Крымский федеральный университет имени В.И. Вернадского
Email: dr.dga@mail.ru
ORCID iD: 0000-0001-6451-7285
SPIN-код: 6630-3245
Симферополь, Российская Федерация
С. В. Попов
Российский университет дружбы народов
Email: dr.dga@mail.ru
ORCID iD: 0000-0002-0567-4616
SPIN-код: 8207-3560
Москва, Российская Федерация
К. Р. Бахтияров
Российский университет дружбы народов
Email: dr.dga@mail.ru
ORCID iD: 0000-0001-7114-4050
SPIN-код: 4820-1340
Москва, Российская Федерация
Д. Ю. Юферов
Российский университет дружбы народов
Email: dr.dga@mail.ru
ORCID iD: 0009-0004-6870-0211
SPIN-код: 1733-3479
Москва, Российская Федерация
Г. А. Демяшкин
Российский университет дружбы народов
Автор, ответственный за переписку.
Email: dr.dga@mail.ru
ORCID iD: 0000-0001-8447-2600
SPIN-код: 5157-0177
Москва, Российская Федерация
Список литературы
- Health care in Russia 2022–2023: urgent measures in the context of a special situation in the economy and social sphere. Problems and suggestions (version from 04/08/2022). Vestnik VShOUZ. 2022;8(2):22–47. doi: 10.33029/2411-8621-2022-8-2-4-21 (In Russian).
- Węgłowska E, Koziołkiewicz M, Kamińska D, Grobelski B. Extracellular nucleotides affect the proangiogenic behavior of fibroblasts, keratinocytes, and endothelial cells. Int J Mol Sci. 2022;23(1):238. doi: 10.3390/ijms23010238
- Veith A, Henderson K, Spencer A, Sligar AD, Rangasamy S. Therapeutic strategies for enhancing angiogenesis in wound healing. Adv Drug Deliv Rev. 2018;146:97–125. doi: 10.1016/j.addr.2018.09.010
- Edirisinghe SL, Nikapitiya C, Dananjaya SHS, Park J. Effect of Polydeoxyribonucleotide (PDRN) treatment on corneal wound healing in Zebrafish (Danio rerio). Int J Mol Sci. 2022;23(21):13525. doi: 10.3390/ijms232113525
- Noh TK, Chung BY, Kim SY, Lee MH. Novel antimelanogenesis properties of Polydeoxyribonucleotide, a popular wound healing booster. Int J Mol Sci. 2016;17(9): E1448. doi: 10.3390/ijms17091448
- Squadrito F, Bitto A, Altavilla D, Arcoraci V, De Caridi G. The effect of PDRN, an adenosine receptor A2A agonist, on the healing of chronic diabetic foot ulcers: results of a clinical trial. J Clin Endocrinol Metab. 2014;99(5): E746-E753. doi: 10.1210/jc.2013-3578
- Woonhyeok J, Chae EY, Tai SR, Jun HK. Scar prevention and enhanced wound healing induced by polydeoxyribonucleotide in a rat incisional wound-healing model. Int J Mol Sci. 2017;18(8):1698. doi: 10.3390/ijms18081698
- Baranovskiy YG, Il’chenko FN, Shapovalova EY. Method for modeling trophic ulcers in laboratory mice in the experimental model. Bulletin of Emergency and Reconstructive Surgery. 2016;1(2):259–261. (In Russian).
- Kabakoff RI. R in Action. Data analysis and graphics with R. New York: Manning Publications Co; 2014. 480 p.
- Lakin GF. Biometrics: A textbook for biological specialties at universities. 4th ed. Moscow: Higher school; 1990. 200 p. (In Russian).
- R Core Team. R: A Language and Environment for Statistical Computing. Vienna: R Foundation for Statistical Computing; 2024. Available from: https://www.r-project.org/ [Accessed 23rd June 2025]
- Wickham H. Ggplot2: Elegant Graphics for Data Analysis. New York: Springer-Verlag; 2016. 260 p. Available from: https://ggplot2.tidyverse.org [Accessed 12th June 2025]
- Shapovalova EY, Boyko TA, Baranovskiy YG, Kolomoets TA. Morphological features of tissue regeneration in a model ischemic skin wound under the influence of polynucleotides. Crimean Journal of Experimental and Clinical Medicine. 2017;7(4):85–90. (In Russian).
- Odintsova IA. Modern aspects of the histological analysis of the wound process. Questions of morphology of the 21st century. 2015;4:51–53. (In Russian).
- Lee JH, Han JW, Byun JH, Hwan J, Lee WM, Mi W. Comparison of wound healing effects between Oncorhynchus keta-derived polydeoxyribonucleotide (PDRN) and Oncorhynchus mykiss-derived PDRN. Arch Craniofac Surg. 2018;19(1):20–34. doi: 10.7181/acfs.2018.19.1.20
- Azhikova AK, Fedorova NN, Zhuravleva GF. Morphological features of the burn wound of skin at rats against the background of correction by stimulators of the reparation of tissues. Vestnik RUDN. Seriia: Meditsina. 2019;23(3):318–327. doi: 10.22363/2313-0245-2019-23-3-318-327 (In Russian).
- Azhikova AK, Samotrueva MA. Redox intensity and psychoemotional status of rats in burn skin injury. Vestnik RUDN. Seriia: Meditsina. 2022;26(3):274–288. doi: 10.22363/2313-0245-2022-26-3-274-288 (In Russian).
Дополнительные файлы













